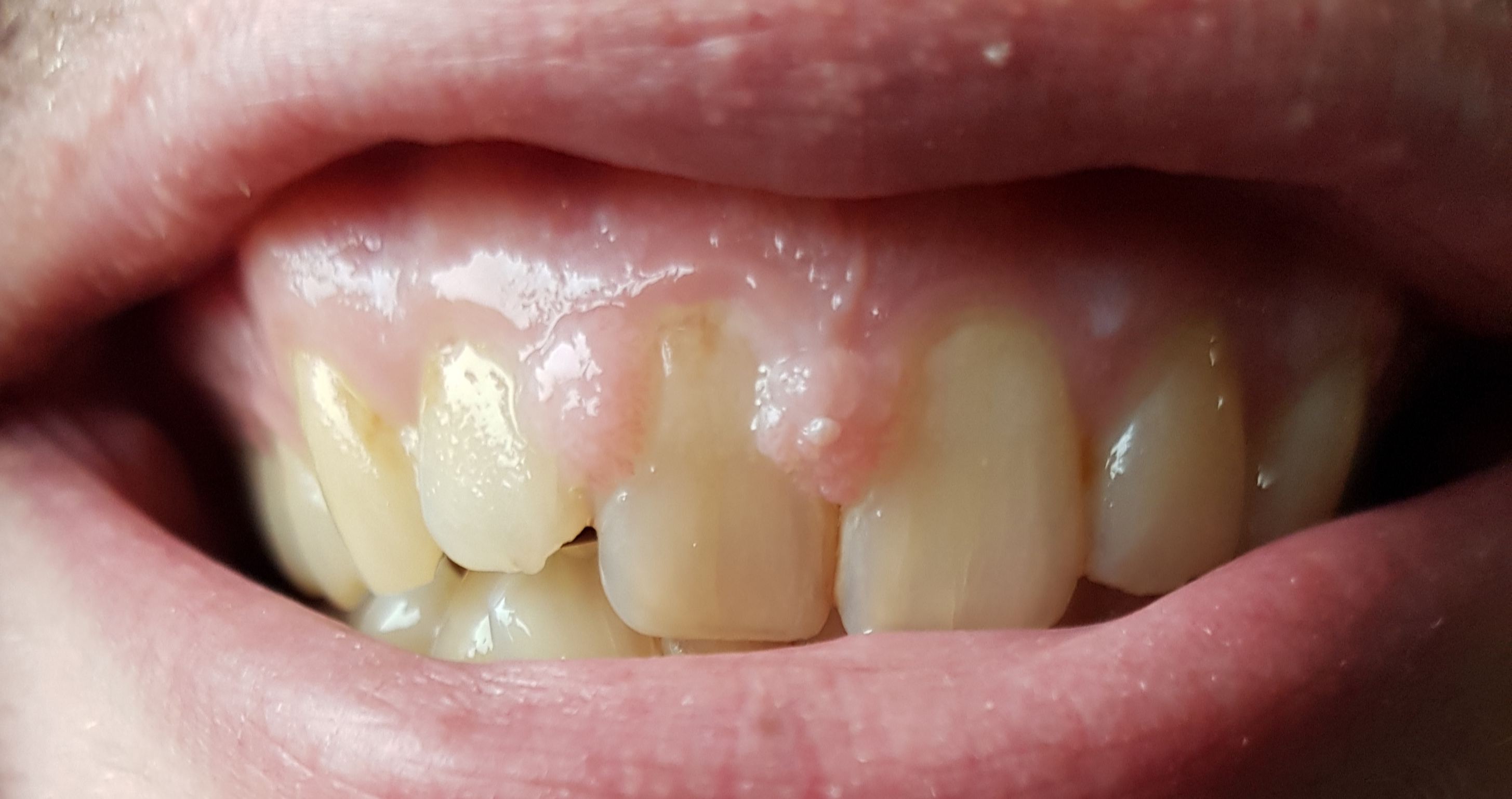
Hallo, sinds een paar weken heb ik tandvlees bij mijn boven gebit wat naar beneden zakt. Het is begonnen met 1 en het zijn er nu 2. Het is een soort los flapje wat aan een draadje zit. Het is niet ontstoken. Mijn mondhygiënist wist niet wat het was en heeft me geadviseerd naar de tandarts te gaan. Ik heb geen pijnklachten en kan daardoor pas over 2 weken terecht. Ik ben nu wel erg nieuwsgierig naar wat het kan zijn. Heeft iemand enig idee? Heb een fotootje in de bijlage toegevoegd. Alvast bedankt!
      
  
                
    
  
wild vlees
Mijn tandarts noemde het wild vlees, en haalde het weg.
kan het zijn dat je
Het si wel verstandig het weg te laten halen (vrij beperkte ingreep) want het is lastiger schoonhouden zo.
Als antwoord op kan het zijn dat je door vV
kan het zijn dat je
Als antwoord op kan het zijn dat je door Lieneke
kan het zijn dat je
Lyrica: gum hyperplasia op
https://www.pfizer.ca/sites/default/files/201908/Lyrica_PM_E_226385_02J…
Lyrica: gum hyperplasia op
https://www.pfizer.ca/sites/default/files/201908/Lyrica_PM_E_226385_02J…
Als antwoord op Lyrica: gum hyperplasia op door Chris888
Lyrica: gum hyperplasia op