Goedemorgen,
Ik heb begin dit jaar (feb-mei) zeker wel bijna al mijn kiezen en tanden gevult, 2 kiezen laten trekken en één wortelkanaalbehandeling. De wkb'de kies voelt na een maand alsnog gevoelig bij druk tijdens het kauwen, het doet niet echt pijn maar ik voel het wel de drukte en beetje bij koud water drinken. Het was echt een belachelijke bedrag rond de 1750!! Ik betaal dat nu in termijnen, voor elke rekening een aparte regeling want ik kan niet alles in één keer betalen. Wat nu dus blijkt is dat ik toch weer in al mijn kiezen en tanden opnieuw moet gaan vullen, wat dus betekent opnieuw dat belachelijke bedrag.
Ik heb angst voor de tandarts, zit altijd te trillen als een gek in de behandelkamer en stoel en ga bijna net niet janken van de buikkrampen als ik in de praktijk ben. Ik heb altijd al een slecht gebit gehad, sinds klein kind al. Ik maakt me echt ziek om te zien hoe alles in mijn gebit na 5 maanden weer er zo slecht uitziet, letterlijk in elk tand en kies een gat. Het maakt me financieel helemaal kapot en mentaal moe, ik weet niet meer wat ik moet doen. Ik kan dit hoge bedrag niet elke keer om de 5 maanden betalen, dat kan gewoon niet.
Ik ben pas 23 jaar, en heb zoveel problemen met mijn gebit en gaatjes dat ik serieus een kunstgebit zit te overwegen volgend jaar. Gewoon eruit met al die gaatjes en tanden/kiezen en een kunstgebit. De wortelkanaalbehandeling heeft mijn angst voor de tandarts erger gemaakt, de verdoving werkte niet goed en ik heb zeker wel 6 naalden gehad, maar alsnog voelde ik ALLES!
Ik weet even niet meer wat ik moet, ik ben zo bang en teleurgesteld dat alles na 5 maanden weer zo slecht is.
Wat kan ik doen? Dit is hoe alleen al mijn bovenkaak eruit ziet.
1750 voor een wkb ??wow dat…
Zoek de oorzaak ddat na 5 maanden alles weer zo slecht zou kunnen zijn. Oorzaak: kijk naar eet en drink gewoontes en hoe/hoe vaak u reinigt. Gebruikt u ragers voor tussen uw tanden en kiezen.
Kunstgebitten is een v mijn specialismen. Ik raad het niemand aan.
DE les is waarschijnlijk: niet de noodzakelijke behandelingen opsparen...uiteindelijk komt het toch aan de beurt. En als alles in een keer komt kan je schrikken v de kosten.
1750 voor een wkb ??
Het is niet dat de wkb behandelde kies pijn doet, het is meer dat het gevoelig is wanneer ik mijn mond spoel en de rand bij mn tandvlees beetje gevoelig/pijn doet bij het poetsen. Ik ben zo bang voor een herbehandeling omdat het en duurder is dan een normale en het gewoon een nare en traumatische ervaring was.
Ik ben ook van plan om mijn orale gezondheid te verbeteren, volgende week staan afspraken klaar voor de mondhygiënist en gaten laten vullen.
Als mijn kiezen en tanden er niet verbeterd op worden dan is een kunstgebit echt mijn laatste optie. Ik kan niet om de maanden mijn tanden en kiezen laten vullen, dat kan gewoon niet. Kunstgebit lijkt mijn uitweg, het zit ook in de familie, mijn ouders hebben het en mijn ooms en zelfs een neef. Dus ik denk dat ik uiteindelijk toch maar een kunstgebit moet nemen volgende jaar.
Indien mogelijk nooit een…
Het trekken v e tand /kies…
Indien mogelijk nooit een kunstgebit
Zijn er misschien een aantal…
Op is op maar meestal zijn…
Sealen ter voorkoming indien de groeven in kiezen flink zijn...maar niet als er al caries is. Beperk de eet/drink momenten tot 6x p dag. U heeft ontbeten en gaat na een uur weer eten?? De tandenborstel ook niet nat maken voor het poetsen.
