Abutment met kroon na 1 maand los: oorzaak?

Author:
CB
Posted:
di, 11/16/2010 - 22:05
Op een door de kaakchirurg geplaatst implantaat (Nobel Biocare Replace NP 3,5 x 11,5 mm) heeft mijn tandarts een abutment met kroon aangebracht. Bij het plaatsen daarvan heeft hij wat tandvlees weggehaald. Hij heeft het abutment heel stevig vastgedraaid.
Na één maand van het implantaat genoten te hebben, "klikte" het abutment + kroon opeens los van het implantaat. Dit geburde terwijl ik met een stokertje (voorzichtig) zat te poeren. De kroon viel er niet uit, maar er zat beweging in. De volgende dag naar de tandarts. Hij dacht dat het probleem was ontstaan omdat hij een verkeerde schroefje heeft gebruikt (d.w.z. niet de definitieve, maar de laboratoriumschroef). Een afspraak gemaakt om de kroon + abutment te verwijderen, voor over 3 weken (hij kon niet eerder). Omdat het tandvlees steeds meer ging ontsteken wilde ik geen 3 weken wachten en heb gelukkig snel een implantoloog kunnen vinden. Die heeft een gaatje in de kroon geboord en het abutment + kroon eraf geschroefd. Volgens de implantoloog is de oorzaak van het losraken niet een verkeerd schroefje, maar de ontsteking. De ontsteking is volgens haar ontstaan doordat het abutment niet goed aansloot op het (diep liggende) implantaat.
Voordat de zaak hersteld wordt, moet natuurlijk eerst duidelijk zijn wat de oorzaak van het probleem is geweest. De tandarts heeft een geheel andere verklaring dan de implantoloog. De kaakchirurg kan er ook weinig zinnigs over zeggen. Heeft iemand een aannemelijke verklaring?
Attach
JW Vaartjes

Het verschil tussen lab schroef en definitieve schroef is eigenlijk alleen van belang bij sommige merken, maar zelfs dan geen reden voor loskomen na 1 maand.

Als ik zo naar de foto kijk zou de meest waarschijnlijke oorzaak het stuiten van het abutment (opbouw onder de kroon welke in het implantaat geschroefd wordt) op de distale (linker) botpiek zijn. Hierdoor kwam het abutment niet goed op zijn plaats en na verdwijnen van het bot wat tegen het abutment aandrukte kwam het abutment met kroon los.

Kan ook natuurlijk pech zijn geweest, voor een betere analyse hebben we meer data nodig, zoals x-foto na afdrukken en x-foto na plaatsen.

In ieder geval juist dat je snel hebt ingegrepen. Het botverlies valt nu nog wel mee en kan zelfs nog normaal genoemd worden.
wo, 11/17/2010 - 21:15 Permalink
CB

Hartelijk dank voor jullie reacties tot nu toe. Heb vandaag de foto's van de tandarts gekregen. Echter nog zonder data, zodat ik niet weet welke foto vlak na plaatsing gemaakt is en welke 1 maand na plaatsing (toen het abutment + kroon was losgekomen). Als ik de data weet zal ik de foto's uploaden. Wel stuur ik nu vast de foto van de afdrukstift.
Attach
do, 11/18/2010 - 00:34 Permalink
robinson

Mooi op z'n plaats, zoals het hoort,wanneer de eindfoto ook goed is moet het eigenlijk wel in het schroefje zitten.
Heb ook wel eens meegemaakt dat er per vergissing een goudschroefje meegeleverd werd ipv. een titanium schroefje.
Wanneer je dan met een te hoge torque het abutment vastschroeft kan het schroefje afbreken of kapot gaan.
do, 11/18/2010 - 08:06 Permalink
JW Vaartjes

Ben het toch niet met collega Robinson eens. Deze foto bewijst mijn theorie meer ;)

De afdrukstift komt goed op zijn plaats want is smal en het abutment (opbouw) is breed en loopt vast tegen de botpiek links.

Zo zie je maar dat we hier zo nooit uit gaan komen. Meer duidelijkheid zou de rontgenfoto direct na plaatsen kunnen bieden, mocht daar het abutment niet helemaal op het implantaat gedraaid zitten dan kan je echt verwachten dat deze door de vorm niet op zijn plek kan komen.

Het goede nieuws is dat het bot nauwelijks veranderd is sinds de afdruk, dus de prognose is vooralsnog goed van dit implantaat.
do, 11/18/2010 - 17:36 Permalink
CB

Het schroefje is volgens mij nog intact (zie foto). Ik zie geen tekenen van een breuk.
Ik heb nog geen data van de foto's van de tandarts gekregen. Hopelijk morgen, dan plaats ik de eindfoto.
Wat vinden jullie overigens van de verklaring van het loskomen die de implantoloog gaf: het loskomen zou het gevolg zijn van de ontsteking. Het lijkt me dat oorzaak en gevolg omgekeerd zijn: de kroon is losgekomen (door een nog onbekende oorzaak) met als gevolg een ontsteking (door bacteriën in de ruimte tussen het implantaat en de kroon). Ik heb voordat de kroon (na 1 maand) loskwam ook helemaal niets van een ontsteking gemerkt.
Attach
do, 11/18/2010 - 21:51 Permalink
CB

