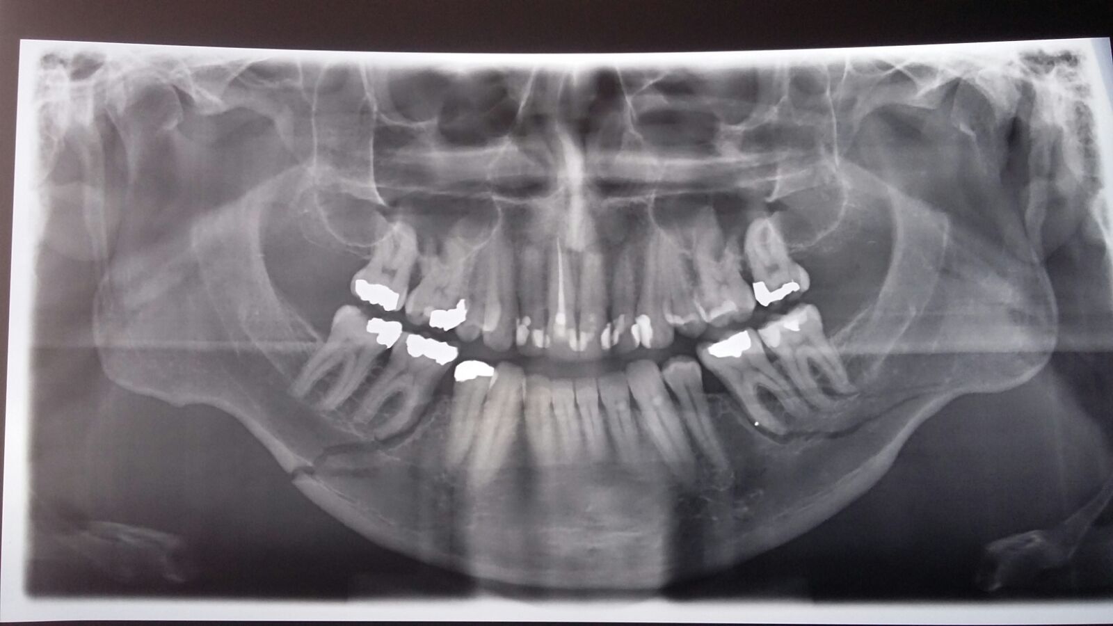
In eind november 2015 heb ik mijn kaak op 2 plekken gebroken (helemaal doorgebroken) en beschadigde kaakgewrichten (en een schedelfractuur)
Nu ben ik hiervoor geopereerd, heb 2 plaatjes op de kaak gekregen die blijvend zijn, en voor 6 weken had ik ook een metalen draden om mijn kiezen heen gekregen.
Die zijn in januari weer verwijderd.
Ook was de linker kies boven helemaal achterin een stukje afgebroken, dit heeft de tandarts weer gerepareerd.
In februari heeft de tandarts alle 4 bovenste voortanden opnieuw gevuld, omdat er bruine/zwarte plekjes op zaten, de jaren daarvoor werd het gepolijst.
Dit is zonder verdoving gedaan, en ik heb er ook niet veel van gevoeld dan 1-2 keer een gemene piek in pijn.
De 2 maand er na ging het steeds beter met het kauwen.
Maar ik had wel het gevoel dat mijn beet niet goed was, vooral ochtends voelde het niet helemaal oke aan als ik mijn kiezen op elkaar zetten.
Als ik mijn kaak heen en weer bewoog, gaat het beter, en na 10-15 minuten is het wel oke weer. Ook knappen mijn kaakgewrichten nu.
Maar eind maart begin april begin ik last te krijgen van mijn boventanden. Geen pijn, maar een gevoel dat het niet goed zit.
Ook lijken ze losser te zitten, maar dat kan mijn verbeelding zijn, het is in ieder geval niet erger geworden.
Ik ben hiervoor naar mijn tandarts geweest, die heeft even snel gekeken er er was niks aan de hand, ik moest op die papiertjes bijten.
