September dit jaar mijn kies rechts boven getrokken, diverse wkb gehad maar zonder succes. Dacht eindelijk van al die ellende af te zijn (zou gaan emigreren maar door de kies moest ik mijn reis naar januari volgend jaar verplaatsen) maar vandaag opeens last.
De kies doet zelf geen pijn (alleen bij koud eten) maar het is het tandvlees boven de kies, zeg maar bij het kaakbot. Vanochtend begon het en sinds net een uurtje zie ik dat er nu ook weer 3 witte bultjes zitten. Dit is op de plek rechtsboven bij mijn laatste kies.
Was vandaag bij de tandarts geweest, foto's gemaakt en tandarts kwam tot een conclusie dat het komt door een klein gaatje. Zelf ben ik hiertegen gegaan want de pijn zit niet in de kies maar echt bij het tandvlees. Het is voor mij een dejavu want de kies die is getrokken daar begon deze ellende ook mee.
Wat moet ik nu? moet zo langzamerhand naar de psycholoog want trek dit echt niet meer. Zelf zat ik te denken aan directe extractie van de kies.
De kies doet zelf geen pijn (alleen bij koud eten) maar het is het tandvlees boven de kies, zeg maar bij het kaakbot. Vanochtend begon het en sinds net een uurtje zie ik dat er nu ook weer 3 witte bultjes zitten. Dit is op de plek rechtsboven bij mijn laatste kies.
Was vandaag bij de tandarts geweest, foto's gemaakt en tandarts kwam tot een conclusie dat het komt door een klein gaatje. Zelf ben ik hiertegen gegaan want de pijn zit niet in de kies maar echt bij het tandvlees. Het is voor mij een dejavu want de kies die is getrokken daar begon deze ellende ook mee.
Wat moet ik nu? moet zo langzamerhand naar de psycholoog want trek dit echt niet meer. Zelf zat ik te denken aan directe extractie van de kies.
Ten eerste: ik ben geen
Pijn is een lastig iets. Zeker kies/tandpijn. Het is niet zo dat een pijn gevoeld op plek A ook altijd betekent dat het probleem op plek A zit. Uit eigen ervaring weet ik dat je voor je gevoel een probleem kunt hebben met een kies aan de - voor u - rechterkant, en het échte probleem links zit. Waarschijnlijk heeft uw tandarts ook een testje gedaan waarbij ze met iets kouds de kiezen aantikken om te vinden welke écht het probleem veroorzaakt. Of foto's gemaakt.
De pijn wordt waarschijnlijk niet veroorzaakt door het gaatje zelf, maar door een ontsteking, welke mogelijk is ontstaan als gevolg van het gaatje. De witte bultjes duiden hier ook op.
Het is niet nodig een kies te trekken zuiver voor een gaatje met een ontsteking. Ik (hoewel zeer eigenwijs en niet iemand die een arts direct op z'n blauwe ogen gelooft) zou in deze het advies van de tandarts volgen.
Als antwoord op Ten eerste: ik ben geen door Woeptiedoe
Ten eerste: ik ben geen
Dank voor uw reactie.
De tandarts heeft inderdaad met een koud watje de kies aangetikt, reageerde daar sterk op en het gevoel was na 4 seconden weer weg. Aan de kies zelf heb ik geen enorme pijn, het is het tandvlees boven de kies, als ik dat nu aanraak is het super gevoelig lijkt nu wel alsof het nu iets dikker is. Tandarts wilt dus donderdag het gaatje vullen, maar dan gaat de ontsteking toch niet weg ? die zit nu al boven de kies.
Heb deze klachten al 1.5 jaar geleden ook meegemaakt aan de kies ernaast, heb in die 1.5 jaar diverse behandelingen gehad wat nu uiteindelijk een gat is geworden omdat de ontsteking bleef terugkomen.
Als antwoord op Ten eerste: ik ben geen door jorantje
Ten eerste: ik ben geen
Nogmaals, ik ben geen tandarts. Wel weet ik uit eigen ervaring dat het bij een goede ontsteking vaak zo is dat men eerst zal willen proberen de ontsteking weg te nemen of af te remmen, alvorens men tot behandelen van de kies zelf overgaat. Dit is een inschatting van de tandarts, en die is, omdat hij/zij degene is die u daadwerkelijk ziet, de enige die die beoordeling goed kan maken.
