Goedenavond,
Ik ben nieuw op dit forum en moet zeggen, er is erg veel te lezen! Heel erg leerzaam. Ik ben Peter Jan, 22 jaar en woon in Amsterdam.
Mijn vraag heb ik gezocht op dit forum, echter kon er geen direct antwoord op vinden.
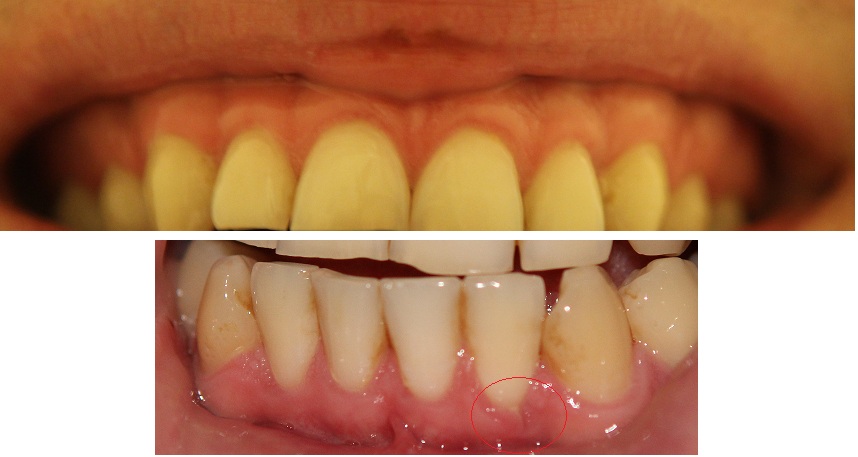
Sinds enige tijd (2 maanden) heb ik last van loszittend tandvlees bij met name mijn voortanden van het ondergebit. Komende week heb ik een afspraak bij mijn tandarts en gaat er 2 maal een extractie van mijn verstandskiezen plaats vinden plus een gebitsreiniging. Mede door de ervaringen op dit forum ben ik meer te weten gekomen over gingivitis en parodontitis, leuk zo'n forum maar het levert ook direct vragen op. Op het forum las ik dat o.a. raggertjes en flossen goed zijn, dit heb ik dan ook gedaan. Flossen doe ik al geruime tijd en dit gaat erg goed, zonder bloed o.i.d. echter de raggertjes heb ik vandaag geprobeerd en hierbij ontstond vrijwel direct bloed tussen mijn tanden. Ook heb ik het idee dat mijn voortanden soms losser zitten. (mijn verstandskiezen zijn wel doorgekomen).
Mijn vraag, is het mogelijk om op mijn leeftijd al parodontitis te hebben? Ik poets mijn hele leven al 2 maal daags. Heb voor zover ik weet nooit last gehad van echte zwelling van het tandvlees. Echter de laatste tijd heb ik dus loszittend tandvlees (ondergebit), bloed bij raggertjes gebruik en het idee dat de voortanden iets losser staan.
Foto's ter aanvulling:
Ik ben nieuw op dit forum en moet zeggen, er is erg veel te lezen! Heel erg leerzaam. Ik ben Peter Jan, 22 jaar en woon in Amsterdam.
Mijn vraag heb ik gezocht op dit forum, echter kon er geen direct antwoord op vinden.
Sinds enige tijd (2 maanden) heb ik last van loszittend tandvlees bij met name mijn voortanden van het ondergebit. Komende week heb ik een afspraak bij mijn tandarts en gaat er 2 maal een extractie van mijn verstandskiezen plaats vinden plus een gebitsreiniging. Mede door de ervaringen op dit forum ben ik meer te weten gekomen over gingivitis en parodontitis, leuk zo'n forum maar het levert ook direct vragen op. Op het forum las ik dat o.a. raggertjes en flossen goed zijn, dit heb ik dan ook gedaan. Flossen doe ik al geruime tijd en dit gaat erg goed, zonder bloed o.i.d. echter de raggertjes heb ik vandaag geprobeerd en hierbij ontstond vrijwel direct bloed tussen mijn tanden. Ook heb ik het idee dat mijn voortanden soms losser zitten. (mijn verstandskiezen zijn wel doorgekomen).
Mijn vraag, is het mogelijk om op mijn leeftijd al parodontitis te hebben? Ik poets mijn hele leven al 2 maal daags. Heb voor zover ik weet nooit last gehad van echte zwelling van het tandvlees. Echter de laatste tijd heb ik dus loszittend tandvlees (ondergebit), bloed bij raggertjes gebruik en het idee dat de voortanden iets losser staan.
Foto's ter aanvulling:
Re: Parodontitis, in welke leeftijd?
Wij zien Parodontitis vanaf een jaar of 14-15.
Maar dat zal je tandarts ook hebben bekeken.
Even met een sonde tegen het tandvlees van de eerste molaren en de voortanden duwen.
20 seconden werk.
Dat van de foto ziet er eerder uit als irritatie door onder het tandvlees liggende stukjes tandsteen.
Daardoor zwelt het tandvlees tussen de tanden soms op.
Die kun je zelf niet goed wegkrijgen, maar daar is die afspraak dus voor.
Na het verwijderen ga je gewoon door met het reinigen.
En dan ben je met 2-3 dagen van je bloedend tandvlees af, normaal gesproken.
Als je het vóór het tandsteen verwijderen ook al goed schoonhoudt, dan heb je van het schrapen nooit zo'n last, dus dat scheelt ook al.
Re: Parodontitis, in welke leeftijd?
Ik kan je aanraden om eens naar de mondhygienist te gaan. Die kan wat meer tijd nemen voor dit soort problemen en je goed voorlichten,.