Ben eigenlijk benieuwd naar…
Ik ben van plan om alles nu…
U kunt de foto's opvragen…
Het heeft m i geen nut om een sealant boven op een vulling te leggen. Dat geld kunt u beter besteden.
Afhankelijk v gebruikte materiaal komt een 3 delig brug op 1800-2400 eur. Stel 2400 ..schrijf dat in 10 jaar af... 240 p jaar. U moet het wel kunnen voorschieten...er zijn zelfs clienten die een korte banklening voor aangaan...moet men zelf weten. Of doorsparen.
Ik had een slecht gebit...veel kronen laten plaatsen( makkelijk gedaan hoefde mijn heeel goede collega niet te betalen) Zitten al meer dan 50 jaar in mijn mond...nog als nieuw.
De foto's ga ik nu opvragen…
Mijn excuses ook dat ik zoveel vraag, ik ben gewoon erg in de war en verdrietig, financieel krap en moe. Dus geen sealants laten doen?
Ik ben ook van plan om om de 4 maanden naar de mondhygiënist te gaan voor de zekerheid, om mijn gebit goed schoon te houden na de vullingen.
Ik ben blij dat het voor u makkelijk was, en dat is ook erg aardig van uw goede collega dat u niet hoefde te betalen.
Het is alleen allemaal echt duurder geworden dan de laatste jaren, maar ik zit ook al te sparen elk maand, en hopelijk ook met betalingstermijnen kan het ook in stukken.
Geen sealants indien niet…
Een frame heeft een tarief v minder of meer dan 5 elementen.Ik geef als richtlijn 1100 eur.
Als twee naast elkaar ontbrekende kiezen zijn dan wordt het een 4 of meer delig brug. Elk deel tussen de 7-900 euro.
Overleg de mogelijkheden met uw tandarts.
Als er recent geen foto is gemaakt hoe heeft men geconstateerd dat er caries onder de bestaande vulling is. Soms met direct zicht maar dan gaat het wel heeeel snel bij u.Als u zo caries gevoelig bent , bespreek de mogelijkheid v caries preventie met uw mondhygieniste. Maak een voedingschema en bespreek dat.
De caries zijn al zichtbaar…
Soms sluit een vulling niet…
Veel... u kunt ook voor een goedkopere uitneembare voorziening kiezen, een frame prothese. U hoeft niet op te geven... Zit helaas vaak een prijskaartje aan.
Tanderosie kan...Verschillende oorzaken voor maar vaak wordt men gestraft voor verkeerd gebruik ( bijv. frisdranken).
Ik dronk vaak frisdrank ja,…
En niet nodig van vullen..?…
Laat de nieuwe tandarts…
Ja dat ga ik doen, ook al…
HOOR HET WEL ALS U GEWEEST…
Geweest bij tandarts
Ook heeft hij vandaag gezegt dat ik twee verstandskiezen, allebei onderkaak, eruit moet laten trekken... De bovenste zit nog diep in de kaak zei hij maar de onderste twee moesten eruit. Hij heeft er twee afspraken voor gegeven, 29 augustus en 12 september.. Sigh...
