Besten,
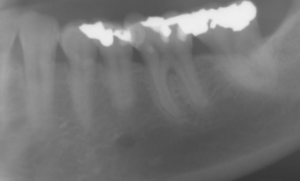
Ik voeg hierbij fotootje van het kwadrant linksonder vd OPK.
Wegens blijvend zeer sterk geurtje ben ik op zoek naar de oorzaak en ik heb hier zeer veel over ontstekingen en botafbraak ed gelezen.
Wat is jullie opinie over de voorlaatste tand: ik zie daar ineens een donker vlekje .... kan dat een glitch zijn of zijn jullie eerder zeker overtuigd van een furcatie?
Zoja, krijg je dat nog weg of eenmaal furcatie altijd furcatie?
Ik zou jullie opinie erg appreciëren.
Met vriendelijke groeten
Ik voeg hierbij fotootje van het kwadrant linksonder vd OPK.
Wegens blijvend zeer sterk geurtje ben ik op zoek naar de oorzaak en ik heb hier zeer veel over ontstekingen en botafbraak ed gelezen.
Wat is jullie opinie over de voorlaatste tand: ik zie daar ineens een donker vlekje .... kan dat een glitch zijn of zijn jullie eerder zeker overtuigd van een furcatie?
Zoja, krijg je dat nog weg of eenmaal furcatie altijd furcatie?
Ik zou jullie opinie erg appreciëren.
Met vriendelijke groeten
sorry, maar van alleen een
Als antwoord op sorry, maar van alleen een door vV
sorry, maar van alleen een
Maar ik begrijp dus dat het niet een sterk vermoeden is van furcatie, maar er minder erge of ergere :-) opties zijn.
Tijdens controle is bij tandarts korte tijd terug niets opgevallen. Ik heb ook geen pijn bij koude, warmte,... gemerkt.
Het gestink is er echter ELKE keer als ik de waterpik gebruik en soms ook plots vieze smaak als ik bv. kauwgom of andere dingen kauw.
Flossen en ragen doe ik daar nu nochtans zeer getrouw.
Ik hoop maar voor mijn medemens niet al te sterk gestink, ik beeld me nu constant in dat ik vreselijk uit mond riek (aangezien je het zelf niet goed merkt).
Eind november kan ik opnieuw naar de tandarts. Hopelijk wil hij verder onderzoek doen.
Dankjewel vV
Als antwoord op sorry, maar van alleen een door edie
sorry, maar van alleen een
Als antwoord op sorry, maar van alleen een door Lieneke
sorry, maar van alleen een
Het is inderdaad de 36 die ik bedoel (ik heb geen wijsheidstanden). Ik vind het tandbot daar precies erg laag? en zie dat donkere vlekje.
Helaas hebben we geen mondhygiënisten in België!
Als de tandarts eind november niets vindt, overweeg ik daarom zelf consult bij een paradontoloog aan te vragen.
Of is het heel dringend en kan ik beter het land afbellen? Of even de grens oversteken :-) ?
Ik poets en rager en flos daar als zot, maar de geur/smaakje blijft.
Natuurlijk ben ik ongerust, want ik lees dat je van een furcatieprobleem nooit niet meer afraakt. In elk geval wil ik niet dat er nog meer furcaties komen.
Groetjes,
Als antwoord op sorry, maar van alleen een door edie
sorry, maar van alleen een
Als antwoord op sorry, maar van alleen een door vV
sorry, maar van alleen een
Als antwoord op sorry, maar van alleen een door Lieneke
sorry, maar van alleen een
Het is dat ik er wat wanhopig van word en nog moet wachten op volgend tandartsbezoek, dat ik het zelf begin te analyseren en een vervelende patiënt word ;-).
Zo'n geur moet toch van ernstig probleem komen, lijkt me.
Zo direct was er dus niets te zien volgens tandarts, maar zou tijdens volgende afspraak oude vulling wat kunnen weghalen als ik het goed begreep.
Dan zal die hopelijk de oorzaak vinden, ik heb natuurlijk liever een ernstig probleem met oplossing dan een niet ernstig probleem met eeuwige stinkgeur.
Dat van die vitaliteitstest zal ik zeker vragen!
Dank en groetjes,
.