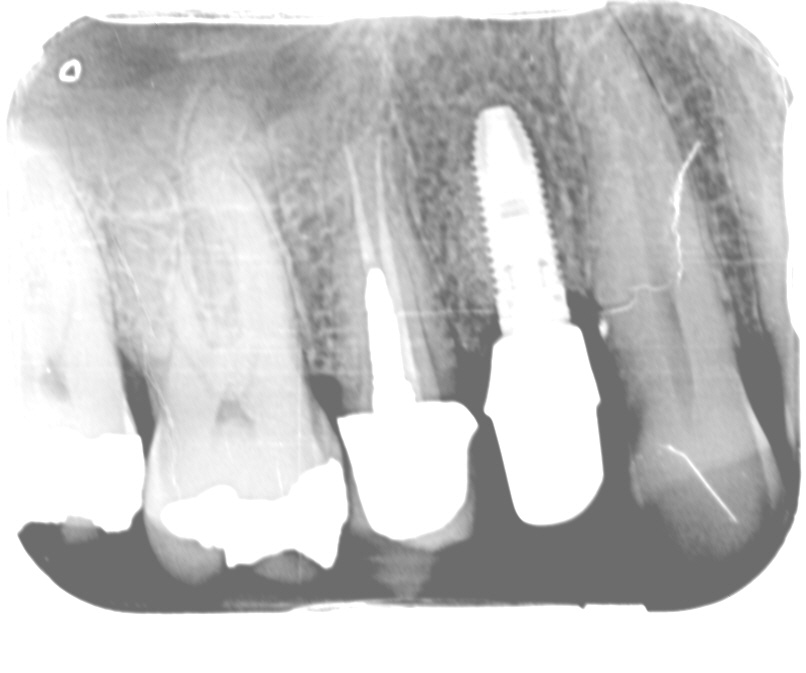
Hier is dan de foto die direct na plaatsing van het abutment/kroon door de tandarts gemaakt is (op 6-10-2010). Ruim een maand later (9-11-2010) kwam de opbouw/kroon los te zitten, d.w.z. kon die een beetje heen en weer bewogen worden. Dit gebeurde van het ene moment op het andere, terwijl ik (voorzichtig) zat te "poeren" met een tandenstokertje. De volgende dag ben ik door mijn tandarts gezien, die (vanwege zijn beperkte beschikbaarheid) een afspraak maakte - om de opbouw/kroon te verwijderen - voor 1-12, d.w.z. pas drie weken later! Omdat ik nogal last kreeg van het tandvlees dat ging ontsteken en ik gelezen had dat zo'n ruimte tussen opbouw en implantaat een reservoir vormt voor bacteriën, heb ik opde kaakchirurg geconsulteerd (zie foto van 12-11) en een implantoloog gezocht, voor een 2nd opinion en voor het verwijderen van de opbouw/kroon (op 15-11 gebeurd).
Attach
vr, 11/19/2010 - 19:32 Permalink
JW Vaartjes

Denk nog steeds niet echt dat torquewaarde hier een rol speelt.

Zoals vanaf het begin van de casus aangegeven, heb ik gesteld dat het bredere abutment zou stuiten tegen de botpiek links op de foto.

En inderdaad op deze x-foto lijkt dat nu te gebeuren... Er zit een kleine spleet tussen het abutment en het implantaat en het abutment staat in nauwe relatie met het approximale bot.

Het abutment botst dus op het bot, maar de torquewaarde wordt wel zonder problemen bereikt. Als echter dat bot resorbeert dan zit het abutment los en is deze casus gestart.

Inmiddels zal het abutment niet meer stuiten op het bot en kan de kroon opnieuw vastgezet worden/ zijn. Eind goed al goed.
za, 11/20/2010 - 12:30 Permalink
JW Vaartjes

Er is inderdaad na de afdruk en deze foto al bot verdwenen daar, maar als je goed kijkt zie je opaciteiten zeer dichtbij het abutment.

Je moet je voorstellen dat bot altijd bekleed is met botvlies en bindweefsel en afhankelijk waar je kijkt ook met epitheel. Deze laag de 'biological width' is voor botvlies en bindweefsel zeker 0,8mm dik en vaak dikker.

Op de röntgenfoto zou je kunnen zeggen dat er nog 'lucht' tussenzit maar in werkelijkheid is dus al het tandvlees dus samengeperst tot bijna niks en daardoor komt het abutment niet goed op zijn plek.
za, 11/20/2010 - 20:31 Permalink
CB

Hartelijk dank voor de analyse.

Ik begrijp dus dat dat de oorzaak van het probleem is dat mijn tandarts in onvoldoende mate ruimte gemaakt heeft voor de plaatsing van het abutment, d.w.z. het in de weg zittende tandvlees (of ander weefsel) niet voldoende heeft verwijderd. Dat klopt met het feit dat de kroon na plaatsing iets te hoog was en een beetje afgeslepen moest worden.

Vraag: kan deze kroon nog gebruikt worden? Hij zit nog vastgelijmd aan het abutment. Bovendien is er een gat in geboord (om bij de schroef te komen). En tenslotte is er iets afgehaald (omdat hij te hoog was), waardoor die bij correcte plaatsing wellicht te laag is. Adviseert u mij om te vragen/eisen dat er een nieuwe kroon gemaakt wordt?
za, 11/20/2010 - 23:39 Permalink
JW Vaartjes

Een tandarts krijgt vaak ook wel garantie van zijn of haar technieker en gezien het feit dat deze kroon nog maar zo kort geleden geplaatst is, zal ik als ik u was in ieder geval vriendelijk aan de tandarts vragen of de kroon weer hersteld kan worden door de technieker.

Mogelijk dat het abutmnet onderin dan ook wat slanker gemaakt kan worden zodat het geheel makkelijker op zijn plaats zal komen.
wo, 11/24/2010 - 23:26 Permalink