Tandarts.nl is een platform waar mondgezondheid, mondzorg, leefstijl en algehele gezondheid samenkomen, ook persoonlijke verhalen zijn hier welkom. Deze keer een bijzondere samenwerking met patiënt Kees en zijn tandarts.
Van tijdgebrek tot een brede glimlach
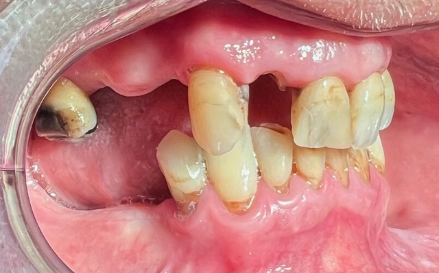
Jarenlang durfde Kees nauwelijks te lachen. Kees ging wel trouw naar de tandartscontrole, maar behandelingen plannen? Dat was onmogelijk naast zijn werk op locatie, vaak ver van huis. Zijn tanden brokkelden langzaam af, maar pijn had hij niet. Pas na zijn pensioen had hij eindelijk de tijd om er echt iets aan te laten doen.

Een eerste doorverwijzing leek uitzichtloos, met een offerte van €10.000 schrok hij zich rot. Bij tandarts Johan Oost vond hij gelukkig een oplossing die wél werkte: betaalbaar, zorgvuldig en met veel persoonlijke aandacht. Inmiddels straalt Kees weer vol zelfvertrouwen.
👉 Benieuwd hoe zijn traject verliep én hoe tandarts Johan deze complexe casus heeft aangepakt? Lees het hele verhaal.