Primary tabs
Yvonne Kort
Eigenaar Oergezonde mond & Yvital Lifestyle, Dental Hygienist, Lifestyle specialist, Coach, Auteur
Yvonne Kort, is in 2004 afgestudeerd als mondhygiënist. Om meer waarde te geven aan haar werk als mondhygiënist en vanuit haar passie voor een gezonde leefstijl verlegde zij haar grenzen door opleidingen te volgen op het gebied van vitaliteit, leefstijl, natuurvoeding, gezondheidsleer, emotie- en stressmanagement. Al deze kennis komt samen in de jonge wetenschap van de Psycho Neuro Immunologie.
De passie voor (mond)gezondheid en een gezonde leefstijl deelt ze sinds 2014 op www.oergezondemond.nl.
Na het eerste boek ‘Eet je mond gezond’ is in juli 2018 haar tweede boek ‘Gezond begint in je mond’ verschenen. In september 2021 lanceerde ze een heuse Planner voor een vitaal leven.
Nieuw is de nascholing Leefstijl en Mondgezondheid samen met Louise Witteman, lees er alles over op: Mondenleefstijl.nl!
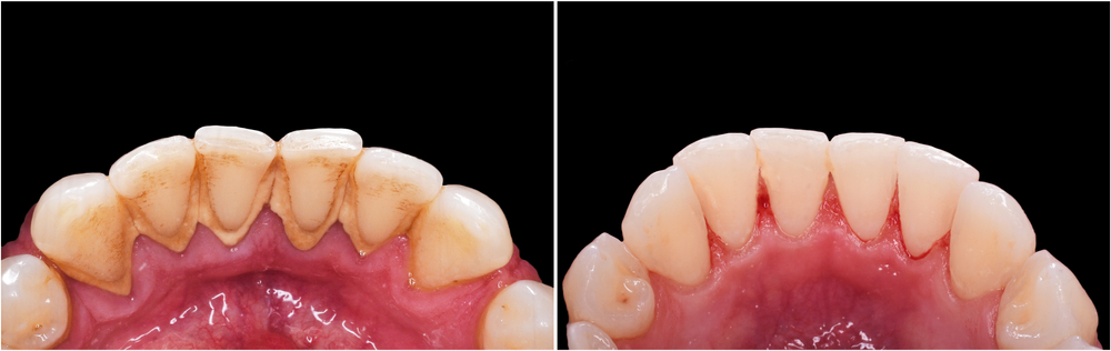
dentalcare-praktijk-voor-mondhygiene

- Website
- Tandarts.nl
- https://oergezondemond.nl/
- Profiel
- Auteur, Co-auteur, Nieuwsschrijver


