Wat is een implantaat?
Een implantaat is een schroefje van titanium en is te vergelijken met een 'kunstwortel', welke op de plaats gezet kan worden van de wortel van de tand of kies die in uw gebit verloren is gegaan. Van veel implantaten is het titanium oppervlak ruwer gemaakt, wat de botgroei rondom het implantaat versnelt en waardoor deze na de inheling ook vaster in het bot zal zitten. Tegenwoordig helen de implantaten in +/- 98% van de gevallen succesvol in, bij o.a. botherstel operaties, rokers en diabeten liggen deze percentages mogelijk wat lager. Uit onderzoek blijkt nu dat de tienjaarsoverleving van implantaten tussen de 90 en 95% ligt.

Implantaten zijn in verschillende doorsneden en lengten verkrijgbaar. De lengte en doorsnede van het implantaat zal gekozen worden aan de hand van de hoeveelheid beschikbaar bot, maar tevens zal de implantoloog de diameter laten afhangen van het te vervangen gebitselement. Een ondersnijtand zal met een smal implantaat vervangen moeten worden en een kies zal idealiter met een breder implantaat vervangen worden. Mocht de breedte van de kaakwal niet voldoende zijn dan bestaan er nog mogelijkheden om deze te verbreden. Over het algemeen hebben de implantaten een doorsnede tussen de 3 en 6 mm en de lengten variëren ongeveer tussen de 6 en 16 mm.
Waar kunnen implantaten voor gebruikt worden?
Implantaten kunnen in zeer veel situaties bij gebitsproblemen worden toegepast, variërend van steunpunt voor een beugel tot een drukknop onder een kunstgebit. Hieronder een aantal veel voorkomende situaties:
Enkeltandsvervanging


Wanneer één tand of kies ontbreekt, kan op deze plek een implantaat in het bot worden geplaatst waarna op het implantaat een kroon kan worden geschroefd of vastgelijmd. Hierdoor wordt het ontbrekende gebitselement vervangen zonder dat aan de aangrenzende tanden of kiezen geboord hoeft te worden.
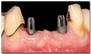
Een brug op implantaten


In dit geval ontbreken meerdere gebitselementen. Om een niet uitneembare en dus vaste vervanging te maken zijn in dit geval twee implantaten geplaatst, waarover heen een vier-delige brug is vastgelijmd. Het is niet altijd nodig om voor elk ontbrekend gebitselement een implantaat te plaatsen; bijvoorbeeld een drie-delige brug kan soms bijvoorbeeld ook op twee of op drie implantaten geplaatst worden, de behandelend tandarts-implantoloog kan dit in uw individuele situatie beoordelen.
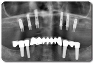
Verankering voor een klikgebit (overkappingsprothese)




Een kunstgebit dat vastklikt op implantaten wordt een klikgebit of overkappingsprothese genoemd. In de (onder)kaak worden over het algemeen twee of vier implantaten geplaatst. Op deze implantaten kunnen drukknopjes, zie afbeeldingen links of een steg (staaf-huls) constructie geplaatst worden, zie afbeeldingen boven. Een klikgebit zit stevig vast maar kan ook worden uitgenomen voor reiniging. Doordat een klikgebit veel minder beweegt komt er nauwelijks voedsel onder de protheserand en bovendien blijkt ook uit onderzoek dat prothesedragers beter kunnen kauwen.