Als antwoord op Ten eerste: ik ben geen door Woeptiedoe
Ten eerste: ik ben geen
Als antwoord op Ten eerste: ik ben geen door vV
Ten eerste: ik ben geen
Vanmiddag toch nog naar de tandarts geweest want de plek werd pijnlijker. Er zitten meerdere witte bultjes boven de behandelde kies, deze zijn voorzichtig met een draadje opengemaakt. Er kwam behoorlijk veel pus uit maar opmerkelijker was het cement dat eruit kwam. Gebeurd niet vaak vertelde de tandarts maar kan komen door de wortelkanaalbehandeling die er ooit was uitgevoerd. Tijdens de extractie was het de kaakchirurg kennelijk niet opgevallen.
Ondanks dat er pus en cement is weggezogen is de plek nog vrij gevoelig, moet om de 3 uur met een monoject en zout water het plekje ontsmetten en morgen ook naar de endodontoloog die verdere behandeling op gaat zetten.
Als antwoord op Ten eerste: ik ben geen door jorantje
Ten eerste: ik ben geen
Als antwoord op Ten eerste: ik ben geen door Woeptiedoe
Ten eerste: ik ben geen
Vandaag lag ik er weer, helaas was de endodontoloog niet aanwezig dus kreeg ik een andere tandarts. Zat een ontsteking in het tandvlees bij het kaakbot, met paar verdovingen is deze ontsteking verwijderd, heb antibiotica meegekregen. Hij wist niet waar het door kwam, kies waar de ontsteking boven zit reageert goed. Nu begint de verdoving inmiddels uit te werken en heb ik gigantische pijn. Nu is mijn voorstel om ook deze kies te verwijderen, heb geen zin meer in dit soort pijn en geloof ook niet meer in de zoveelste antibiotica die ik nu weer heb gekregen. Het verlicht wel maar komt telkens weer terug.
Als antwoord op Ten eerste: ik ben geen door jorantje
Ten eerste: ik ben geen
Als antwoord op Ten eerste: ik ben geen door jorantje
Ten eerste: ik ben geen
Als u gigantische pijn heeft, post dan niet hier, maar bel direct de tandarts. Napijn na een behandeling kan, maar 'gigantische pijn' is NIET de bedoeling.
De vraag is, of met trekken de pijn weg is. En of je dan niet iets trekt wat nog jaren prima kan zitten, voor een heel ander probleem.
Zoals vV terecht zegt, hebben wij niet de informatie (en in mijn geval ook niet de kennis) om goed te antwoorden. Wat ik wél weet, is dat pijn bij ontstekingen in de mond, vaak komt door een drukopbouw, door gas of door pus. Mogelijk dat een drain in uw geval zou werken, dat is een buisje het ontstoken gebied in, zodanig dat het ontstekingsvocht kan weglopen en geen drukopbouw plaatsvind.
Als antwoord op Ten eerste: ik ben geen door Woeptiedoe
Ten eerste: ik ben geen
Antibiotica zal de komende dagen wel aanslaan, maar heb dit al 5x over ongeveer 1.5 jaar gehad en steeds komt het terug.
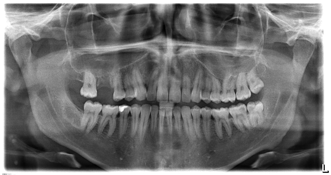
Foto heb ik nu toegevoegd, hopelijk heeft iemand wel ideeën?
Als antwoord op Ten eerste: ik ben geen door jorantje
Ten eerste: ik ben geen
Als antwoord op Ten eerste: ik ben geen door vV
Ten eerste: ik ben geen
We zijn dus nu weer wat verder en de pijn is weggetrokken (net zoals alle andere keren) Echter is de gevoeligheid van de plek nog steeds aanwezig, ook zitten er miniscule bultjes bij de getrokken kies. Als ik erop druk voelt het weer zoals paar weken geleden. Mijn vertrouwen is ontzettend erg beschadigd, hoe kan de kaakchirurg zeggen dat er niks te zien is ? U ziet een achtergebleven wortel ?
Via via heb ik te horen gekregen dat er een goede tandarts in Amstelveen zit, die kijkt naar de oorzaak dus daar ga ik maar eens een afspraak van maken. Als ik dit weer een maand ga afwachten komen de klachten toch weer terug, en krijg ik weer een dosis antibiotica mee, sommige tandartsen/kaakchirurgen tegenwoordig pfff.
Als antwoord op Ten eerste: ik ben geen door jorantje
Ten eerste: ik ben geen
Zit er op dit plek dan nog een wortelrest ? en waarom in hemelsnaam ziet de kaakchirurg en tandarts niets ? prutsers ?