Wortelbreuk (trekken?)

Author:
Peter uit Hoek
Posted:
ma, 10/23/2023 - 13:52
Goedemiddag,

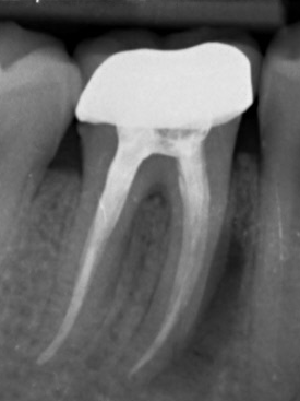
Ik heb ongeveer twee weken last van ontstoken tandvlees. Ik ben hiervoor naar de tandarts geweest. Foto laten maken. Ter informatie: waar de ontsteking zit, is ooit een wortelkanaalbehandeling uitgevoerd. Conclusie van de tandarts:

Op de foto zie je duidelijk de ontsteking. Buccaal bevindt zich een pocket/ fistel van 10 mm en linguaal bevindt zich een fistel. Op de foto lijkt het erop (zie bijlage) dat ze een breuk ziet ion het apicale 1/3 deel van de mesiale wortel.

Ik word nu doorverwezen, maar kans is zeer groot dat de kies getrokken moet worden. Daar zit ik zelf totaal niet op te wachten. Ik heb eerder een wortelbreuk gehad (ook waar wortelkanaalbehandeling is uitgevoerd). Destijds had ik echt heel veel pijn aan die wortel. Dit keer heb ik alleen irritatie van het tandvlees, maar geen pijn. Ik kan gewoon eten, drinken, het tandvlees poetsen etc.

Is het noodzakelijk om de kies te trekken?
Is een gedeeltelijke wortelamputatie nog een mogelijkheid?
Attach
Tandarts_Richa…

Dit lijkt idd op een wortel fractuur. Als lokaal ( op een plek) 10mm een pocket zit zeker. Een hemisectie (verwijdering v voorste wortel) lijkt, indien goed uitgevoerd, een prima oplossing. Anders hele kies verwijderen en een implantaat ( omdat buur elementen op deze foto niet gevuld lijken) of als meerdere kiezen afwezig zijn een frame prothese Anders daar ook implantaten of ander vaste constructie afhankelijk v wat u er voor over heeft/kunt uitgeven.
ma, 10/23/2023 - 17:46 Permalink
Peter uit Hoek

Als antwoord op door Tandarts_Richa…

Dank voor je reactie, en expertise.
Helaas niet geheel het gewenste antwoord, aangezien ik zeer zuinig ben op mijn gebit. Nog nooit een gaatje gehad.
Ik heb helaas vier kronen omdat op deze vier kiezen nooit een glazuurbescherming heeft gezeten.

Als ik jou goed begrijp lijkt het mogelijk om enkel (een deel van) één wortel te verwijderen, wat zou betekenen dat de kies kan blijven zitten, en mogelijk nog rest van mijn leven mee gaat?

Als ik besluit om niets te doen, met als gevolg dat de ontsteking niet weggaat, heeft dat nog risico's? Ik heb namelijk nauwelijks hinder van de ontsteking.
ma, 10/23/2023 - 18:20 Permalink
Peter uit Hoek

Als antwoord op door Tandarts_Richa…

Aanvullend op mijn voorgaande reactie:

Hoe lang duurt zo behandeling ongeveer, het uitvoeren van een hemisectie?
Heb je enig idee hoe groot de kans is dat de kies alsnog getrokken moet worden, omdat de 'gezonde' wortel ook uiteindelijk beschadigd?

Ik lees namelijk best veel slechte ervaringen over een hemisectie.
ma, 10/23/2023 - 18:31 Permalink
Tandarts_Richa…

niets doen is voor mij geen optie. Een tikkende tijdbom. Ontploft op de verkeerde moment. Een goed behandelde kies dmv hemisectie kan met goede verzorging heel lang meegaan. Heb een client waar ik 35 jaar geleden dat heb uitgevoerd...kies is er nog steeds en zonder problemen. uitmuntende verzorging. Maar heb ook bij anderen eerder moeten verwijderen. Maar wie niet waagt wie niet wint. Ik ben snel en als het makkelijk gaat 30 min. Maar kan ook langer duren. Hangt v behandelaar af. En idd kan ook mis gaan. Nooit geschoten nooit raak trekken kan altijd. En anders een implantaat als u zich dat kunt veroorloven.
ma, 10/23/2023 - 22:47 Permalink
Peter uit Hoek

Als antwoord op door Tandarts_Richa…

Helaas bleek de wortelbreuk vanaf de wortel tot aan de kies te lopen. Waardoor de enige oplossing was om de kies te trekken, dat is zojuist gebeurd. Kies werd doormidden gezaagd, en in twee keer getrokken. Eind februari start de behandeling voor een implantaat.
ma, 11/06/2023 - 14:27 Permalink
Peter uit Hoek

Bedankt!

Voordat de tandarts gisteren ging hechten, heeft hij kunstbot verwerkt in het gat.

Nu zo 30 uur later heb ik af en toe witte korrels in mijn mond en bij de getrokken kies zie ik nu ook dat witte naar de oppervlakte komen. Kan dat kloppen?
di, 11/07/2023 - 19:20 Permalink