 
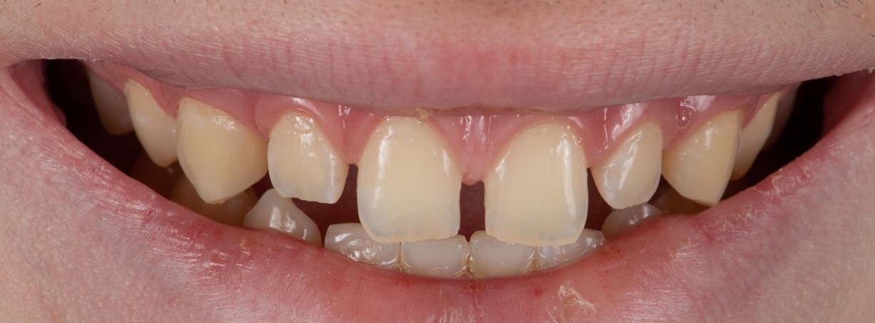
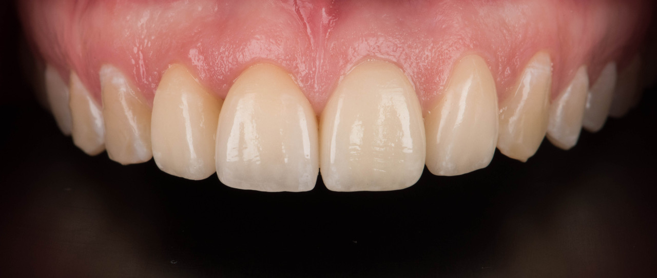
Een stralend wit gebit met rechte tanden door facings
De vraag naar deze cosmetische behandeling neemt de laatste jaren flink toe. De huidige behandelmethoden zoals met facings, maken het mogelijk om een gebit regelmatiger en mooier te maken. Zelfs scheve tanden of een tand met een (licht) afwijkende stand wordt een mooie rechte tand met een facing. Een facing in een minder invasieve (ingrijpende) behandeling dan een kroon omdat er 3x minder slijpen voor nodig is. De sterkte van een porseleinen facing wanneer deze goed geplakt is, is even sterk als een natuurlijke tand zonder vullingen.
 
       
Composiet of porselein
Een facing is een laagje kunststof (composiet) of porselein dat op het tandoppervlak wordt geplakt. Als je de tand niet mooi van kleur vindt, de vorm van de tand je niet aanspreekt, je een tand hebt die niet helemaal recht in de rij staat of een spleetje tussen je tanden heeft, zou een facing een oplossing kunnen zijn. Een facing kan direct vervaardigd worden (composiet) of indirect worden vervaardigd (porselein). De kosten zijn afhankelijk van de materiaalkeuze en aantal tanden en behandelingen. Cosmetische behandelingen, zoals facings op tanden vallen zelden onder een aanvullende tandarts verzekering omdat het geen medische noodzaak is.
Behandeling composiet facing
Een composiet facing wordt volledig vervaardigd door de tandarts, vaak gedurende één zitting. De tand moet soms een klein beetje beslepen worden, om zo meer retentie (houvast) te krijgen. Voor het bewerken van het tandoppervlak met composiet is het noodzakelijk dat de tand wordt voorbereid met een plak techniek. Dit is van belang voor een zo optimaal mogelijke hechting van het composiet op het tandoppervlak. Aangezien er maar weinig van de tand wordt afgeslepen, zal je vrij weinig van de behandeling voelen. De kosten voor de composiet facing is lager dan van de porseleinen facing.
 