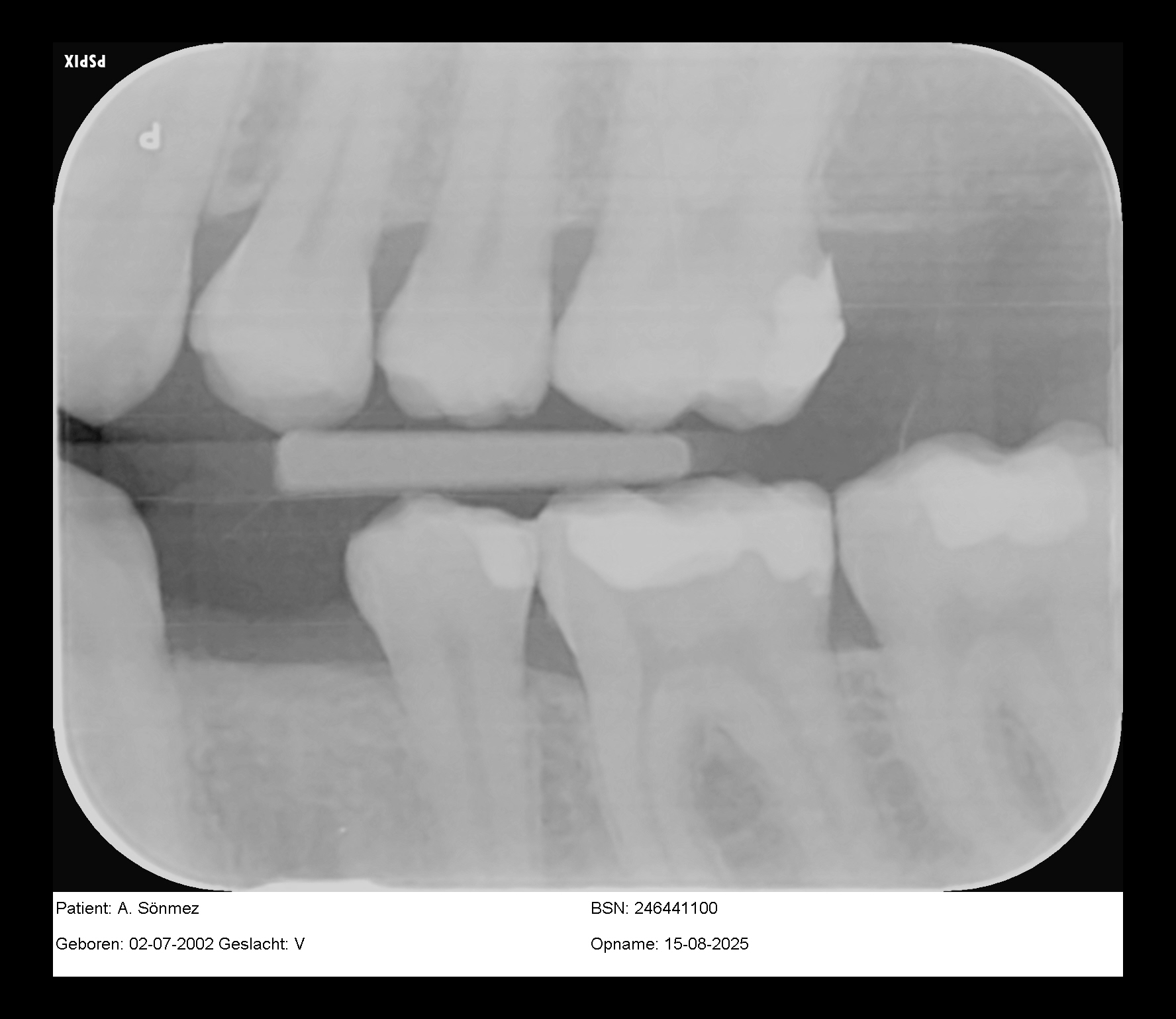
Dit zijn trouwens de foto's…
Dit zijn trouwens de foto's die vandaag zijn gemaakt!
Mijn mond valt open v…
Goedkoper is de 46 verwijderen en een frame prothese onder ( 1100 eur. ) is uitneembaar maar dan zijn alle gaten opgevuld en wordt voorkomen dat de kiezen gaan schuiven/kantelen.. u zult dan wel de haakjes v d frame prothese zien.
De 18/48 verstand kiezen verwijderen.
Kan ook tijdelijk een frame prothese, heel veel doorsdparen en later de frame vervangen door implantaten.
Met Sensodyne de tandenborstel niet nat maken voor poetsen en mond niet spoelen na afloop wel goed alles uitspugen.
Zorgen om niets gemaakt.
Ik maakte me erg zorgen…
Ik gebruik Sensodyne anti-caries wat hij ook goed vond maar zei dat ik ook de rapid relief kan gebruiken om te poetsen maar ook voor het slapen gaan smeren op de kies en gedurende nacht in te laten trekken.
Ik spoel mijn mond niet na het tandenpoetsen, alleen poetsen en dan spoeg ik het uit en wacht ik een uur met water drinken.
Zonde om bang voor iets te…
Ja ik weet dat het meestal…
Maar ik weet dat het nodig is, eerste afspraak voor verstandskies extraction is over twee weken.
Geef je vertrouwen aan de…