Voor dat een parodontologische behandeling gestart kan worden, moet natuurlijk eerst onderzocht worden of iemand parodontitis heeft en ook in welke mate dit het geval is. Hiervoor bestaan een aantal methoden en technieken. De belangrijkste meting is de pocketmeting.

Hierboven is schematisch een pocketmeting te zien. Deze pocketmeting wordt uitgevoerd met een pocketsonde. Met behulp van deze pocketsonde is het mogelijk de diepte van de pocket in millimeters te meten. Het meest rechter plaatje bevat de diepste pocketmeting. Hoe dieper de pocket hoe ongunstiger de situatie.
DPSI
(Sinds 2021 is DPSI vervangen door de PPS meting)
Als het goed is controleert de tandarts je parodontium in ieder geval eenmaal per jaar en noteert de DPSI-score. Deze score geeft globaal de parodontale situatie in je mond aan. Het gebit wordt verdeeld in zes gebieden, elk gebied kan een cijfer krijgen variërend van 0-4. DPSI is een afkorting voor Dutch Periodontal Screening Index.
0 Het tandvlees is gezond
1 Het tandvlees is ontstoken, je hebt gingivitis
2 Naast gingivitis heb je ook tandsteen
3- Afbraak van de steunweefsels, je hebt parodontitis (pocket >4 en <6)
3+ Parodontitis in combinatie met teruggetrokken tandvlees
4 Een verdere verslechtering van situatie 3 (pocket 6 of groter)

Rechts een voorbeeld, hoe de DPSI-score van een parodontitis patiënt er uit zou kunnen zien. Bij de kiezen heeft er parodontologische afbraak plaats gevonden. Rechtsboven bij de kiezen heeft de tandarts met behulp van de pocketsonde pockets van 6 mm of meer gemeten.
Parodontiumstatus
Wanneer uit de 'screening' blijkt dat iemand parodontitis heeft, zullen meer gegevens onderzocht en opgeschreven moeten worden. De status waarin dit allemaal genoteerd wordt, heet de parodontiumstatus. Zes pocketmetingen rondom elke tand of kies worden hierop genoteerd, samen met andere gegevens, welke in de volgende alinea's worden behandeld. Na de eerste fase van de parodontologische behandeling zal opnieuw een parodontiumstatus gemaakt worden, om veranderingen te kunnen signaleren.
Furcatie
Behalve de pocketdiepte is de aanwezigheid van een toegankelijke furcatie belangrijk voor de prognose van een kies. Een furcatie is de ruimte tussen de wortels van een kies. In een gezonde situatie is deze ruimte gevuld met bot en bedekt met tandvlees. Bij parodontitis vindt er afbraak van bot plaats en kan deze ruimte toegankelijk worden. Links is schematisch een volledig doorgankelijke furcatie te zien, waarbij het tandvlees zich heeft teruggetrokken. In deze situatie zou je vanaf de wangkant of de kant van de tong, tussen de wortels van de kies door kunnen kijken.
In werkelijkheid zijn de furcaties meestal niet zo duidelijk zichtbaar. Daarom is het moeilijk om in deze ruimtes tussen de wortels, de tandplak te verwijderen. Zelfs voor de tandarts of mondhygiënist is het moeilijk om alle tandplak en tandsteen uit de furcatie te verwijderen. Vaak is het beter om dit probleem op te lossen met behulp van chirurgie. Een moeilijk reinigbare furcatie zal een infectiehaard blijven en de prognose van een kies wordt slechter als de toegankelijkheid van de furcatie groter is. Kiezen in de onderkaak hebben twee wortels met een furcatie ingang aan de wang- en tongkant. Kiezen in de bovenkaak hebben drie wortels, waarbij de ruimte onder de wortels ook op drie plaatsen toegankelijk kan zijn. Onder zijn twee afbeeldingen te zien van een volledig toegankelijke furcatie van een kies in de onderkaak. Links op de röntgenfoto is te zien dat het bot tussen de wortels verdwenen is en rechts is hetzelfde tijdens de chirurgische behandeling met het 'blote' oog te zien.

De mate van toegankelijkheid van een furcatie wordt genoteerd op de parodontiumstatus. Om de toegankelijkheid te meten gebruikt de tandarts een furcatie-sonde. Rechts is schematisch het meten van de furcatiedoorgang van een kies in de onderkaak weergegeven.

Aangezien een kies in de onderkaak twee furcatie ingangen heeft, kunnen hier twee metingen worden gedaan; aan de wangkant en aan de tongkant. Vervolgens wordt gekeken naar de graad van toegankelijkheid:
- Graad I: wel toegankelijk, maar minder dan 3 mm of 1/3 van de breedte
- Graad II: meer dan 3 mm of 1/3 van de breedte toegankelijk
- Graad III: volledig doorgankelijk (zoals bovenstaande afbeeldingen)
Andere gegevens die genoteerd worden zijn de mate van teruggetrokken tandvlees en de mobiliteit van de tanden en kiezen. De graad van mobiliteit geeft de mate van beweeglijkheid van een tand of kies aan. Hoe meer steunweefsel er verloren is gegaan des te losser komen de tanden of kiezen te staan. Als een tand of kies zeer beweeglijk is kan dit de prognose negatief beïnvloeden en zal deze misschien gespalkt moeten worden.
Röntgenfoto
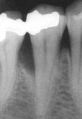
Naast deze 'klinische' gegevens is het belangrijk om ook röntgenfoto's van de tanden en kiezen te hebben. Op deze foto's is het verloop van het botniveau tussen de tanden en kiezen te beoordelen, maar kunnen ook andere problemen, welke van belang zijn voor de behandeling, opgespoord worden.

Boven zijn twee röntgenfoto's te zien, op de linker is een normaal botniveau zichtbaar, terwijl op de rechter foto, het botniveau sterk verlaagd is door parodontale afbraak.
Angulair botdefect

Het bot kan een ongunstig verloop hebben. Als het bot onder een steile schuine hoek naar de wortel toeloopt, kan het moeilijk zijn om alle plak en tandsteen diep in de pocket te verwijderen. Dit steile verloop van het bot wordt een angulair defect genoemd. Als er plak of tandsteen in het angulair defect achterblijft, zal dit een infectiehaard blijven en zal een chirurgische behandeling van het defect noodzakelijk kunnen zijn.
Behandelplan
Met behulp van al deze gegevens genoteerd op de parodontiumstatus en zichtbaar op de röntgenstatus, bepaalt de tandarts, waar de problemen zitten en welke tanden en kiezen wel/ misschien/ of niet meer te redden zijn. De tanden of kiezen die niet te redden zijn, zullen voor de behandeling getrokken moeten worden. De tandarts bespreekt tenslotte met jou het voorstel voor de uitvoering en de volgorde van de behandeling en legt dat vast in een behandelplan.
Bij zeer ernstige of terugkerende parodontitis kan de tandarts ook een bacteriologisch onderzoek van de tandplak laten uitvoeren. Hiervoor wordt tandplak uit een aantal diepe ontstoken pockets gehaald. Een microbiologisch laboratorium kan door middel van kweken bepalen welke soorten bacteriën in de pockets voorkomen. Aan de hand van de uitslag van dit onderzoek kan de tandarts beoordelen of antibiotica, als ondersteunende behandeling, zinvol zijn.
Auteur: JW Vaartjes, tandarts en implantoloog
V2-3/2021