Is dit een eerlijke tandartsrekening?

Author:
Levon
Posted:
za, 10/07/2023 - 10:38
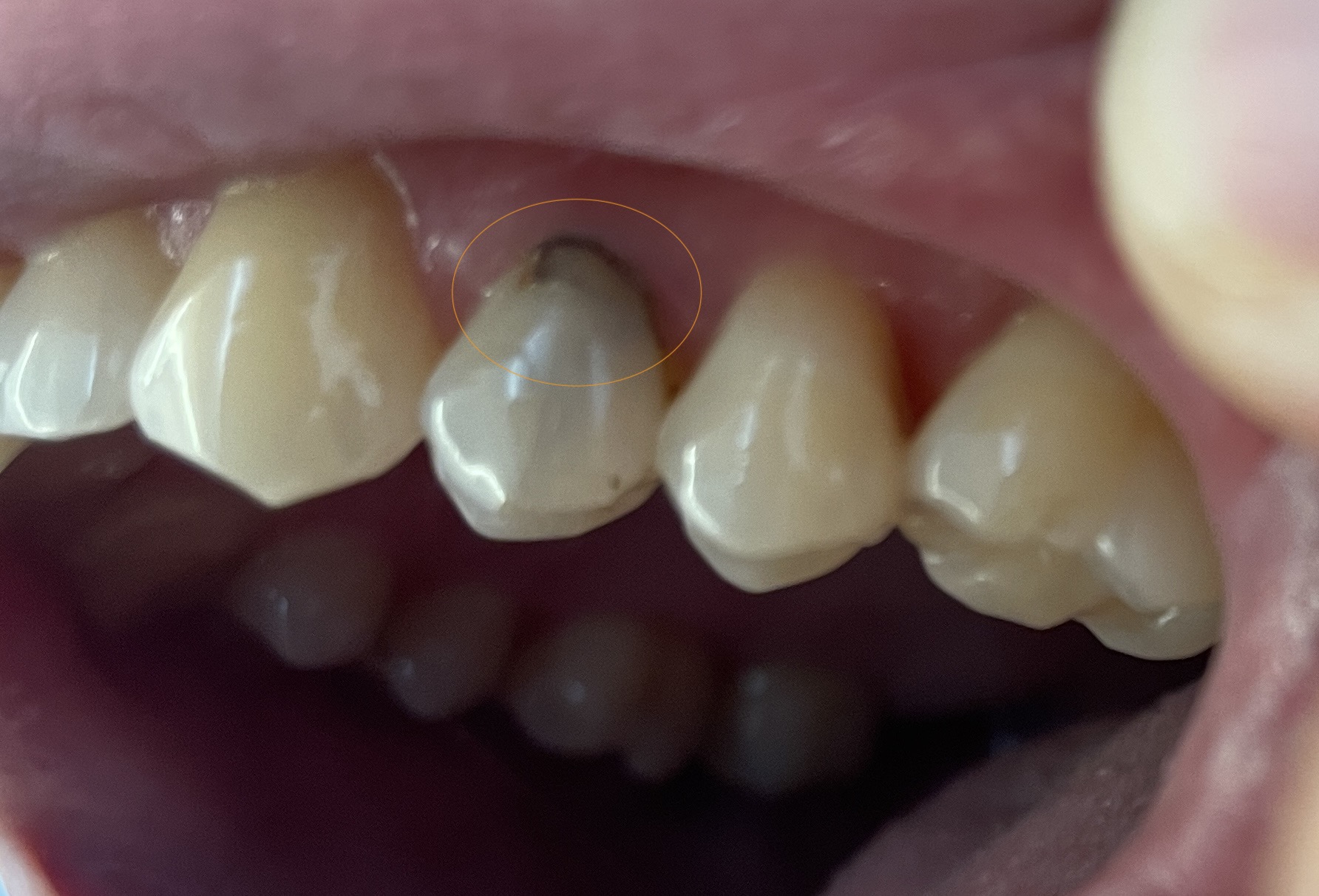
Ik ben er niet zeker van dat twee (x2) V93 Drievlaksvulling composiet geschikt is voor de kleine tandverkleuring die ik heb. Wat denk je? Kan het zijn dat mijn tandarts mij te veel in rekening probeert te brengen omdat ik verzekerd ben? De foto is bijgevoegd.

Hartelijk dank voor uw tips!
Attach