Speekselsteen of toch kies

Author:
Konijnentandje
Posted:
vr, 02/03/2023 - 21:30
Na tien jaar geen last te hebben gehad kreeg ik zomaar ineens pijn aan mijn tanden op drie plekken tegelijk. Op naar de tandarts. Volledige radiografie gemaakt. Nu heb ik op een pijnlijke plek (achter rechtsboven) een brug van cerec (nog heel gevoelig maar komt ongetwijfeld goed, volledig pijnloos aangebracht) en volgende week krijg ik linksachter een kroon. Daar had ik pijn, alhoewel pijn niet het goede woord is, meer een vervelende druk maar soms toch te erg zodat ik toch een pijnstiller nam. In die kies heeft een wortelbehandeling plaatsgevonden, twintig jaar geleden en de tandarts zei dat het er nog goed uitziet maar een nieuwe kroon is geen luxe want de kroon bedekt het tandbeen niet. Ga ik volgende week laten doen. Maar op de derde plek, een na laatste linksonder blijft de pijn voort duren. Zowel de Spaanse tandarts (ik woon in spanje) als de Duitse tandarts waar ik naartoe ging voor een second opinion, maakten een foto en zeiden: er is niks te zien, de wortels zijn goed en levend. De kies staat wel schuin en drukt een beetje tegen een andere kies aan. De pijn komt en gaat. Geen koude of warmte pijn maar kiespijn. Duurt een paar minuten en verdwijnt dan weer. De Duitse tandarts zei: ‘Ik kan het alleen zeker weten als ik de vulling er uit boor maar dat is een beetje onzin. Gewoon afwachten. De Spaanse tandarts heeft er wat van afgeslepen vanwege druk met de bovenste kiezen. Er zat inderdaad veel vulling in, dat vond de Duitse tandarts ook. Ik ben geen tandenklemmer. Ik wacht het af maar wat zou het kunnen zijn? Ik lijk wel een speekselsteen te hebben in beide wangen op precies dezelfde plek. Moet ik naar de kaakchirurg of gewoon afwachten?
Tandarts_Richa…

Hoe bedoelt u "Ik lijk wel een speekselsteen te hebben in beide wangen op precies dezelfde plek. ". Is dat geconstateerd?. Verder zou ik de foto's moeten beoordelen om hier iets zinnigs op te antwoorden. Hoe lang geleden is de brug geplaatst... Kan het zijn dat de hoogte een verandering v druk heeft gegeven aan de linker zijde....zou dus ook in de mond moeten beoordelen.
za, 02/04/2023 - 10:29 Permalink
Konijnentandje

Hartelijk dank voor uw snelle reactie. Ik heb rechts in mijn wang een bobbeltje maar dat zit er al jaren. Vorig jaar begon het aan de rechterkant pijn te doen en mijn oude tandarts zei: het kan een verstopte speekselklier zijn, voorzichtig palperen. De pijn is soms (pijn is een groot woord, zeurderig) weg, het bobbeltje niet maar toch af en toe heb ik last beneden én boven, rechtsachter, de laatste kiezen. Onderzit een brug (ruim 20 jaar oud) en daaronder een volledige WK en op de foto’s ziet het er goed uit. Rechtsboven achter had ik ook last en daar heeft de nieuwe Duitse tandarts vorige week een brug gemaakt. Die lijkt goed te passen en pijn heb ik niet meer, althans boven niet. Beneden zeurt het af en toe door. Linksachter, zowel boven als beneden heb ik ook een vervelend drukkend gevoel en dinsdag wordt rechtsboven een oude kroon vervangen (ruim twintig jaar oud) die niet meer goed aansluit. Op de nieuwe foto’s ziet het er goed uit. Was ook een WK. Maar linksonder achterin zit de meeste pijn, die komt en gaat, en daar zit nu ook een bobbeltje in de wang. De Duitze tandarts vind niks en zegt afwachten, wat prima is. Behalve dat die pijn komt en gaat. Moet ik naar een kaakchirurg of is dat onzin? Mijn oude tandarts is helaas met pensioen. Dank voor uw reactie
Attach
za, 02/04/2023 - 11:02 Permalink
Tandarts_Richa…