In de overkappingsprothese is ruimte gemaakt en er bevinden zich hulzen die om de staaf heen klikken. Hierdoor kan de prothese afsteunen op de implantaten en zal deze veel beter op zijn plaats blijven zitten.
Wanneer kunnen implantaten geplaatst worden?
Wanneer bij iemand het kaakbot uitgegroeid is (ongeveer vanaf 18-25 jaar, afhankelijk van geslacht en locatie) kunnen in principe implantaten geplaatst worden. Er zijn echter meer voorwaarden waaraan voldaan moet worden:
Is er voldoende (gezond) kaakbot?
Wanneer een tand of kies wordt getrokken, zal het kaakbot gaan slinken. De kaak wordt smaller, maar ook lager. Implantaten moeten mede afhankelijk van de botkwaliteit en de hoeveelheid krachten die ze te verduren gaan krijgen, een minimale lengte hebben. De bothoogte is afhankelijk van de grootte van de kaak maar andere zaken zoals o.a. zenuwen of kaakbijholtes kunnen de hoogte ook beperken. In het geval van te weinig hoogte t.p.v. een kaakbijholte kan er nog een procedure worden uitgevoerd waarbij de kaakbijholte wordt opgevuld met bot (sinus-lift).
Het schroefdeel van het implantaat moet volledig in het kaakbot geplaatst worden en in geslonken kaken kan dat niet altijd. De kaak is dan meestal aan de wangzijde te smal geworden waardoor het implantaat daar niet volledig bedekt is met bot. De implantoloog kan dan (ook tegelijkertijd) een botherstel operatie uitvoeren om dit op te lossen (Guided Bone Regeneration).
Botherstel procedure - Guided Bone Regeneration

In de bovenste afbeelding is te zien dat een deel van de schroef van het implantaat aan de linkerkant niet bedekt is met bot. Na het plaatsen van het implantaat zal de implantoloog het gebied waar te weinig bot is opvullen en bedekken met een soort van 'velletje', wat een membraan wordt genoemd. Het membraan schermt het nieuw te vormen bot af voor voor de sneller delende bindweefselcellen van het tandvlees. Het materiaal onder het membraan kan o.a. lichaamseigen bot zijn, maar ook donorbot, kunstbot of runderbot. Naar gelang de situatie en de hoeveelheid benodigd bot, zal er één van of een combinatie van de eerder genoemde materialen gebruikt worden. Deze techniek wordt Guided Bone Regeneration genoemd (GBR).

In de bovenstaande afbeelding is na het plaatsen van het implantaat een gedeelte niet bedekt door bot. Het botdefect wordt opgevuld met (kunst)bot en bedekt met een membraan. Hoewel niet afgebeeld, zal het tandvlees hier weer overheen gehecht worden en zal het lichaam over het algemeen drie tot zes maanden nodig hebben om voldoende nieuw bot te vormen.
Is het tandvlees rondom de overige tanden en kiezen gezond?
Ontsteking van het tandvlees, parodontitis genaamd, zal eerst behandeld moeten worden voordat implantaten geplaatst kunnen worden. De bacteriën die deze tandvleesontsteking veroorzaken kunnen namelijk ook de weefsels rondom de implantaten infecteren en daardoor ontsteking en botverlies veroorzaken.
Is de lichamelijke gesteldheid voldoende?
Ziekten of medicijnen die een negatieve invloed hebben op de afweer kunnen een reden zijn om niet te implanteren. Roken of andere verslavingen kunnen een reden zijn om niet te implanteren. Mensen die een hart- of herseninfarct hebben gehad, slikken vaak bloedverdunners; tijdens het zetten van de implantaten zal dit tijdelijk gestopt moeten worden, in overleg met de arts of trombosedienst is dit over het algemeen geen probleem. Om het tandvlees rondom de implantaten gezond te houden moeten ze goed gepoetst worden, indien de verwachting is, dat dit door de lichamelijke of geestelijke gesteldheid niet goed mogelijk is, zal ook van de ingreep afgezien kunnen worden. Er zijn ook factoren die de kans op succes wat kleiner maken zoals o.a. roken en suikerziekte. In overleg met de patiënt kan de ingreep wel uitgevoerd worden, maar is men zich wel bewust van het lagere slagingspercentage.
Hoe wordt de behandeling uitgevoerd?
De behandeling bestaat uit een aantal fases. Allereerst zal worden begonnen met het onderzoek en bespreken van het mogelijke behandelplan, in de volgende fase kunnen de implantaten operatief worden ingebracht. Indien noodzakelijk zal na het vastgroeien een tweede ingreep volgen om het implantaat ‘boven het tandvlees’ te halen (tweede fase ingreep). In de laatste fase wordt de constructie, bijvoorbeeld een kroon of brug op de implantaten, gemaakt.
Onderzoek
|
|
![]() 3D Planning op CT-scan |
Röntgenopnames spelen een belangrijke rol bij de planning van de ingreep. Op een panorama röntgenfoto (OPG) kan de implantoloog goed de afstand tot anatomische structuren zoals een belangrijke zenuw in de onderkaak of de kaakbijholte in de bovenkaak, inschatten. In moeilijkere gevallen kunnen er meer opnames worden gemaakt zoals een CT-scan, waarbij het zelfs mogelijk is met behulp van de computer de positie van de implantaten driedimensionaal te plannen.
De breedte van de kaakwal is op de normale (twee-dimensionale) röntgenfoto's niet goed in te schatten, hiervoor zullen soms de eerder genoemde driedimensionale opnames gemaakt moeten worden (tomogram/CT-scan). Gelukkig kan de implantoloog door de kaakwal in de mond te onderzoeken vaak ook voldoende informatie verkrijgen. In sommige gevallen kan met een naaldje tot aan de benige kaakwal geprikt worden om de breedte van het bot onder het tandvlees te beoordelen, dit wordt ridge-mapping genoemd.
Door de mond te onderzoeken kan o.a. dus een inschatting worden gemaakt van de breedte van de kaakwal, maar ook van bijvoorbeeld de manier waarop de tanden en kiezen op elkaar bijten. Soms worden er afdrukken genomen zodat de tandtechnieker een proefopstelling kan maken en/of een boormal. De lichamelijke gezondheid wordt met de patiënt doorgenomen en een behandelvoorstel met de eventueel mogelijke complicaties besproken en/of later schriftelijk toegestuurd.
Inbrengen van de implantaten
Het gebied waar de implantaten geplaatst zullen worden, wordt plaatselijk verdoofd met de ‘normale’ tandartsverdoving. In uitzonderingsgevallen waar de implantaten tegelijkertijd met bijvoorbeeld heupbot worden aangebracht zal de operatie onder narcose bij de kaakchirurg gedaan worden.

