Beste vaklieden
Ik heb 5 jaar geleden een wkb gehad aan bovenkies, dot ging 5 jaar goed, tot december vorig jaar toen kreeg ik wederom pijn, ik ben langs de tandarts geweest deze heeft wat testjes en foto maakt en er kwam niets uit.
Vorige week ben ik wederom langs de endodontoloog en wederom niets kunnen vinden.
Maar de pijn bleef.
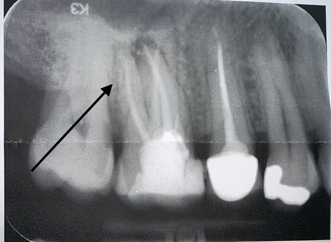
Voor een second opinion ben ik langs een andere tandarts geweest en die zag dat er degelijk een wortelpuntonsteking zit.
Wat moet nu het beste doen? Wederom en wkb of langs de kaakchirug voor een Apex?
Ik heb 5 jaar geleden een wkb gehad aan bovenkies, dot ging 5 jaar goed, tot december vorig jaar toen kreeg ik wederom pijn, ik ben langs de tandarts geweest deze heeft wat testjes en foto maakt en er kwam niets uit.
Vorige week ben ik wederom langs de endodontoloog en wederom niets kunnen vinden.
Maar de pijn bleef.
Voor een second opinion ben ik langs een andere tandarts geweest en die zag dat er degelijk een wortelpuntonsteking zit.
Wat moet nu het beste doen? Wederom en wkb of langs de kaakchirug voor een Apex?
Had je pijn aan je tandvlees
Als antwoord op Had je pijn aan je tandvlees door egbert84
Had je pijn aan je tandvlees
Binnenkant kaak !
Als antwoord op Had je pijn aan je tandvlees door touhami
Had je pijn aan je tandvlees
Er is een kanaal behandeld maar de klachten zijn er nog steeds. Kauwen is pijnlijk en Bultje aan de binnenkant is er nog steeds en is ook pijnlijk.
Bultje zit dus aan de binnenkant dus aan gehemelte kant. Wel vlakbij de kies.
Kan dat een wortelpuntontsteking zijn of moet ik denken aan iets anders?
Bijvoorbeeld een kiesbreuk
Als antwoord op Had je pijn aan je tandvlees door touhami
Had je pijn aan je tandvlees