Wel of geen behandeling nodig?

Author:
Marijn28
Posted:
ma, 12/04/2017 - 12:37
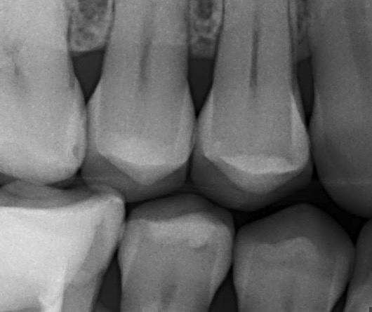
Volgens mijn oude tandarts is alles op deze foto in orde.
Mijn nieuwe tandarts ziet iets onder de vulling op de middelste kies onderaan, en wil dit weghalen.
Is dat echt nodig denkt u?
De foto is ongeveer een jaar geleden gemaakt.
Attach