Een vraag voor de deskundigen.....
Ik zit nog tot 15 maart met mijn vriendin in AZIE..
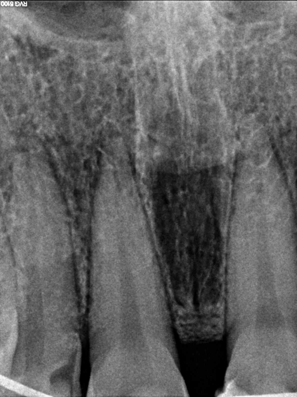
Ze is in de douche gevallen op haar voortanden...1 tand stuk eraf en de andere de middelste los,
Middelste nu 4 weken gespalkt maar ziet nog steeds wat los.
En tandarts dacht ook dat er breuk zit bij de wortelpunt bij de Middelste tand
V;g tandarts in the Philippines zit er bij de middelste aan de wortel een onsteking.
Klopt dit ??? Ik zei dan zal antibiotica nodig zijn .. hij adviseerde een wortelkanaalbehandeling ???
Graag advies ... vab wat er nu op de x ray te zien is
MvG Peter
Ik zit nog tot 15 maart met mijn vriendin in AZIE..
Ze is in de douche gevallen op haar voortanden...1 tand stuk eraf en de andere de middelste los,
Middelste nu 4 weken gespalkt maar ziet nog steeds wat los.
En tandarts dacht ook dat er breuk zit bij de wortelpunt bij de Middelste tand
V;g tandarts in the Philippines zit er bij de middelste aan de wortel een onsteking.
Klopt dit ??? Ik zei dan zal antibiotica nodig zijn .. hij adviseerde een wortelkanaalbehandeling ???
Graag advies ... vab wat er nu op de x ray te zien is
MvG Peter
In elk geval GEEN antibiotica
Als antwoord op In elk geval GEEN antibiotica door Lieneke
In elk geval GEEN antibiotica
als ze last heeft en geen wortelkanaalbehandeling wil ondergaan in de Filipijnen kunnen antibiotica best tijdelijk helpen tot ze weer thuis is en haar eigen tandarts de situatie kan laten beoordelen. Lastig te zien op de foto of ze een ontsteking heeft of niet maar ik denk dat de filipijnse tandarts gelijk heeft en er inderdaad een ontsteking en breuk zit. Heeft hij een koudetest gedaan? Als ze geen kou meer voelt op die tand en de buurtanden wel dan zal'ie wel dood zijn.
Als antwoord op In elk geval GEEN antibiotica door gorilla
In elk geval GEEN antibiotica