Het heeft me wat tijd gekost om hier mijn vraag te stellen. Ik heb een goede relatie met mijn tandarts en zou haar hier niet in willen passeren. Ik weet echter niet meer goed wat te doen.
In november '19 had ik opeens last van 4 losse ondertanden. Niet zo los dat ze gespalkt moeten worden, maar zeker wel beweeglijk.
Ik heb hier een bitje voor gekregen, ervan uitgaande dat het veroorzaakt wordt door kaakklemmen. Het advies was om het wat tijd te geven en het bitje te gebruiken.
Ik klem niet met mijn kaken en er is ook geen indicatie voor dat ik dat 's nachts doe. In december dus opnieuw geweest, dit besproken en omdat het bitje druk/pijn bleef geven aangeraden het toch niet te dragen.
In januari zaten de vier ondertanden weer een stukje meer vast, zeker minder beweeglijk dan eerder.
In februari heb ik hetzelfde, maar nu met mijn twee boventanden (voor). Ze maken hierbij een knakkend geluid. Eerder was dat nog af en toe, nu voortdurend in alle situaties. Zelfs als ik mijn mond sluit, drink of er met mijn tong langs ga.
Ik ben wederom naar mijn tandarts geweest. Ze heeft foto's gemaakt van links, rechts en voortanden. Er is niks te zien wat mogelijk de oorzaak kan zijn. Het ziet er allemaal prima uit.
Geen zichtbare ontstekingen, geen breukjes etc. Ik heb ook geen tandvleesontsteking, geen paradontitis etc. Ik heb een verzorgd gebit. Ga 3 keer per jaar naar de mondhygiëniste en zo'n vier keer per jaar naar de tandarts.
Volgens haar blijven er over stress en Diabetes. Daar komt ze ook steeds op terug, op die Diabetes. Nu weet ik goed dat gebitsproblemen daar vaker voorkomen, maar het is onwaarschijnlijk. Ik heb die ontstekingen niet en het verdwijnen van steunweefsel, wat voorkomend is bij Diabetes lijkt ook niet aan de hand te zijn.
Ik heb geen vaatschade en geen slechte doorbloeding. Ik heb eerder een onderzoek naar de conditie van de vaten gehad in het ziekenhuis. Mijn ziekte is stabiel en ik heb dit nog maar kort. De internist vindt het ook onwaarschijnlijk.
Hierbij zijn mijn tanden heel gevoelig. De beweging is zichtbaar en ook door de tandarts geconstateerd.
Ik merk dat ik een soort wanhoop begin te voelen. Niks te vinden, geen oorzaken te zien.
Kunnen jullie mij nog iets aanraden of misschien een idee waar mijn tandarts en ik verder op kunnen zoeken?
In november '19 had ik opeens last van 4 losse ondertanden. Niet zo los dat ze gespalkt moeten worden, maar zeker wel beweeglijk.
Ik heb hier een bitje voor gekregen, ervan uitgaande dat het veroorzaakt wordt door kaakklemmen. Het advies was om het wat tijd te geven en het bitje te gebruiken.
Ik klem niet met mijn kaken en er is ook geen indicatie voor dat ik dat 's nachts doe. In december dus opnieuw geweest, dit besproken en omdat het bitje druk/pijn bleef geven aangeraden het toch niet te dragen.
In januari zaten de vier ondertanden weer een stukje meer vast, zeker minder beweeglijk dan eerder.
In februari heb ik hetzelfde, maar nu met mijn twee boventanden (voor). Ze maken hierbij een knakkend geluid. Eerder was dat nog af en toe, nu voortdurend in alle situaties. Zelfs als ik mijn mond sluit, drink of er met mijn tong langs ga.
Ik ben wederom naar mijn tandarts geweest. Ze heeft foto's gemaakt van links, rechts en voortanden. Er is niks te zien wat mogelijk de oorzaak kan zijn. Het ziet er allemaal prima uit.
Geen zichtbare ontstekingen, geen breukjes etc. Ik heb ook geen tandvleesontsteking, geen paradontitis etc. Ik heb een verzorgd gebit. Ga 3 keer per jaar naar de mondhygiëniste en zo'n vier keer per jaar naar de tandarts.
Volgens haar blijven er over stress en Diabetes. Daar komt ze ook steeds op terug, op die Diabetes. Nu weet ik goed dat gebitsproblemen daar vaker voorkomen, maar het is onwaarschijnlijk. Ik heb die ontstekingen niet en het verdwijnen van steunweefsel, wat voorkomend is bij Diabetes lijkt ook niet aan de hand te zijn.
Ik heb geen vaatschade en geen slechte doorbloeding. Ik heb eerder een onderzoek naar de conditie van de vaten gehad in het ziekenhuis. Mijn ziekte is stabiel en ik heb dit nog maar kort. De internist vindt het ook onwaarschijnlijk.
Hierbij zijn mijn tanden heel gevoelig. De beweging is zichtbaar en ook door de tandarts geconstateerd.