Als u eet ..indien het bultje dan groter wordt en later afneemt kan het dan gaan over een verstopte speekselklier uitgang. Verergert dan de pijn??. zou het door de KC laten beoordelen. Voor de rest kan ik helaas zonder meer informatie ( x-foto, onderzoek) niet veel vertellen.
za, 02/04/2023 - 12:28 Permalink
Konijnentandje

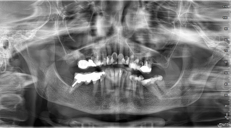
Goedemorgen, bij deze zoals beloofd een recente röntgen van mijn gebit, 2 februari 2023. Linksachter beneden heb ik af en toe kiespijn. De laatste kies is eind november 2022 opnieuw gevuld en mijn (nieuwe) nederlandse tandarts zei dat hij wel dieper had moeten boren dan hij vermoedde. Zonder verdoving gedaan en geen pijn. (V84 el.nr. 37 Meervlaksvulling glasionomeer/glascarbomeer/compomeer. Vlakken: MODB cariës naast restauratie) Nu dus pijn die komt en gaat maar wel kloppend gevoel in de onderkaak, bijna een maand. Neem soms een pijnstiller. Morgen heb ik een afspraak met mijn nieuwe Duitse tandarts die dus al een cerec brug heeft aangebracht rechtsboven achterin die hierop nog niet te zien is. Morgen zal hij achter linksboven laatste kies, een kroon vervangen maar ik denk dat ik hem beter naar die onderste kies kan laten kijken. Alhoewel hij vorige week niets raars zag: levende wortels, geen ontsteking te zien. Waar komt dat kloppen dan vandaan? Dank voor uw reactie.
Attach
ma, 02/06/2023 - 13:14 Permalink
Tandarts_Richa…

De laatste kies linksonder (verstandkies) heeft geen kies ertegenover in de boven kaak ...is dus overbodig. Zonder verdoving diep geboord en geen gevoel...mogelijk een dode zenuw anders zou het mogelijk bijv. koude gevoelig zijn. Bij behoud een wortelkanaal behandeling en gezien de grootte waarschijnlijk een kroon....en dat voor een kies dat geen functie heeft...Overwegen om te verwijderen. Jammer dat de curve v kauwvlak onregelmatig is ( komt door vroegtijdige verwijdering v d eerste kies links waardoor de tweede kies gekanteld is) Zou de curve herstellen alvorens boven een kroon te maken.. Het lijkt overigens alsof daar een brug is kan op deze foto niet zien of er wortels onder de 24/25 ( eerste en tweede kleine kies) zijn.
ma, 02/06/2023 - 13:30 Permalink
Tandarts_Richa…

Zou overigens zonder een herbehandeling v de laatste kies linksboven ( uw links) geen nieuw voorziening op maken. Tevens zou ik op basis v deze foto een extra foto v d 45/43/42 maken ...om uit te sluiten dat er geen ,zichtbare, ontsteking bij de wortelpunt is. Levende wortels kan je niet op een foto zien....
ma, 02/06/2023 - 13:39 Permalink
Konijnentandje

Inderdaad is de verstandkies al dertig jaar geleden verwijderd. Ik heb twee bruggen, eentje rechtsonder achterin en de nieuwe cerec brug rechtsboven achterin. Links onder dus die pijnlijke kies, welk nummer is dat dan? linksboven morgen een nieuwe kroon. Ik zou ook het liefst die pijnlijke kies laten verwijderen want heeft geen functie, hij is wel heel plat, is dat moeilijk trekken? Misschien wel het slimste om te doen toch? Gaan die twee kiezen die er naast zitten dan nog meer kantelen? Dank voor supersnelle reactie!
ma, 02/06/2023 - 13:44 Permalink
Tandarts_Richa…

Het lijkt of de 6 verwijderd is en dat de laatste kies linksonder de 38 is. Bij klachten zou ik verwijderen. De kiezen ervoor liggen tegen elkaar aan dus minder kans op verder kantelen. Met koude/warmte/boren idd te testen. Maar nogmaals ik zou op basis v deze foto ( geen kanaalvulling achterste buiten wortel, "oude" WKB) geen kroon plaatsen op de 26, en rekening houden met curve herstel.
ma, 02/06/2023 - 14:19 Permalink
Konijnentandje