Het tandvlees wordt op de plek waar het implantaat komt, losgemaakt en opgeklapt, waardoor het kaakbot zichtbaar wordt. Vervolgens wordt een gaatje in het kaakbot geboord. De eerste boor, die gebruikt wordt is smal, de volgende boor is echter iets breder, dit wordt herhaald totdat het boorgat breed genoeg is om het implantaat erin te draaien. De boren worden gekoeld met steriel infuusvloeistof wat een beetje zout smaakt.
Het tandvlees wordt met behulp van hechtingen weer gesloten, mochten meer implantaten worden aangebracht dan zullen deze bijna altijd tijdens dezelfde behandeling worden ingebracht. Een implantaat kan na de operatie door het tandvlees heen steken, wat een 1-fase inheling wordt genoemd of volledig door het tandvlees bedekt zijn, wat een 2-fase inheling wordt genoemd.
Bij een 1-fase inheling hoeft het tandvlees niet nogmaals opengemaakt te worden en kan na inhelingsfase direct een afdruk genomen worden van het implantaat.
Bij een 2-fase inheling wordt na het maken van een klein sneetje het implantaat opgezocht en daarop een ‘dopje’ (healing abutment) geschroefd dat boven het tandvlees uitsteekt. Deze tweede operatie is vaak een kleine ingreep, welke weinig nabezwaren geeft.
De keuze van een 1-fase of 2 fase inheling is mede afhankelijk van het gebruikte implantaatsysteem, maar andere omstandigheden, zoals o.a. een botherstel operatie, slechte botkwaliteit of een implantaat in een cosmetisch gebied, kunnen redenen zijn om voor een 2-fase inheling te kiezen. Welke aanpak voor uw specifieke situatie de beste is, zal uw implantoloog met u overleggen.
De nabezwaren van de implantaatoperatie kunnen van persoon tot persoon wisselend zijn. Het plaatsen van een implantaat in een gebied met voldoende bot en tandvlees zal over het algemeen niet veel klachten veroorzaken, uitgebreidere ingrepen zouden enkele dagen klachten kunnen geven. Bot zelf bevat weinig zenuwen, de mogelijke pijn is dus voornamelijk afkomstig van het omgevende tandvlees/ weke delen. De voorgeschreven pijnstillers zullen helpen de pijn te bestrijden, in veel gevallen is tevens een mondspoelmiddel en een antibioticum verstrekt. Mochten de implantaten onder een kunstgebit zijn geplaatst dan kan het tandvlees 1 tot 2 weken gevoelig zijn. Het is dan ook aan te raden om in die periode zacht voedsel te eten en het kunstgebit alleen te dragen als het noodzakelijk is.
De inhelingsfase
Het bot heeft een bepaalde tijd nodig om tegen het oppervlak van het implantaat aan te groeien, waardoor deze voldoende vast zal gaan zitten zodat er een bijvoorbeeld een kroon of een drukknopje voor een kunstgebit opgezet kan worden. De meest gebruikte inhelingstijd bedraagt drie maanden. In de bovenkaak met name bij een slechte botkwaliteit en in het geval van een botherstelprocedure is de inhelingsfase langer. Tegenwoordig o.a. door verbetering van de implantaatoppervlakken propageren enkele systemen inhelingstijden (in ideale omstandigheden!!!) van zes tot acht weken. Zelfs het direct belasten van het implantaat is tegenwoordig mogelijk. Dit wordt soms gedaan bij voortanden wanneer behoud van de vorm van het tandvlees erg belangrijk is, maar een gefaseerde aanpak in deze gevallen is ook een goed alternatief. Meerdere implantaten in het geval van een tandeloze onderkaak blijken succesvol direct belast te kunnen worden.
De restauratiefase
Nadat het implantaat tijdens de inhelingsfase stevig in het bot is vastgegroeid, kan er een afdruk van genomen worden.
Op het implantaat worden afdrukstiften gezet die meekomen in de afdruk. Uiteindelijk maakt de tandtechnieker hier een gipsen model van waar nauwkeurig de positie van de implantaten in is overgebracht. Op het gipsmodel wordt de kroon, brug of kunstgebit gemaakt, waarna het werk in de mond kan worden geplaatst.
Klik hier voor uitgebreide informatie over het maken van een implantaatkroon!

