Vulling kies gebroken?

Author:
sbuitt
Posted:
do, 06/05/2025 - 10:42
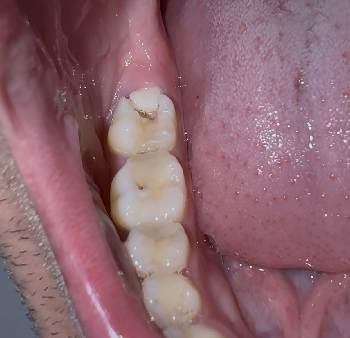
Hallo, Mijn achterste rechteronderkies is in februari ‘gemaakt’ door de tandarts. Echter kreeg ik na 2/3 maanden last van deze kies, hier blijft namelijk voedsel tussen zitten. Komt dit doordat de tandarts zijn werk verkeerd heeft uitgevoerd of is hier wat anders aan de hand? Ik hoor graag jullie mening over dit probleem. Ik heb momenteel geen pijn aan de kies, er blijven echter voedselresten in achterzitten, waardoor ik mijn kaak niet goed kan sluiten zonder de kies goed schoon te maken.
Tandarts_Richa…

Ook een "nieuw"vulling kan kapot gebeten worden. Dit kan, bijv, omdat u op iets hard heeft gebeten maar kan ook omdat de hoogte v d vulling niet goed is/is kunnen gecontroleerd. Maar dat ook komen omdat als u achterover gelegen heeft de kaakpositie anders is dan wanneer u rechtop zit. Dat heeft wat tijd nodig om te herstellen waardoor het niet altijd goed geregistreerd wordt. De een na laatste, en de kies daarvoor zou ik ook controleren met een x-foto.
vr, 06/06/2025 - 14:36 Permalink