Wortelkanaalbehandeling of tand trekken

Author:
CUPI-DS
Posted:
zo, 01/25/2026 - 11:21
Wie kan mij helpen. Na lang uitstellen heb ik toch maar een afspraak gemaakt bij de kaakchirurg ingepland om mijn verstandskies eruit te halen die dwars ligt. (23 februari) De kiest daarnaast blijft staan en in de andere kies die daar naast staat zou een ontsteking zitten in de wortelpunt. Ik schrok heel erg van de kosten dus twijfel nu wat te doen. Of een wortelkanaalbehandeling of door de vele vullingen die al in deze tand zitten deze ook maar te trekken. Ik ben erg onzeker over mijn gebit door alle vullingen die ik heb in met name de kiezen. Aan de andere kant van mijn gebit is namelijk ook al een kies getrokken omdat deze gewoon heel zwak was en constant afbrak.
Tandarts_Richa…

Ik moet het helaas vaak zeggen: wat wilt u met uw gebit???
Behouden of op termijn naar een kunstgebit.
Behouden kan ook gedeeltelijk met een gedeeltelijk vervanging bijvoorbeeld een frame prothese. Een gedeeltelijk plaat prothese gebruik ik meestal als tijdelijk noodvoorziening.
In mijn vak het duurste is het lekkerste. En Rome is niet in een keer gebouwd dus vaak kunnen de kosten over een paar jaar uitgespreid worden. Bespreek een duidelijk plan/stappenplan met uw tandarts. Vaak kan ook gebruik gemaakt v fiscale aftrekposten.
Indien financieel mogelijk zou ik nooit naar een uitneembaar voorzieningen gaan.
In dit geval de verstand kies verwijderen. een wortelkanaalbehandeling in de eerste grote kies...en later een kroon omdat door de wkb de kies broos kan worden. Groot gevulde kiezen bekronen.. of anders laten gaan en vervangen door een uitneembare voorziening. Maar niet verwijderen zonder te vervangen.
zo, 01/25/2026 - 13:44 Permalink
CUPI-DS

Ik vind het nog te vroeg om te beoordelen of ik met een kunst gebit verder ga.
Ik hoop dat ik nog wel even met mijn tanden kan doen. Wat vind je op dit moment van de foto?

Je zou dus wel een wortelkanaalbehandeling doen ipv trekken (de eerste kies)
Zie je een grote ontsteking? Of kan dit nog behandeld worden met een antibiotica kuur.
Nu heb ik namelijk geen pijn, dus vind t gek dat ik er weinig van voel.
zo, 01/25/2026 - 19:48 Permalink
Tandarts_Richa…

Verstand kies verwijderen, wkb 46 ( eerste grote kies flinke ontsteking niet met AB kuur goed te krijgen) later kroon ( als u kiest voor behoud met vaste voorzieningen).....
Het lichaam waarschuwt helaas niet voor ontstekingen. Maar niet mee blijven lopen.
Maar een wkb heeft geen zin als u toch naar een uitneembare voorziening gaat !!!!daarom eerst een duidelijk plan voor de toekomst. Anders gaat u behandelingen/kosten uitvoeren die later misschien.niet in het geheel v gekozen plan zou kunnen passen.
U kunt niet vroeg genoeg beoordelen wat u met uw gebit wil. Of trekken en naar uitneembaar of misschien behoud voor vast.. en nog vele combinatie mogelijkheden afhankelijk v d staat v h restgebit.
zo, 01/25/2026 - 21:18 Permalink
CUPI-DS

Ik kan echt geen kroon/implantaat betalen.
Dus dat zit we voorlopig echt niet in. En zie ik dus nu ook niet als geen oplossing.
Ben blij dat ik de maand door kom in mijn eentje en deze vreselijke dure wortelkanaalbehandeling misschien net kan betalen.
Mijn eigen tandarts doet ook alsof het allemaal niks kost voor iemand. Vind mijn tanden heel belangrijk dus zal t wel er voor over hebben. Maar snap nooit hoe een mens deze kosten allemaal kan opbrengen.
Je bent meteen over je budget heen en eventuele controles of pijn die erna komt valt allemaal er al buiten.
en wil dus die ontsteking weg hebben.
dus dan is het of een wortelkanaalbehandeling in een slechte kies, of gewoon de tand eruit halen wat goedkoper is en je bent van al het gezeur af.
Een wortelkanaalbehandeling voor
Misschien 5 jaar heeft ook weinig zin.
di, 01/27/2026 - 22:30 Permalink
Tandarts_Richa…

Een wkb behandelde kies kan heeeel lang meegaan mits goed uitgevoerd (knobbel overkappend vulling of kroon) en geen complicaties.
Wat u zich niet kunt veroorloven moet u niet kiezen. Kies beter voor een goedkopere wel financieel haalbare oplossing voor de toekomst. Bespreek dat met uw tandarts.
Wie de kosten niet zelf kan dragen adviseer ik, indien men een zwakker gebit heeft, een uitgebreidere verzekering te nemen. Kost wat meer maar de eigen risico is dan minder. Zie het als een gespreide betaling.
Mijn advies: als vast niet haalbaar dan een frame prothese. Verwijder de zwakke schakels en behoud de strategisch noodzakelijke elementen voor de houvast v d frame prothese. Dat wordt een kosten post waar u voor , indien mogelijk, kunt sparen en zodra gespaard uit kan laten voeren.
Anders blijft u aanmodderen en tegen kosten aanlopen. en uiteindelijk, na verloop v jaren, met een kunstgebit verder moet.
di, 01/27/2026 - 23:02 Permalink
CUPI-DS

