Hey iedereen!
Ik ben nu al bijna 2 jaar niet meer bij de tandarts geweest. Nou weet ik dat ik tanderosie heb en ik drink tamelijk veel frisdrank zo ongeveer 2 a 3 blikjes cola per dag, maar ook thee met veel suiker enz.
Nu dronk ik gisteren zoals gewoonlijk weer mijn cola maar ik merkte dat de tand naast mijn linker voortand bovenaan een beetje zeer deed. Niet mega veel pijn ofzo maar het was wel aanwezig en het voelde niet prettig. Nu dacht ik dat dat wel zou komen door de frisdrank dat heb ik weleens vaker dat mijn tanden gevoeliger worden. Maar ik keek net met een spiegeltje in mijn mond en scheen er met een zaklamp op en toen schrok ik wel een beetje. Misschien hoef ik mij wel helemaal niet druk te maken maar ik vond het er niet heel goed uitzien. Want de tand waarvan ik last had was een beetje bruinig uitgeslagen en het leek alsof dat bruine in een scheur naar beneden trok. Ook toen ik er met een nagelschaartje in dat bruine dingetje heen en weer bewoog voelde ik weer die lichte steek/ pijn. Sowieso zijn mijn tanden aan de achterkant een beetje gelig en lopen ze wat holler door de erosie maar ik merkte ook op dat er ook een deel bij mijn Spalkje was die ook een beetje bruinig was uitgeslagen.
Ik zou er nog wel even een foto bij doen van hoe het eruit ziet. Ik heb net direct de tandarts een mail gestuurd voor een afspraak maar wellicht dat jullie mij nu alvast kunnen helpen met wat het zou kunnen zijn, want ik maak mij heel erg zorgen hierom!
P.s. Het zijn op de foto de eerste 3 voortanden waar ik het over heb dus van Links naar rechts. Rechts op de foto naast de voortand zit die tand met die rare scheur.
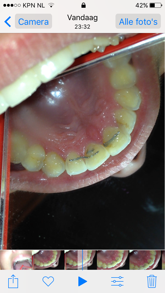
Ik ben nu al bijna 2 jaar niet meer bij de tandarts geweest. Nou weet ik dat ik tanderosie heb en ik drink tamelijk veel frisdrank zo ongeveer 2 a 3 blikjes cola per dag, maar ook thee met veel suiker enz.
Nu dronk ik gisteren zoals gewoonlijk weer mijn cola maar ik merkte dat de tand naast mijn linker voortand bovenaan een beetje zeer deed. Niet mega veel pijn ofzo maar het was wel aanwezig en het voelde niet prettig. Nu dacht ik dat dat wel zou komen door de frisdrank dat heb ik weleens vaker dat mijn tanden gevoeliger worden. Maar ik keek net met een spiegeltje in mijn mond en scheen er met een zaklamp op en toen schrok ik wel een beetje. Misschien hoef ik mij wel helemaal niet druk te maken maar ik vond het er niet heel goed uitzien. Want de tand waarvan ik last had was een beetje bruinig uitgeslagen en het leek alsof dat bruine in een scheur naar beneden trok. Ook toen ik er met een nagelschaartje in dat bruine dingetje heen en weer bewoog voelde ik weer die lichte steek/ pijn. Sowieso zijn mijn tanden aan de achterkant een beetje gelig en lopen ze wat holler door de erosie maar ik merkte ook op dat er ook een deel bij mijn Spalkje was die ook een beetje bruinig was uitgeslagen.
Ik zou er nog wel even een foto bij doen van hoe het eruit ziet. Ik heb net direct de tandarts een mail gestuurd voor een afspraak maar wellicht dat jullie mij nu alvast kunnen helpen met wat het zou kunnen zijn, want ik maak mij heel erg zorgen hierom!
P.s. Het zijn op de foto de eerste 3 voortanden waar ik het over heb dus van Links naar rechts. Rechts op de foto naast de voortand zit die tand met die rare scheur.
op naar de tandarts... of op