Hallo allemaal
(ik weet niet zo goed bij welk onderwerp ik dit moet plaatsen + ik heb snel antwoord nodig dus ik plaats het bij meerdere toepassende onderwerpen)
Een aantal (ong. 4) jaar geleden is er bij mijn voortanden, onder, een onsteking ontstaan (achter de tanden en onder de tong was het helemaal opgezwollen). Hier heb ik antibiotica voor gekregen. Ook heeft de tandarts het schoon proberen te maken maar omdat de verdoving niet werkte had ik zoveel pijn dat ik niet meer kon en daarna niet meer durfde. Het is nog getest met zo'n koud wattenstaafje en daar reageerde ik dus nog wel op. De onsteking kwam soms terug en dan spoelde ik met listerine en ging het weer weg maar heb het verder nooit laten behandelen.
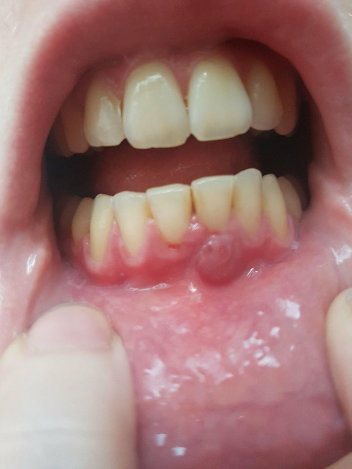
Nu heb ik 2 jaar geleden een klap hier tegen aan gekregen en sindsdien heb ik bij 2 tanden geen gevoel meer als er een koud wattenstaafje tegen gedrukt word. De ontsteking komt sneller en heftiger (achter en voor komt er pus uit mn tandvlees) terug en is niet meer tegen te gaan met alleen listerine of perio-aid. De 2 tanden zijn ook een stukje verschoven en zitten een beetje los. Er zit ook een soort van gat/opening tussen m'n tand en tandvlees aan de achterkant (hier komt dan ook pus en bloed uit als het onstoken is). Als ik hier met m'n nagel bij zit kan ik volgens mij bijna de zenuwe ofzo aanraken. Ik heb hier een foto van bijgevoegd.
Nu ben ik doodsbang geworden voor de tandarts en is het ook een mentaal dingetje omdat het door mishandeling komt. Toch ben ik voor de rechtzaak vorig jaar naar de tandarts geweest en die heeft een foto gemaakt en gezegd dat ik 2 wortelkanaalbehandelingen moet krijgen.
Ik denk dat een WKB niet gaat helpen omdat het al 2 jaar geleden is gebeurd.
Ik ben dus bang dat er na een tijd alsnog/weer problemen met die tanden gaan komen en ik ze dan alsnog eruit moet laten halen. Ik zie het echt niet zitten om over een tijd (jaar, paar of aantal jaar) WEER hier problemen mee te hebben en al het oude zeer weer naar boven te krijgen.
Dus heb ik bedacht dat het misschien verstandiger is om meteen voor implantaten te gaan, hoe erg ik het ook vind dat ik dan 2 of 3 tanden kwijt raak halverwege in de 20 ....
Maargoed... mijn vraag dus voor hier is eigenlijk:
Hoe groot is de kans dat ik geen problemen meer heb na een WKB? Of hoe groot is de kans dat ik juist wel alsnog problemen ermee ga krijgen?
Alvast bedankt!
Groetjes, Nancy
(ik weet niet zo goed bij welk onderwerp ik dit moet plaatsen + ik heb snel antwoord nodig dus ik plaats het bij meerdere toepassende onderwerpen)
Een aantal (ong. 4) jaar geleden is er bij mijn voortanden, onder, een onsteking ontstaan (achter de tanden en onder de tong was het helemaal opgezwollen). Hier heb ik antibiotica voor gekregen. Ook heeft de tandarts het schoon proberen te maken maar omdat de verdoving niet werkte had ik zoveel pijn dat ik niet meer kon en daarna niet meer durfde. Het is nog getest met zo'n koud wattenstaafje en daar reageerde ik dus nog wel op. De onsteking kwam soms terug en dan spoelde ik met listerine en ging het weer weg maar heb het verder nooit laten behandelen.
Nu heb ik 2 jaar geleden een klap hier tegen aan gekregen en sindsdien heb ik bij 2 tanden geen gevoel meer als er een koud wattenstaafje tegen gedrukt word. De ontsteking komt sneller en heftiger (achter en voor komt er pus uit mn tandvlees) terug en is niet meer tegen te gaan met alleen listerine of perio-aid. De 2 tanden zijn ook een stukje verschoven en zitten een beetje los. Er zit ook een soort van gat/opening tussen m'n tand en tandvlees aan de achterkant (hier komt dan ook pus en bloed uit als het onstoken is). Als ik hier met m'n nagel bij zit kan ik volgens mij bijna de zenuwe ofzo aanraken. Ik heb hier een foto van bijgevoegd.
Nu ben ik doodsbang geworden voor de tandarts en is het ook een mentaal dingetje omdat het door mishandeling komt. Toch ben ik voor de rechtzaak vorig jaar naar de tandarts geweest en die heeft een foto gemaakt en gezegd dat ik 2 wortelkanaalbehandelingen moet krijgen.
Ik denk dat een WKB niet gaat helpen omdat het al 2 jaar geleden is gebeurd.
Ik ben dus bang dat er na een tijd alsnog/weer problemen met die tanden gaan komen en ik ze dan alsnog eruit moet laten halen. Ik zie het echt niet zitten om over een tijd (jaar, paar of aantal jaar) WEER hier problemen mee te hebben en al het oude zeer weer naar boven te krijgen.
Dus heb ik bedacht dat het misschien verstandiger is om meteen voor implantaten te gaan, hoe erg ik het ook vind dat ik dan 2 of 3 tanden kwijt raak halverwege in de 20 ....
Maargoed... mijn vraag dus voor hier is eigenlijk:
Hoe groot is de kans dat ik geen problemen meer heb na een WKB? Of hoe groot is de kans dat ik juist wel alsnog problemen ermee ga krijgen?
Alvast bedankt!
Groetjes, Nancy