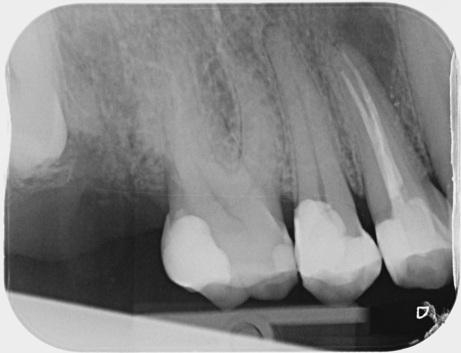
Premolaar met radiolucentie..

Author:
erikvm
Posted:
do, 04/07/2016 - 16:41
]Zoek een oordeel over behandelbaarheid kies op basis van de foto, van premolaar, die bij mij geen pijnklachten geeft, wel abces/bubbeltje met vocht aan punt wortel duidelijk zichtbaar in het tandvlees met voelbaar blaasje aan de punt van de wortel..soms vieze smaak..Zelf vind ik dat kies nog goed is (kroon, geen cariës) IS deze kies nog goed te behandelen ? Zoja, apex of herbehandeling ?
Attach
erikvm

Als antwoord op door Lieneke

De edentoloog zegt dat tand verloren is en getrokken moet worden ! Wil me niet herbehandelen en zegt dat er een waarschijnlijk een breuk is..verticaal, maar die kan je niet op de foto zien zegt hij. Ik doe nu een antibioticakuur met clindamycine omdat ik erg ziek was afgelopen weekend, en lichte koorts Maar had ook last nog van een verstandskies . HEb nu minder last maar weet niet of ik nu apex resectie moet doen of toch herbehandelen. Wat geeft meer belasting om te genezen ? Kan de kuur voldoende zijn ? Wie me wil herbehandelen mag reageren via een privebericht,.
vr, 04/08/2016 - 22:33 Permalink
Grappa

Als antwoord op door erikvm

Als de endodontoloog dit zegt zal het zo zijn. Een fractuur zie je meestal niet op dit soort foto's. Bij onderzoek zal dan meestal een pockets heel lokaal aanwezig zijn. De enige foto die zekerheid geeft is een CBCT scan een dure foto die relatief veel stralingsbelasting geeft.
Als de endodontoloog het zo zeker weet is geen enkele behandeling mogelijk en is de kies verloren.
vr, 04/08/2016 - 22:59 Permalink
Ortholimburg

Als antwoord op door Grappa

Een small view cone beam is zeker een goed idee, alvorens de tand te trekken .Met de moderne systemen is de stralingsbelasting zeker acceptabel bij een volwassen patiënt, vooral omdat er toch wel zinvolle info uitkomt in dit geval, om te bepalen of er al of niet een factuur aanwezig is, want dat kan m.i. het verschil wel maken tussen verwijderen of behoud van de tand.
za, 04/09/2016 - 11:36 Permalink