Helder allemaal. Alleen is die 38 geen verstandskies dacht ik maar een gewone kies. Volgend mij zijn alle verstandskiezen getrokken. Of heet die laatste kies toch 38? Morgen om 8.30 lig ik in de stoel, oorspronkelijk voor die nieuwe kroon maar ik ga dus vragen of hij eerst de kies trekt 38 of 37 en wachten tot de curve zich herstelt. Ik heb gelukkig geen last van die "oude” WKB, wil nieuwe aansluitende kroon vanwege goed schoon te kunnen houden. Veel dank voor het advies, wordt vervolgd
ma, 02/06/2023 - 15:05 Permalink
Tandarts_Richa…

Neen die curve herstelt niet vanzelf. Of met vullingen, minder sterk...of met kronen.... of orthodontisch recht zetten. Gezien de stand v d eerste grote kies denk ik toch dat de 36 een keer getrokken is ( misschien toen u heeel jong was), kijk maar hoe ver de wortelpunten tov de 35 is, maar ik kan het mis hebben dat de achterste kies toch de 37 is ipv wat ik denk de 38. Durf er bijna om te wedden maar zal dat niet doen. Voorkomen v last daar gaat het om. Teveel denken pas bij last iets te moeten doen. Daar loop ik nu heel erg tegenaan in economisch mindere tijden. U gaat de remmen v uw auto toch ook niet pas vervangen nadat u tegen een boom bent gereden. Zou als u toch op de "oude" wkb een kroon wil laten zetten, wat ik niet verstandig vind gezien de investering, een kleine x-foto laten maken. Of er geen ontsteking( zwarting) te zien is bij de achterste buiten wortel (disto buccaal) en of dat niet eerst volledig gevuld moet worden volgens de huidige standaard( herbehandeling). Ik heb lang geleden, door de toenmalige materialen die wij hadden, een wkb ook zo geleverd. Ben hoe het afloopt.
ma, 02/06/2023 - 16:55 Permalink
Konijnentandje

U had er best een wijntje om kunnen verwedden want het was idd de 38 en de 36 is lang geleden verwijderd. De tandarts heeft op alle kiezen die er voor liggen geklopt maar daar voelde ik niks en bij de verstandskies een beetje maar het klopte vannacht flink in die kaak. Ik kreeg een verdoving en de kies was er in 5 seconden uit. Ging heel goed, ik ben 61 en ze zeggen dat het dan moeilijker gaat maar dat was bij mij dus niet. Moest een gaasje vastbijten tegen het bloeden en na een uur verwijderen en nu zijn we zeven uur verder en de verdoving begint langzaam weg te trekken. Heb een ibuprofen 400 genomen tegen eventuele pijn maar vooralsnog gaat het prima, een tikje beurs verder niks. Ik wacht dus nog even met die kroon links bovenin, als dat überhaupt nodig is. Boven de rand van de kroon die zwart is zie ik de kies het tandvlees ingaan. Is dat erg ivm bacteriën? Veel dank voor uw adviezen
di, 02/07/2023 - 16:50 Permalink
Konijnentandje

Vergeet nog te zeggen dat aan het einde van de wortel een ontsteking zat. Dus mooi dat hij eruit is. U zei eerder ook nog nav de OPT "Tevens zou ik op basis v deze foto een extra foto v d 45/43/42 maken ...om uit te sluiten dat er geen ,zichtbare, ontsteking bij de wortelpunt is." Dat betekent dus dat u op die foto niets ziet? Of wel een vermoeden heeft? Want ik heb rechtsonder af en toe een zeurend gevoel, maar dat is al een jaar en de tandarts ziet niks.
di, 02/07/2023 - 17:12 Permalink
Tandarts_Richa…

Dat betekent dat ik mogelijk iets zie maar zekerheid wil hebben vandaar een solo foto. Zwart heeft niet een "gaatje" te betekenen maar vaak wel. Uw tandvlees is waarschijnlijk terug getrokken waardoor de tandhals bloot komt te liggen. Het is niet altijd zo dat naarmate iemand ouder wordt het moeilijker trekken is, dat is per situatie anders.
di, 02/07/2023 - 22:33 Permalink
Konijnentandje