Ik zou wel in mijn slaap gaan tandenknarsen, mogelijk door de kaaktrauma.
Advies was een bitje.
Ik heb namelijk geen hoofdpijn of spierpijn in de kaak, dus dat heb ik eerst nog niet gedaan vanwege de kosten (ben al door mijn kosten heen van mijn tandpolis)
Ik kan eigen niks hards bijten zonder dat het vreemd aanvoelt en net of de tanden afbreken of eruit vallen, een beschuit eten lukt nog.
Het is er niet beter geworden maar ook niet erger.
Wat kan er aan de hand zijn?
Nu kan dat ik tandknars in mijn slaap, maar omdat mijn beet niet geheel goed is, en blijf wat vreemd aanvoelen
Is het mogelijk dat je de boventanden steeds een beetje losbijt door de beet?
Ik heb in 1 voortand een wortelkanaalbehandeling gehad 8 jaar geleden, kan hier wat mee zijn, maar dat ik het niet voel? Ik heb wel eens een idee als ik op bed lig dat het licht klopt.
Kan ik ook weer een afspraak met de kaakchirurg maken over deze klachten?
Nu ben ik hiervoor geopereerd, heb 2 plaatjes op de kaak gekregen die blijvend zijn, en voor 6 weken had ik ook een metalen draden om mijn kiezen heen gekregen.
Die zijn in januari weer verwijderd.
Ook was de linker kies boven helemaal achterin een stukje afgebroken, dit heeft de tandarts weer gerepareerd.
In februari heeft de tandarts alle 4 bovenste voortanden opnieuw gevuld, omdat er bruine/zwarte plekjes op zaten, de jaren daarvoor werd het gepolijst.
Dit is zonder verdoving gedaan, en ik heb er ook niet veel van gevoeld dan 1-2 keer een gemene piek in pijn.
De 2 maand er na ging het steeds beter met het kauwen.
Maar ik had wel het gevoel dat mijn beet niet goed was, vooral ochtends voelde het niet helemaal oke aan als ik mijn kiezen op elkaar zetten.
Als ik mijn kaak heen en weer bewoog, gaat het beter, en na 10-15 minuten is het wel oke weer. Ook knappen mijn kaakgewrichten nu.
Maar eind maart begin april begin ik last te krijgen van mijn boventanden. Geen pijn, maar een gevoel dat het niet goed zit.
Ook lijken ze losser te zitten, maar dat kan mijn verbeelding zijn, het is in ieder geval niet erger geworden.
Ik ben hiervoor naar mijn tandarts geweest, die heeft even snel gekeken er er was niks aan de hand, ik moest op die papiertjes bijten.
Ik zou wel in mijn slaap gaan tandenknarsen, mogelijk door de kaaktrauma.
Advies was een bitje.
Ik heb namelijk geen hoofdpijn of spierpijn in de kaak, dus dat heb ik eerst nog niet gedaan vanwege de kosten (ben al door mijn kosten heen van mijn tandpolis)
Ik kan eigen niks hards bijten zonder dat het vreemd aanvoelt en net of de tanden afbreken of eruit vallen, een beschuit eten lukt nog.
Het is er niet beter geworden maar ook niet erger.
Wat kan er aan de hand zijn?
Nu kan dat ik tandknars in mijn slaap, maar omdat mijn beet niet geheel goed is, en blijf wat vreemd aanvoelen
Is het mogelijk dat je de boventanden steeds een beetje losbijt door de beet?
Ik heb in 1 voortand een wortelkanaalbehandeling gehad 8 jaar geleden, kan hier wat mee zijn, maar dat ik het niet voel? Ik heb wel eens een idee als ik op bed lig dat het licht klopt.
Kan ik ook weer een afspraak met de kaakchirurg maken over deze klachten?
Ga terug naar de kaakchirurg
Als antwoord op Ga terug naar de kaakchirurg door Grappa
Ga terug naar de kaakchirurg