Hallo,
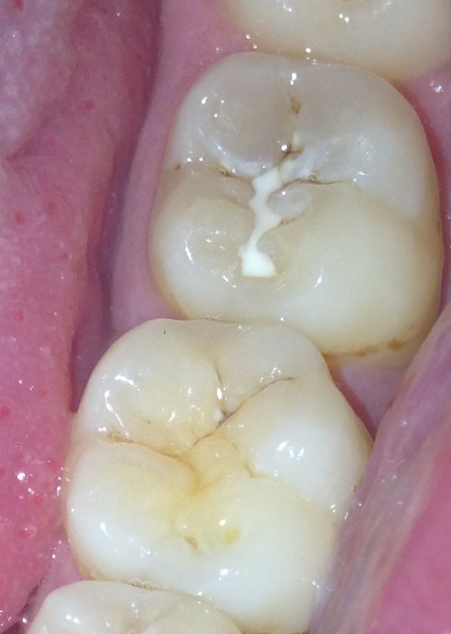
Twee weken geleden ben ik naar de tandarts geweest voor een controle. Mijns inziens zaten er in 2 kiezen gaatjes op de kauwvlakken.
De tandarts echter ontkent dat, maar hij was zo snel klaar dat ik denk dat hij het over het hoofd heeft gezien en ik voel me er niet helemaal gerust over.
Bijgaand heb ik een foto van de desbetreffende kiezen, wat is jullie mening daarover? een gaatje ofniet?
Alvast hartelijk bedankt.
Twee weken geleden ben ik naar de tandarts geweest voor een controle. Mijns inziens zaten er in 2 kiezen gaatjes op de kauwvlakken.
De tandarts echter ontkent dat, maar hij was zo snel klaar dat ik denk dat hij het over het hoofd heeft gezien en ik voel me er niet helemaal gerust over.
Bijgaand heb ik een foto van de desbetreffende kiezen, wat is jullie mening daarover? een gaatje ofniet?
Alvast hartelijk bedankt.
Re: Bezoek tandarts gaatje?
Wat je ook moet doen is er specifiek om vragen. Zeggen dat je het idee hebt dat dit een gaatje is omdat het zwart is en dan zal jij je uitleggen waarom wel of niet. Ga desnoods nog terug om het nog eens te laten bekijken.