Kees: Ik ben hartstikke tevreden en blij met het resultaat dus dat wil ik graag vertellen
Ik ging echt wel elk jaar voor controle naar de tandarts, in de avonduren. Maar ik had geen tijd voor behandelingen waar ik misschien wel 6 keer voor moest terugkomen. Ik werkte op locatie en vaak ver weg van huis, dus dat was niet in te plannen. Nu ik met pensioen ben heb ik er alle tijd voor.
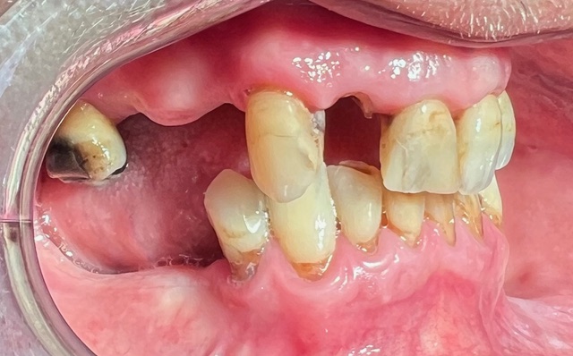
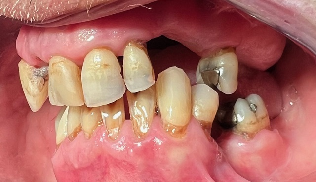
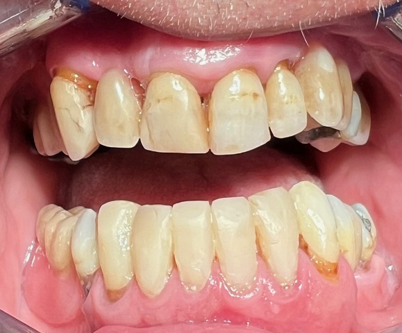
Mijn eigen tandarts zei wel steeds dat er iets moest gebeuren. Mijn tanden brokkelde af, ik durfde bijna niet meer te lachen. Maar ik had geen pijn.


Ik wilde er wat aan laten doen maar mijn tandarts wist niet waar hij moest beginnen en stuurde mij door naar een andere tandarts om te onderzoeken hoe het aangepakt kon worden. Ik kreeg in plaats van een rapportje een offerte van € 10.000! Maar dat was niet de bedoeling! Want mijn tandarts wilde alleen maar horen hoe we mijn gebit weer konden herstellen. Uiteindelijk ben ik doorgestuurd naar tandarts Johan Oost en hij heeft mijn gebit weer hersteld met een goedkopere oplossing.
Elke keer moest ik wel 90 minuten met mijn mond open liggen, dat ging wat wringen in de kaken. Maar ik voelde geen angst of zo, alles ging heel ontspannen. De tandarts was ook heel rustig en ontspannen, ik lag best lekker in de tandartsstoel.
Ik had geen last van de behandelingen en hoefde ook geen pijnstillers te gebruiken.
Hoe gaat het nu?
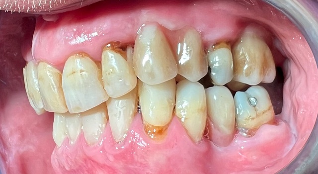
Het gaat goed en ik ben helemaal blij! Ook mijn eigen tandarts wilde het graag zien en ook de anderen in de praktijk kwamen kijken, ook daar iedereen blij.
Uiteindelijk was de rekening € 1600 naast de vergoeding uit de aanvullende tandartsverzekering. Ik ben nu helemaal klaar.


Mijn boodschap aan de lezer:
Neem de moeite om het te doen, je hoeft niet bang te zijn. De tandartsen zijn de rust zelve, geen haast en ik voelde mij helemaal op mijn gemak. Als je erna tevreden ben wil je het iedereen vertellen.

Tandarts Johan Oost legt uit
Johan Oost: Een 67 jarige patiënt is aan mij doorverwezen uit een andere Dental Clinics vestiging (Oss). Er is sprake van een gemutileerde dentitie (verminkt of ernstig beschadigd gebit) doordat meneer jarenlang niet in de mogelijkheid geweest is om een tandartspraktijk te bezoeken voor de nodige behandelingen. Nu heeft hij die tijd wel (pensioen). Aangezien de beet enorm vergroeid is, weet de tandarts in Oss niet precies waar te beginnen.
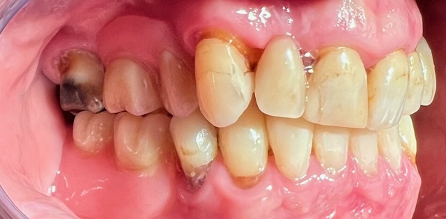
Ik heb meneer opgeroepen en samen met onze klinisch tandprotheticus gekeken wat de opties zijn om prothetisch (kunstmatige vervanging) goed uit te komen. Dit heb ik onder meer gedaan door een digitale scan te maken in verhoogde dimensie (zo kan ik goed beoordelen wat een beetverhoging, in dit geval met composiet (vulmateriaal) kan opleveren). De missende elementen zijn daarna met twee gedeeltelijke protheses vervangen.
Meneer is nu al enorm blij met de esthetiek (uiterlijk). Uiteraard geeft het kauwen nog wat problemen, zeker met een loszittende onderprothese. Het plan is om deze te gaan vervangen door een frameprothese, die veel meer stevigheid zal bieden.
Het mooie aan dit soort casussen (praktijkvoorbeelden) is dat je met diverse variabelen (verschillende situaties) rekening moet houden: de wens van de patiënt, financiën, motivatie, staat van de restdentitie (conditie van de nog bestaande tanden en kiezen), acceptatie van nieuwe situatie. In dit geval is orthodontie, uitgebreid kroon en brugwerk en implantologie bijvoorbeeld geen optie. Luisteren naar je patiënt is dus essentieel om met elkaar tot een goed resultaat te komen.
Redactie: Heb jij ook een ervaring die je zou willen delen? Je hoeft geen briljant auteur te zijn, schrijf je verhaal op en wij zullen met je meekijken en helpen je als dat nodig is. Stuur je verhaal of ervaring naar info@tandarts.nl.
Wil je reageren? Stuur je reactie naar info@tandarts.nl en wij zorgen dat je bericht bij Kees komt.