       
Tandtechnicus maakt porseleinen facing
De indirecte methode werkt anders en er wordt porselein gebruikt voor de facing. Soms is het noodzakelijk dat bij de indirecte methode iets van het glazuur weggeslepen moet worden, om wat "ruimte" te creëren. Er is minimaal 0,3 millimeter ruimte nodig om daarover de porseleinen facing te plaatsen. Als er voldoende ruimte is gecreëerd, wordt er een afdruk gemaakt van de tanden. Deze afdrukken worden naar de tandtechnicus gestuurd. De tandtechnicus maakt gipsmodellen van de afdrukken, waarop hij de porseleinen facings kan vervaardigen. Daarna wordt een vervolgafspraak gepland bij je tandarts om de uiteindelijke facings te plakken. Tijdens de vervaardiging van de facings wordt er voor een tijdelijke facing gezorgd, zodat je met een verzorgd gebit over straat kunt blijven gaan.
Voordeel indirecte methode
Een voordeel van de indirecte methode is dat de kwaliteit van de porseleinen (indirecte) facing beter en duurzamer is. De indirecte methode is onder andere door het werk van de tandtechniek wat duurder dan de direct vervaardigde facing. Technieken die in de toekomst vaker gebruikt zullen worden, zijn indirect vervaardigde facings, waar geen of vrij weinig tandmateriaal voor opgeofferd hoeft te worden. De facing is extreem dun en wordt middels hechtmateriaal op de tand bevestigd. Je kunt de kosten van de verschillende methoden vergelijken en samen met je tandarts een goede keuze maken.
Levensduur 5 tot 10 jaar
De levensduur van een composiet facing is ongeveer vijf jaar en van een porseleinen facing tien tot 20 jaar. Wanneer je knarst of nagelbijt kan de facing, net als je eigen tand kapot gaan, dit kan voorkomen worden door een bitje welke je in doet tijdens het slapen. Roken en het drinken van zwarte thee, koffie en frisdranken vergroot de kans op verkleuren bij composiet facings. Facings vormen geen belemmering bij het eten. Wel dien je voorzichtiger te zijn bij het eten van bijvoorbeeld een appel of het afbijten op hard voedsel bij composiet facings. Om geen onnodige kosten te krijgen is het dus belangrijk om goed voor je tanden met facings te zorgen.
Welke facing past bij jou?
In overleg met je tandarts kan je bepalen welke behandelmethode het best bij jou past. Ten eerste speelt het financiële plaatje een rol in de keuze. De porseleinen facings zijn duurzamer en sterker, maar ook duurder. Bij de porseleinen facings hangt het resultaat erg af van welke tandtechnieker de porseleinen facing maakt. Bij composiet facings hangt het resultaat af van de tandarts die de facing maakt. Vraag daarom ook altijd naar voorbeelden die de tandtechnieker of tandarts gemaakt hebben.
Kosten facings
De kosten zijn afhankelijks van de materiaalkeuze, het aantal facings en het aantal behandelingen. De prijs wordt meestal per tand berekend maar wanneer je meerdere tanden laat behandelen kan er een totaal aanbod worden gedaan. Voor de kosten van facings voor alle tanden geldt het zelfde, vraag altijd een offerte. Neem contact op met je eigen tandarts als je de wens hebt om facings te laten plaatsen en vraag advies.
Er is begin 2023 een proef gestart met vrije tarieven voor facings en tanden bleken waar een geselecteerd aantal praktijken aan mee doen. Je kan er hier (v.a. 13-02-23) meer over lezen. Tarieven voor de reguliere tandarts vindt je hier.
Goedkope facings
Onder andere in Turkije worden behandelingen met facings aangeboden en vaak gaat men dan maar meteen voor alle tanden en voor veel lagere prijzen. Kwaliteit van de behandelingen en duurzaamheid van de facings is hier moeilijk te beoordelen. De lagere kosten kunnen aantrekkelijk klinken maar weet dat je in Nederland beschermd bent door de wet en regelgeving omtrent de bevoegdheid van behandelaars, kwaliteit van mondzorg, hygiëne en veiligheidseisen. Je kan uiteindelijk duurder uit zijn wanneer je eigen tandarts moet repareren wat is mis gegaan.
 
                 
             
             
             
             
             
             
             
             
             
             
             
            