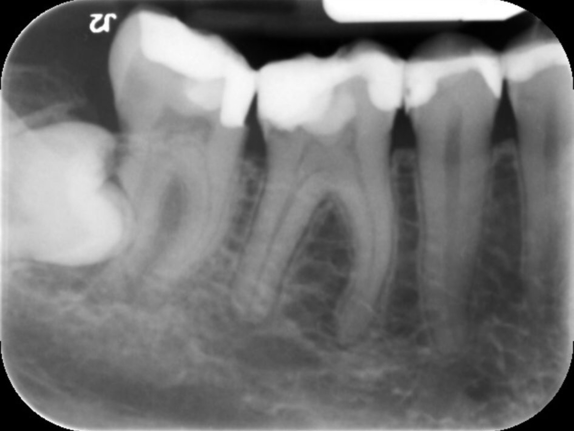
Ik ben vanmorgen naar de kaakchirurg geweest. We moesten een nieuwe afspraak inplannen ivm de kies die in het kaakbot ligt. Graag uw mening over kies 46 aan dezelfde kant.

Kaakchirurg vind het lastig beoordelen en de tandarts ook. Ik heb geen pijn maar de kies is wel zwak en er zit een ontsteking (weet niet in welke staat de ontsteking is) kaakchirurg denkt dat trekken beter is uiteindelijk. Tandarts zegt wortelkanaalbehandeling proberen. Ik ben erg verdrietig over de situatie
Ik kan geen kroon/brug/inplantaat veroorloven.
Ik wil de keuze maken tussen een wortelkanaalbehandeling of de tand trekken.
Hoe ver zullen mijn kiezen gaan verschuiven?
Attach
ma, 02/23/2026 - 18:34 Permalink
Tandarts_Richa…

U ziet wat er gebeurt als een kies getrokken wordt en niet wordt vervangen ( zie hoe links onder, 37, uitgegroeid is).
Er zijn ontstekingen aan de 46/ 33/ 34/ mogelijk 25 en gaatjes in de 15/ 14???/24??/25??/45?? moeilijk te zien op deze foto daar zou extra kleine foto's voor gemaakt moeten worden... Zwaar gevulde kiezen waar geen kronen op zijn gemaakt. Problemen met uw bot niveau ( voortanden boven). Roker??. Als u geen financiele middelen heeft zou ik in dit geval een frame prothese overwegen.
Voor een frame prothese zijn de 43/44...33/34....23/24...en 13/14 belangrijk. Dat zijn , ter vergelijking, de haakjes v e kapstok om een jas (frame) aan op te hangen. Helaas zijn sommigen zwaar gevuld en indien mogelijk zou ik daar een kroon op laten maken.Dat hoeft niet in een keer maar kan gelijdelijk naarmate u dit financieel, op termijn, kunt (wil????velen hebben er niets voor over en geven het geld liever aan andere, luxe [vakantie, kapper?] , zaken uit) uitvoeren.Voor een frame zou ik nu al (ontsteking) de 46 verwijderen. Dat geld kunt u beter aan herstel v d 33/34 besteden. 33 Cruciaal voor een frame...eventueel de 34 laten gaan. Zo lang mogelijk andere kiezen behouden om intussen de cruciale kiezen (al duurt het een p jaar) te bekronen. Wel echt een strak tijdsplan maken anders gebeurt er niets en is het te laat , nu al een voor twaalf. Of de keuze maken om af te bouwen , op termijn (hoeft niet gelijk), naar een kunstgebit. Wel zorgen dat er geen gaten en vooral ontstekingen zijn.
Zo...een mondvol... bespreek een goed behandel strategie, eventueel geleidelijk, met uw tandarts.
Ik zou nooit , persoonlijk, naar een kunstgebit gaan. Dat is niet nodig als u bereid bent te investeren in de gezondheid v uw gebit.... Prioriteiten.
ma, 02/23/2026 - 21:21 Permalink
Tandarts_Richa…

Een tand/kies verwijderen heeft invloed op de gekozen behandel strategie voor de toekomst. Dat heeft u besproken/beslist met uw tandarts, dat is niet aan de KC om met u te bespreken. DE KC geeft aan extractie , uw tandarts wil het terecht proberen als dat in de behandel strategie v behoud en geen uitneembare vervanging past. Dus de keuze v wkb of trekken heeft daar invloed op. U vraagt of uw kiezen kunnen verschuiven...ja.... hoeveel is voor mij niet in te schatten.
Uheeft een x-foto mee gestuurd. Daar heb ik op gereageerd met wat ik zie. Omdat ik de behandel strategie voor de toekomst niet weet heb ik een voorzet gegeven v een v d mogelijkheden (frame) en wat daarvoor nodig is, de zichtbare valkuilen.. Een frame indien de 46 getrokken wordt en geen WKB (duidelijk te zien op de eerste x-foto) gekozen wordt. Met dat advies kunt u doen wat u wilt.
Vanwege het botverlies bij de voortanden vroeg ik mij af of u rookt of gerookt heeft...gelukkig niet.Wat heeft u voor de toekomst bepaald??.
di, 02/24/2026 - 17:59 Permalink