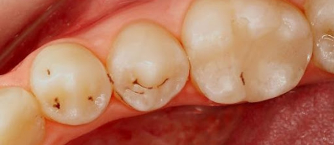
Author: Liss Posted: wo, 07/08/2020 - 17:49 ik heb dit op 4 tanden ,wat is dit Attach Lieneke Een teken dat je goed Een teken dat je goed gepoetst hebt ;) Dit waren ooit beginnende gaatjes en door goed poetsen/eten zijn de gaatjes niet verder je kies ingegaan. Het neemt wel kleurstof op door de veranderde structuur. Geen zorgen dus! Stuur privébericht Login of registreer om te reageren do, 07/09/2020 - 11:45 Permalink 25572 weergaves
Lieneke Een teken dat je goed Een teken dat je goed gepoetst hebt ;) Dit waren ooit beginnende gaatjes en door goed poetsen/eten zijn de gaatjes niet verder je kies ingegaan. Het neemt wel kleurstof op door de veranderde structuur. Geen zorgen dus! Stuur privébericht Login of registreer om te reageren do, 07/09/2020 - 11:45 Permalink
Een teken dat je goed