Parodontitis en botverlies

Author:
fleur1
Posted:
za, 12/17/2022 - 11:54
Goedendag,

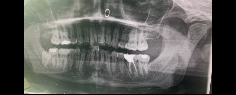
Ik had even een vraagje. Ik ben van de week naar de kaakcirurg geweest en ze hebben een ontsteking in m'n kies gevonden. Nu las ik in het verslag dat dat parodontitis apicalis heet. Ik heb dat gegoogeld en gelezen dat je dan al je tanden kan kwijtraken. Ik ben best wel in paniek en kan pas in januari naar de tandarts vanwege de kosten. En is een foto gemaakt bij de kaakchirug zouden jullie alsjeblieft willen kijken of ik in meerdere tanden parodontitis of botverlies heb? Alvast bedankt.

Fleur
Attach
Tandarts_Richa…

Parodontitis Apicalis ( apicaal..wortelpunt.) Weet niet waar u gelezen heeft dat u AL uw tanden kunt kwijtraken niet met een parodontitis apicalis wel met parodontitis.. Gezien de foto zou ik mij daar geen zorgen om maken. Ik weet niet of deze kies al door een endodontoloog is her behandeld??. Daar zou ik voor opteren boven een apex resectie wat een KC doet. Dat kan altijd nog indien een herbehandeling zou mislukken.
zo, 12/18/2022 - 14:20 Permalink