Hallo,
Enkele weken geleden postte ik al dit topic:
http://www.tandarts.nl/phpBB/viewtopic.php?f=1&t=27872
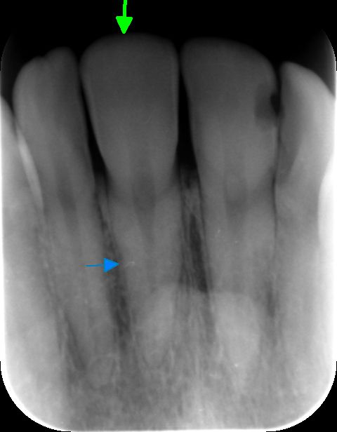
Helaas blijf ik last houden van de tand. Ik heb inmiddels ook de foto die drie dagen na de stoot genomen is.
De tand is aangeduid met de groene pijl. Het betreft een voortand in de bovenkaak.
Moet ik mij zorgen maken? Ik vraag me ook af wat het felwitte lijntje (aangeduid met blauwe pijl) op de wortel is?
Ik zou het enorm appreciëren als iemand hierover zijn mening zou kunnen geven.
PS: Excuses voor het openen van een nieuw topic. Ik wilde in de topictitel toch even de aandacht vestigen op de toegevoegde foto, en vond geen manier om het oorspronkelijke topic te editeren.
Enkele weken geleden postte ik al dit topic:
http://www.tandarts.nl/phpBB/viewtopic.php?f=1&t=27872
Helaas blijf ik last houden van de tand. Ik heb inmiddels ook de foto die drie dagen na de stoot genomen is.
De tand is aangeduid met de groene pijl. Het betreft een voortand in de bovenkaak.
Moet ik mij zorgen maken? Ik vraag me ook af wat het felwitte lijntje (aangeduid met blauwe pijl) op de wortel is?
Ik zou het enorm appreciëren als iemand hierover zijn mening zou kunnen geven.
PS: Excuses voor het openen van een nieuw topic. Ik wilde in de topictitel toch even de aandacht vestigen op de toegevoegde foto, en vond geen manier om het oorspronkelijke topic te editeren.