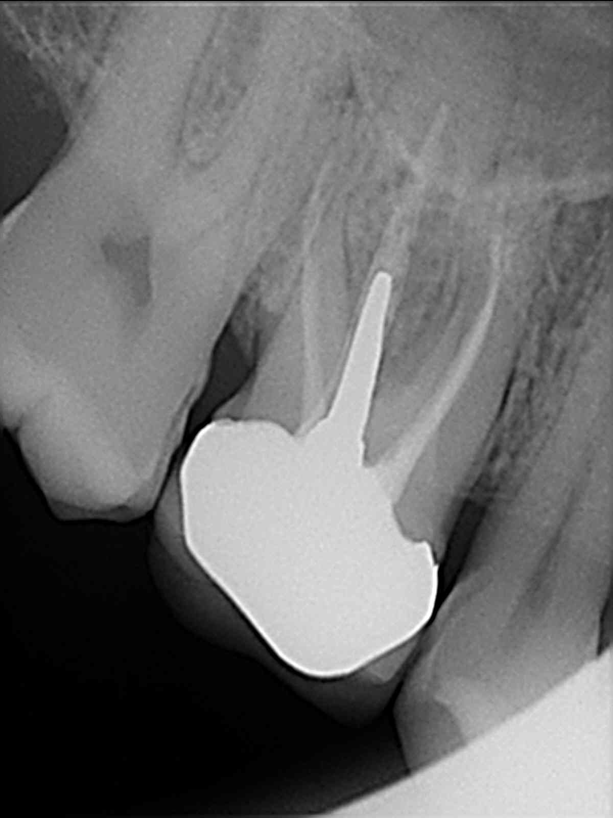
Sinds afgelopen woensdagochtend heb ik vreselijke pijn onder een kroon (de1.6). Op de foto (zie bijlage) is geen ontsteking te zien volgens de tandarts. Naar huis gestuurd met amoxicilline/Clavulaanzuur 500 en Ibuprofen 600 mg + paracetamol + codeine. Pijn wordt steeds erger ipv minder... Tandarts zegt dat er waarschijnlijk een breuk in de wortel zit omdat er aan de achterkant van de kies een pocket zit van wel 10mm diep. Daar komt ook pus uit. Kan kies nu niet trekken zegt hij omdat verdoving door de ontsteking niet zou werken. Ontsteking moet eerst weg, daarna trekken en implantaat plus nieuwe kroon erop.
Ik vind het allemaal prima ALS DIE PIJN MAAR WEG GAAT. Hoe lang duurt het voordat de antibiotica gaat werken??? Pijnstillers werken bijna niet en ik slik dus al een combi van IBU 600 EN Paracetamol met codeine...
Ik vind het allemaal prima ALS DIE PIJN MAAR WEG GAAT. Hoe lang duurt het voordat de antibiotica gaat werken??? Pijnstillers werken bijna niet en ik slik dus al een combi van IBU 600 EN Paracetamol met codeine...