Ik merk dat ik een soort wanhoop begin te voelen. Niks te vinden, geen oorzaken te zien.
Kunnen jullie mij nog iets aanraden of misschien een idee waar mijn tandarts en ik verder op kunnen zoeken?
Heeft iemand advies voor mij
Als antwoord op Heeft iemand advies voor mij door Nath.
Heeft iemand advies voor mij
Ik ben er niet bekend mee, maar zou je met je tandarts kunnen overleggen of een andere arts een keer mee kan kijken? Het lijkt mij niet zo heel gek dat een 'vers paar ogen' even mee kijkt. Misschien kijkt die er net anders naar. En dat is helemaal niet om je tandarts mee te passeren. Dat is voor de beste zorg voor jou!
Dus je tanden zijn bewegelijk
Als antwoord op Dus je tanden zijn bewegelijk door Lieneke
Dankjewel voor de reactie.
Ja, ze zijn beweeglijk en maken een knakkend geluid, ook hoorbaar voor anderen. Ik heb de foto's opgevraagd en hoop deze zo snel mogelijk te kunnen plaatsen.
Er zijn geen ontstekingen door de tandarts gezien.
Ik ben nog niet zo lang diabeet. De tandarts geeft aan dat mondproblemen bij diabetes vooral voorkomen bij mensen die dit al veel langer hebben en onstabiel zijn.
Dat ben ik niet. Ik heb het sinds twee jaar en heb stabiele waardes.
Voor het kaakklemmen is geen indicatie. Tevens raken alleen mijn kiezen elkaar. Ik heb een overbeet waarbij mijn ondertanden en boventanden (voor) elkaar niet raken en dat zijn de loszittende tanden.
Ik heb hier een tijdje meegelezen en alles wat ik hier zag voorgelegd aan haar; mogelijke breuk in tand/wortel, een nog niet goed zichtbare wortelpuntontsteking, terugtrekkend kaakbot etc en er is van niks van dit sprake geeft ze aan.
Als antwoord op Dankjewel voor de reactie. door Nath.
Dankjewel voor de reactie.
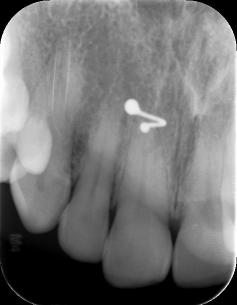
Dit zijn de foto's die ik heb
Als antwoord op Dit zijn de foto's die ik heb door Nath.
Dit zijn de foto's die ik heb
Je hebt wel een overbelasting en de wortels zijn wat kort.
Heb je een beugel gehad? Lijkt alsof er toch teveel krachten op je voortanden komen.
Als antwoord op Dit zijn de foto's die ik heb door Lieneke
Dit zijn de foto's die ik heb
Ja ik heb een piercing, maar die zit in mijn neus en niet in mijn mond.
Ik heb vroeger als kind een beugel gehad. Eerst een plaatje met een draadje en daarna een slotjesbeugel, maar alles staat al jaren weer hetzelfde als daarvoor. Ik ben nu 36. De beugel is 20 jaar geleden.
Hoe is de overbelasting zichtbaar en hoe kan dat mogelijk ontstaan? Ik ben wel het bitje weer gaan dragen in de nacht.
Ik voel een bepaald soort druk op mijn tanden, spanning zeg maar.
Als antwoord op Dit zijn de foto's die ik heb door Nath.
Dit zijn de foto's die ik heb
Je tanden kunnen inderdaad weer aan de wandel gaan na het beugelen en toch weer gaan storen in de articulatie/occlusie (dus manier van dichtbijten, schuiven enz) en dus toch overbelast raken. De overbelasting is zichtbaar als een 'verbrede parodontaal spleet' tussen je tanden en je bot. Verder zie ik toch wel een beetje botverlies, met name bij een kies waarvan de vulling overstaat. Hier blijft te veel plak en voedsel hangen. Ik zou toch eens een second opinion aanvragen bij iemand die wat meer verstand heeft van de belasting. Misschien eens terug naar de orthodontist?
Als antwoord op Dit zijn de foto's die ik heb door Lieneke
Dit zijn de foto's die ik heb
Betreft dat de kies naast de kies met wortelkanaalbehandeling op de onderste foto?
Ik had de beugel voor korte tijd op mijn 16e. Een jaar daarna was alles al weer terug gegroeid. De orthodontist van toen is er helaas niet meer.
Begrijp ik goed dat zij wel specialist zijn op het gebied van belasting?
In september vorig jaar zijn er twee vullingen linksboven vervangen. Daar heb ik maanden pijn aan gehad en gebit paste niet meer goed op elkaar. Ook de tegenovergestelde kies aan de onderkant ging pijn doen en het voelde te hoog. Sindsdien zijn een aantal problemen ontstaan. Of dit oorzakelijk is weet ik niet.
Ik hoop dat hier nog wat aan te doen is. Mijn hele gebit kraakt en "knapt" en voelt los aan. Ik word er angstig van. Het zou me niet verbazen als ik toch meer klem dan ik denk.