Goedemorgen, ik heb nog één vraag want ik hou natuurlijk alles nauwlettend in de gaten: Als ik mijn handen op mijn wangen leg, met de duim iets onder de kaak, voel ik aan beide kanten een ader kloppen, daar waar de kies is getrokken iets sterker, is dat normaal? Lopen daar aders? Ik snap dat ik nog wel enkele dagen pijn heb maar ik wil niet dat de verkeerde kies is getrokken en de ontsteking er nog zit. Het klopte daar de hele tijd al voordat ik de kies liet trekken. De wond lijkt goed te helen. Dank.
wo, 02/08/2023 - 04:15 Permalink
Konijnentandje

Ik heb morgen een afspraak met mijn tandarts om 1600. Hij zei dat de pijn dag 2 en 3 het ergst is maar ik mag langskomen om te checken. Het kloppen zit echt onder de kies 37 naast de gisteren getrokken verstandskies. Mocht hij een WKB moeten doen kan dat dan zo vlak na het trekken van de verstandskies? De wond heelt goed maar is natuurlijk nog niet stevig. Ik hoop dat het napijn is maar ik vrees een onsteking in de 37
wo, 02/08/2023 - 14:15 Permalink
Konijnentandje

Bij de tandarts geweest, die zei dat het hoogstwaarschijnlijk toch de getrokken kies is die uitstraalt. De wond zag er goed uit maar hij heeft er iets ingespoten en een gaasje ingestopt en morgenochtend moet ik terugkomen. Ik heb Augmentine antibiotica gekregen. Ik hoop zo dat het die getrokken kies is, neem sinds twee dagen elke vier uur ibuprofen en paracetamol, om en om, maar ik word wakker van de pijn als ik niet op tijd ben. Ik denk toch een ontsteking onder de 37 maar ik ben geen tandarts. Ik hoop maar dat het goed komt. Ik vertrouwen in de tandarts maar ik voel ik het heftig kloppen onder de 37. Afwachten maar weer.
do, 02/09/2023 - 12:04 Permalink
Konijnentandje

De wond van de getrokken verstandkies (38) is opnieuw uitgespoeld en doet het goed, vanochtend dus de kies ernaast de 37 een wortelkanaal gedaan, één wortel was ontstoken zoals ik al 3 weken dacht, een andere is ook gevuld en de derde kon hij niet vinden. Hij wilde niet te diep boren om niet het bot te raken. Bij te erge pijn morgenochtend meteen terugkomen en anders donderdag voor spoelen en de echte vulling. Het klopt nog wel steeds, precies hetzelfde als voorheen, is dat normaal? Is dat omdat de zenuwen tot rust moeten komen of zit de ontsteking dieper? Hoe weet je dat? Er is hier geen kaakchirurg, ik woon op een eiland. Dank voor advies en/of geruststelling
ma, 02/13/2023 - 14:10 Permalink
Konijnentandje

Is het zo dat er aders links en rechts onder je kaak lopen die je voelt kloppen, wat wellicht normaal is, maar harder kloppen als er een ontstoken kies is? Het is een dringende vraag want zorgen maken levert extra stress op en heeft geen gunstig effect op herstel. Ik waardeer het heel erg, al die aandacht op dit forum. Het helpt me enorm.
Attach
ma, 02/13/2023 - 17:21 Permalink
Tandarts_Richa…

Zenuw banen lopen samen met de bloedvaten.Dus bij ontsteking kan er meer druk zijn...dus meer voelen. Ik zeg altijd dat de eerste 3 dgn na initieel wkb klachten kunnen verergeren. Met pijnstillers onderdrukken. ...Hetzelfde na definitief afvullen. Als ik geen derde kanaal kan vinden stuur ik altijd door naar de endodontoloog wil geen risico nemen dat een kanaal over het hoofd gezien wordt omdat ik het niet kan vinden. . Maar dat komt omdat ik geen microscoop/loep heb. En het is altijd moeilijker als de kanalen al een keer definitief zijn afgesloten. X-foto is niet duidelijk genoeg maar denk dat er toch een derde kanaal aan de voorzijde is.
ma, 02/13/2023 - 18:05 Permalink
Konijnentandje