Voor een kroon of een brug wordt er vaak een opbouw op het implantaat vastgedraaid, deze opbouw wordt een abutment genoemd. De uiteindelijke kroon zal als een soort van dopje over het abutment heen worden vastgelijmd. Het is ook mogelijk dat uw tandarts de kroon als geheel vastschroefd aan het implantaat.
Een kroon of brug kan over het algemeen binnen twee tot drie weken na de eerste afdruk geplaatst worden; de vervaardiging van een kunstgebit (overkappingsprothese) duurt langer, ongeveer vier tot zeven weken. Tijdens de nazorg-fase zal het implantaat over het algemeen in het begin jaarlijks worden gecontroleerd door de implantoloog. Uiteraard is het belangrijk voor de gezondheid van het implantaat dat deze altijd goed gepoetst en schoongemaakt wordt.
Animatiefilm over het plaatsen van een implantaat
In de onderstaande animatie met Nederlandse stem, wordt uitgebreid ingegaan op het plaatsen van een implantaat.
Kosten
De kosten van een constructie op implantaten kunnen sterk uiteen lopen. Dit is ondermeer afhankelijk van de tandtechniekkosten, het gebruikte implantaatsysteem en methode. Ook de uitgebreidheid van de behandeling heeft daar invloed op, een grote brug met extra botherstel operatie zal duurder zijn dan een enkele kroon op een implantaat zonder botherstel operatie.
Grofweg zou je kunnen zeggen dat een kroon op een implantaat, zonder extra ingrepen, ongeveer tussen de 1500 en 2200 euro kost. Mochten meerdere tanden en/of kiezen met een implantaatbrug vervangen moeten worden dan zullen de kosten hoger liggen. Een consult bij een implantoloog kan u meer duidelijkheid verschaffen.
Een overkappingprothese op twee implantaten zal grofweg rond de drie- en vierduizend euro kosten, maar kan met name in de onderkaak grotendeels vergoed worden door uw verzekeringsmaatschappij. De tandarts-implantoloog zou een voorstel hiervoor kunnen indienen bij uw verzekering. Uw eigen tandarts of tandprotheticus kan u door verwijzen naar een implantoloog.
Rokers: Advies is tijdig te stoppen met roken wanneer je een implantaat overweegt. Vraag hulp!


