Linea alba

Author:
pino43
Posted:
vr, 04/03/2015 - 03:50
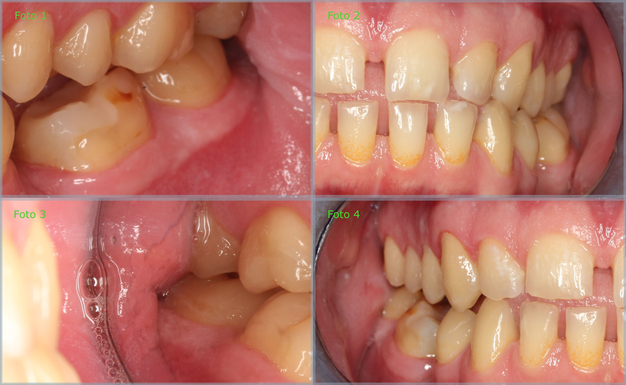
Hallo, ik ben benieuwd of er op deze foto enige evidentie te vinden is voor "linea alba in de wang" of "wangbijten". Dit i.v.m. diagnostiek bij mij die ik ter discussie stel. Als ik foto's opzoek van "linea alba" kom ik zaken tegen die ik hier niet zie, maar het kan zijn dat daar de meer extremere gevallen te vinden zijn. Foto's zijn van mijn gebit, gemaakt met een lichtfotocamera.
Attach
pino43

Er zijn wat kleurverschillen maar ik denk niet dat het tandvlees (ernstig) ontstoken is zelf, het zou dan ook juist roder moeten zijn rond de tandhalzen normaal gesproken? Ik denk dat het te maken heeft met het fototoestel, in de spiegel zie je die kleurverschillen niet. Ik heb ook nooit bloedingen. Ben specifiek op zoek naar evidentie voor een "linea alba".
vr, 04/03/2015 - 22:57 Permalink
Chris888

Op de 1e foto zie je iets van een wit lijntje, waarvan ik denk dat heel veel mensen dat hebben. Maar zoals gezegd, om het goed te kunnen zien moet je binnenkant wang fotograferen, niet je gebit.
zo, 04/05/2015 - 10:14 Permalink
pino43

Ja die zie ik ook, alleen vraag ik mij af of zelf niet iedereen dat heeft en het meer te maken heeft met de doorbloeding op die plek in combinatie met het lichtfototoestel. Een "linea alba" diagnostisch gezien zie ik op bijgevoegde plaatje en dat zie ik zelf niet op de foto's.

http://www.tandarts.nl/public/old/mondafwijkingen/lineaalba.jpg
ma, 04/06/2015 - 17:46 Permalink