Goedenavond. Vandaag vervolg van de WKB in de 38. Gespoeld en gevijld zonder verdoving, niet pijnlijk. Met tikken wel gevoelig. Dus weer noodvulling en donderdag terugkomen. De tandarts ziet maar twee kanalen. Ziet u een derde op de nieuwe röntgen? Ook in de wond van de verstandskies zit een nieuw gaasje want nog wel gevoelig, geen alveolitis. Ik slik nauwelijks pijnstillers meer, sinds 2 dagen alleen nog antibiotica. Ook heb ik een 3D-scan laten maken om te kijken of ik verstopte holtes had, heb ik niet. Dus de druk die ik vaak voel op die ‘oude’ kroon linksboven (is dat de 18 of 17?) is niet te duiden. De tandarts zei dat ik lange wortels had. Ik heb twee vragen: ziet u iets raars op deze nieuwe foto, nu met getrokken verstandskies en 2e noodvulling in de 38? En kunt u een poging doen te verklaren waarom er soms zo’n druk op die ‘oude’ kroon staat? Veel dank voor uw tijd
do, 02/16/2023 - 20:09 Permalink
Tandarts_Richa…

U bedoelt wkb 37.Ik zie een "zwarting" aan de MB/DB wortels v d 26. Zou daarvoor overleg plegen met een endodontoloog of een herbehandeling kans v slagen heeft eventueel een Apex resectie indien herb niet mogelijk/zinvol is. Maar zou daar zo niet een nieuw kroon plaatsen. Die ontsteking kan dus voor druk zorgen. 18 is rechts. Oorbellen altijd uitdoen bij het maken v e OPT. Ben benieuwd welke twee kanalen zijn gevonden. Deze foto is niet geschikt voor een WKB. . Om te beoordelen zou ik een duidelijk "kleine lokaal" foto willen zien liefst met de naalden in de kanalen voor de lengte foto.. Mogelijk wordt of de tweede mesiale kanaal niet gevonden zijn of gezien de inclinatie v d kies mogelijk de distale ( soms 2) kanaal. Zou oppassen voor een perforatie v d zenuwkamer bodem, wordt dun maar wederom niet met deze foto goed te beoordelen. Goed met de microscoop beoordelen.
do, 02/16/2023 - 22:47 Permalink
Konijnentandje

Mijn verhaal is nog niet afgelopen helaas. Nadat mijn verstandskies (38 linker onderkaak) getrokken was (na ontsteking van twee weken nu eindelijk geheeld) was de kies ernaast (37) ook ontstoken. Ik heb nu in 3 weken vier keer een schoonmaakbeurt met spoeling gehad, er zijn twee kanalen gevonden, als de tandarts erop tikt voel ik het, niet super pijnlijk maar niet goed. Als ik met mijn vinger tegen het tandvlees onder die kies duw voel ik het kloppen, ook buiten in mijn kaak/kin. Dit is al vier weken hetzelfde, wordt niet erger maar zeker niet minder, ook niet na elke noodkanaalbehandeling. Volgende week moet ik terugkomen en als het niet beter is dan wil hij de kies trekken. Dat betekent dat ik twee kiezen kwijt ben 38 en 37 en de 36 is al lang geleden getrokken. Ik heb begrepen dat dat niet goed is voor het bot dat dan afsterft. Wat moet ik doen? Dank voor uw advies
di, 02/28/2023 - 12:48 Permalink
Konijnentandje

In plaats van een endontoloog (die hier niet is op het eiland) heb ik een nieuwe goede tandarts gevonden die de WKB (zie vorige berichten) in één keer heeft afgemaakt. Een behandeling van ruim een half uur, heel wat anders dan die 5 minuutjes van de vorige tandarts. Super gedaan en zelfs geen napijn. Verder is hij heel nauwkeurig, heeft van elke tand/kies een aparte foto gemaakt en alle pijn die ik had (op vier plekken tegelijk) opgelost. Het enige probleem dat nog resteert: ik heb een brug van van 25 jaar oud en de pijler in de achterste kies lijkt scheef te staan. Ik heb daar sinds 5 jaar af en toe een doffe pijn aan. Kan het zijn dat die pijler het bot (of iets anders irriteert) en is het de moeite waard de brug te vervangen? Is het te zien of er cariës onder zit? Dank voor uw reactie. Ik heb er veel aan.
Attach
zo, 03/19/2023 - 16:25 Permalink
Tandarts_Richa…

Met deze foto is niet te zien of er caries onder zit. Als het 25 jr zo schuin is geweest hoeft dat verder geen probleem te geven. Ook hier dan een solo foto voor nodig en pocket registratie om uit te sluiten dat er een fractuur ( breuk) v d wortel is. Indien niet nodig waarom vervangen...eerst beoordelen. Op de foto mogelijk ontsteking (zwarting)dist/ bucc wortel 26 en 43. Bedoelt u de brg Rechts boven of onder. RB...is de wkb niet volgens huidige, wel v toen, standaard. Herbehandelen als dat de plek is waar u wat voelt. Dit is wel de oude foto...ouder dan wat u hiervoor geplaatst heeft.
ma, 03/20/2023 - 00:10 Permalink
Konijnentandje

Beste tandarts Richard, 20 dagen geleden is, zoals eerder gezegd, bij een nieuwe tandarts in Spanje de wkb in kies 37 afgemaakt. Ik ben nu in Nederland en af en toe heb ik een soort flare up. Ik zou het geen zenuwpijn willen noemen. Gisteren ben ik naar spoed dental gegaan om te checken. Zij hebben deze foto gemaakt en koude tests en tikken gedaan, die geen reactie opleverde. Ook de twee kiezen ernaast zijn ongevoelig. Of dat goed is weet ik niet. Deze tandarts vond dat de wkb kundig is uitgevoerd en vermoedt een bacteriële flare up waarvoor hij mij AB heeft gegeven. Ziet u nog iets raars? Veel dank weer voor uw tijd.
Attach
di, 04/04/2023 - 09:45 Permalink
Tandarts_Richa…

Op foto ziet het netjes uit.... Maar hoe veel kanalen zijn gedicht???. Heeft een tandarts, met microscoop dat gedaan of een endodontoloog. 20 dgn is nog tekort om echte conclusies te trekken. Ook te kort om de afwijking aan de wortelpunt geheel te laten verdwijnen op een x-foto.
di, 04/04/2023 - 15:26 Permalink
Konijnentandje

Beste Tandarts Richard, ik stuurde deze foto al eerder. (met alle andere probleemkiezen gaat het goed na behandeling bij nieuwe tandarts, blij mee.) Mijn kies (nr 47) heeft al vijfentwintig jaar geleden een wortelkanaalbehandeling heeft gehad, en daar zit een brug overheen met een dummy. Al vier jaar lang heb ik daar af en toe pijn - pijn is een groot woord - Drie tandartsen door de jaren heen hebben daar een foto van gemaakt en zien niks. Hartstikke dood. Als er cariës onder zit kan dat dan de pijn veroorzaken? Dat kan toch niet als de zenuwen dood zijn? Ik heb er weer veel last van. Hoe weet ik nou of het een speekselsteen is (ik heb niet alleen voor en na het eten last, wel een bobbel in de kaak) of dat die brug eruit moet? Ik vraag het zodat ik weet of ik de tandarts moet lastigvallen of de KNO-arts voor het verwijderen van een mogelijke speekselsteen Dank voor advies.
Attach
do, 06/01/2023 - 15:15 Permalink
Tandarts_Richa…

Voor advies omtrent een speekselsteen zou ik u verwijzen naar de kaakchirurg. Lijkt het of een vulling is gemaakt aan de achterkant v d 47 onder de kroon?.Of is dat een breuk lijn??. Zou een kleine x-foto v dat gebied maken eventueel advies v e endodontoloog. De 47 is wat naar voren gekanteld. Bij verticale druk op de brug zou dat een extra kantel druk geven wat gevoelig kan zijn.
vr, 06/02/2023 - 00:04 Permalink
Konijnentandje

Een korte update na proefperiode met bitje. Bijna al mijn klachten zijn verholpen. Ik kreeg eerst drie maanden een ‘zacht’ bitje onder tegen knarsen en nu heb ik een harde van kunststof boven. De kaakpijn is verminderd wat fantastisch is. Soms geeft dit bitje wat druk op de onderkant waardoor het lijkt of ik kiespijn krijg (ik ben natuurlijk super alert op nieuwe ontstekingen vanwege de ellende op vier plekken afgelopen februari: 5 x WKB in zelfde kies, twee nieuwe bruggen, een een oude brug die ineens klachten gaf) De tandarts slijpt het bij, checkt mijn kaken, en alles gaat goed. Soms heb ik pijn in mijn kin, linksonder, maar er zijn foto’s gemaakt van de 35, 34 en 33 en in de hoektand zit een oude WKB die niet helemaal tot de wortelpunt gaat. Maar op de foto’s alles oké, geen zwartingen.

Voorwaarts maar weer, ik heb goede hoop dat er een einde is gekomen aan deze ongelofelijk ellende. Mijn vorige tandarts was van de school dat je pas boort en behandelt als het echt moet. Ik was heel tevreden met hem (nu met pensioen) maar misschien is hier en daar toch wat achterstallig onderhoud - en de leeftijd, ik ben 62 - toch de reden dat ik in één keer op vier plekken tegelijk verging van de pijn. Eind goed al goed, dankzij mijn nieuwe Spaanse tandarts en uw advies, tandarts Richard, bij tegenvallers doe ik weer verslag. Laten we hopen dat dat niet hoeft..
wo, 08/23/2023 - 13:16 Permalink
Konijnentandje

Beste tandarts Richard, ik heb nog een vraag: die oude brug rechtsonder (zie eerdere foto 48, 47, 46) Die achterste kies is soms pijnlijk, (al 4 jaar) en dan weer weken niet. Misschien is het die pin die scheef staat die steekt in het bot, misschien zit er cariës onder die kroon. Wat zou u doen? Hoe kun je die achterste kies (wortels zijn morsdood) behandelen/openboren zonder dat de hele brug zijn functie verliest?
Of moet de hele brug eruit en een nieuwe? Hij is 25 jaar oud. Ik wil geen implantaten. Zijn er meerdere oplossingen? Ik wil dat graag weten voordat ik met mijn tandarts ga praten. Hartelijk dank voor uw aandacht
do, 10/05/2023 - 11:02 Permalink
Tandarts_Richa…

De pin lijkt , op de foto, in het zenuw kanaal te zitten. Dus niet in het bot. Op zich, op foto, geen ontsteking. Maar mogelijk toch een breuk v d wortel. Kan ik zo niet beoordelen. Als er iets mis is met de achterste kies zou ik dat niet meer voor een nieuw brug gebruiken. Ik zie iets onder de kroon aan de achterkant. Weet niet of daar ooit een vulling tegen aan gemaakt is. Zou moeten voelen of er caries onder zit. De brug kan mogelijk afgetikt worden om eronder beter te beoordelen. Maar risico dat het een en ander breekt door het af tikken. Als de achterste deel v d brug verloren raakt kunt u overgaan naar een uitneembare frame prothese. Is minder lekker dan implantaten. Implantaten tegenwoordig tussen 95-98% kans op slagen. Maar een operatieve ingreep en kostbaar. Indien mijn mond zou ik daarvoor kiezen. Maar ik hoef mijn collega niet te betalen. Als u geen kroon op de kies links onder laat maken zou een uitneembare frame een goede oplossing zijn....maar wel uitneembaar en ik zou dan de achterste kies links rekening mee houden dat u het een keer kwijt raakt. Levend hout is buigbaar dood houdt breekt bij buigen. Een "dode" wkb behandelde kies wordt broos en kan ook breken vandaar advies kroon.
do, 10/05/2023 - 18:47 Permalink
Konijnentandje

Kijk, wat een snelle reactie weer. Veel dank, heb ik veel aan. Ik ga zeker een kroon op die recente wkb zetten. De tandarts wou het nog even aanzien of de zenuw niet meer opspeelde maar het voelt fantastisch en hij checkt het elke maand even (gratis, nazorg noemen ze dat hier) Als die brug rechtsonder niet te gevoelig wordt laat ik het even zo en nu weet ik ook wat ik kan verwachten. fingers crossed. Veel dank nogmaals
vr, 10/06/2023 - 16:39 Permalink
Tandarts_Richa…

Als uw tandarts niets kan vinden en u heeft er niet te veel last van zou ik ook laten zitten. Maar wel met de wetenschap dat de achterste pijler wellicht verloren is. Regelmatig wel controleren. Verder minimaal 6-12 mnd wachten dan pas kroon indien geen klachten en geen afwijking op x-foto.
za, 10/07/2023 - 00:37 Permalink