Goede avond,
Ik loop al jaren rond met pijnklachten in de kaak. Er zit een scheur bij mijn ene laatste kies. Daar zit een groef bij het tandvlees en er loopt een schuine scheur vanaf dat hoekje (zie foto). Dit doet erg veel pijn als ik erop druk of tijdens het kauwen. Ook voel ik pijn bij mijn jukbeen.
Deze week langs de tandarts gegaan. Daar zijn er foto’s gemaakt, maar hij zei dat er niks bijzonders te zien is.
Naast de kies met een scheur is er jaren geleden een gaatje gevuld en eigenlijk is alle ellende qua pijn begonnen sinds toen. Ik heb gevraagd of er niet iets over het hoofd wordt gezien (zoals gaatje onder de vulling of een wortelpunt ontsteking). Hij vertelde mij dat, dat niet het geval is.
Hij raad het aan om te wachten tot de klachten verergeren, omdat hij niets raars ziet en het enige wat hij kan doen is een wortelkanaalbehandeling, maar gaf ook aan dat ik het eerst maar moet aankijken en het tijd moet geven.
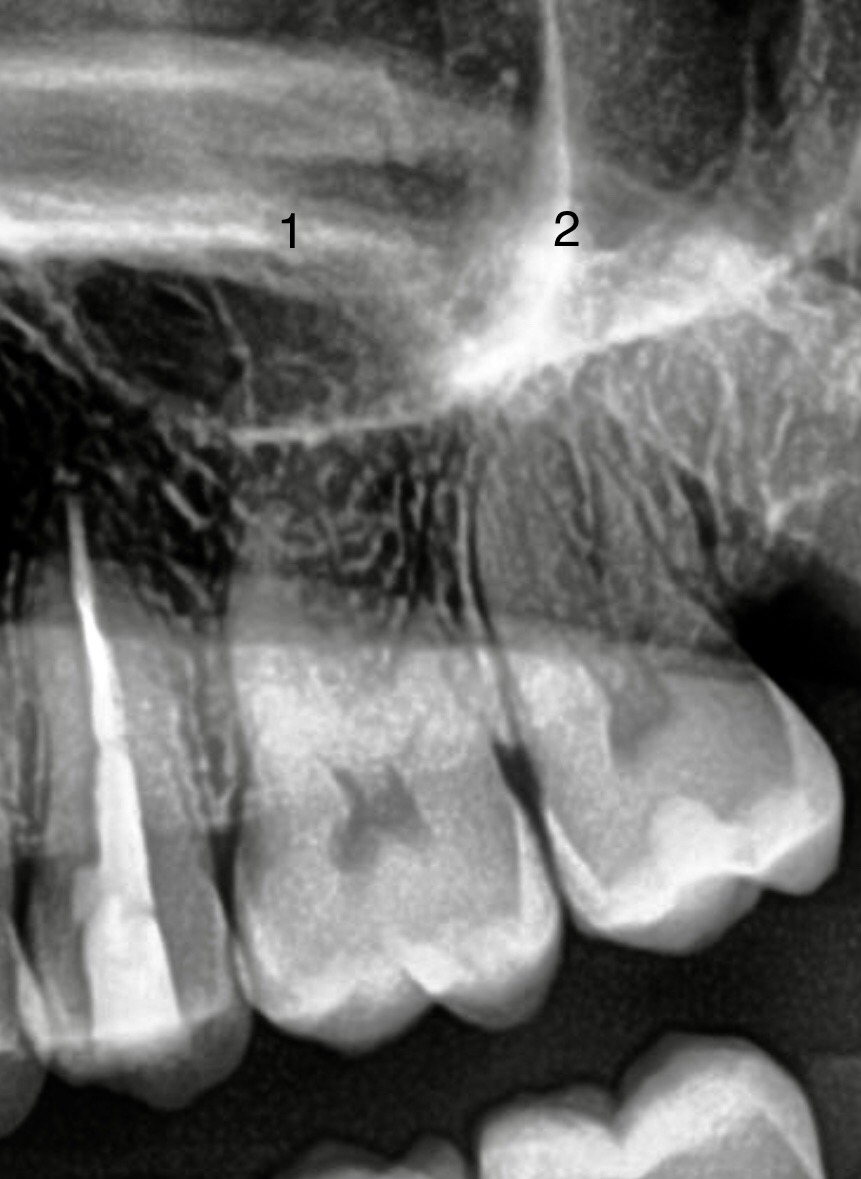
Ik heb twee foto’s toegevoegd. Op de röntgen foto heb ik de nummers 1 en 2 toegevoegd. 1 staat voor de kies met een breuk en 2 voor de kies met een vulling.
Nu heb ik de volgende vragen die ik graag wil stellen op dit forum:
- Kan het zijn dat er toch iets niet goed is gegaan bij de gevulde kies (nummer 2), er toch een ontsteking zit en dit doorsluimert naar de kies die ernaast zit met een scheur (nummer 1).
- Zien mijn kiezen er inderdaad keurig uit? (röntgenfoto)
- Tips hoe ik dit nu verder kan oppakken?
      
  
Ik loop al jaren rond met pijnklachten in de kaak. Er zit een scheur bij mijn ene laatste kies. Daar zit een groef bij het tandvlees en er loopt een schuine scheur vanaf dat hoekje (zie foto). Dit doet erg veel pijn als ik erop druk of tijdens het kauwen. Ook voel ik pijn bij mijn jukbeen.
Deze week langs de tandarts gegaan. Daar zijn er foto’s gemaakt, maar hij zei dat er niks bijzonders te zien is.
Naast de kies met een scheur is er jaren geleden een gaatje gevuld en eigenlijk is alle ellende qua pijn begonnen sinds toen. Ik heb gevraagd of er niet iets over het hoofd wordt gezien (zoals gaatje onder de vulling of een wortelpunt ontsteking). Hij vertelde mij dat, dat niet het geval is.
Hij raad het aan om te wachten tot de klachten verergeren, omdat hij niets raars ziet en het enige wat hij kan doen is een wortelkanaalbehandeling, maar gaf ook aan dat ik het eerst maar moet aankijken en het tijd moet geven.
Ik heb twee foto’s toegevoegd. Op de röntgen foto heb ik de nummers 1 en 2 toegevoegd. 1 staat voor de kies met een breuk en 2 voor de kies met een vulling.
Nu heb ik de volgende vragen die ik graag wil stellen op dit forum:
- Kan het zijn dat er toch iets niet goed is gegaan bij de gevulde kies (nummer 2), er toch een ontsteking zit en dit doorsluimert naar de kies die ernaast zit met een scheur (nummer 1).
- Zien mijn kiezen er inderdaad keurig uit? (röntgenfoto)
- Tips hoe ik dit nu verder kan oppakken?
 
                 
    
   
 
De achterste kies met kleine…
Nr 1 is de kies met scheur??. Is dat een barst in een kies zonder vulling of is dat de rand v e vulling?.(eerste foto).Als rand v e vulling dan glad maken en beoordelen als een barst dan zou ik een vulling maken .
De derde kiesje v achter zit een wkb in. Daar zou ik een kroon adviseren afhankelijk v hor groot de vulling is. Een wkb behandelde kies wordt broos en knobbel kan breken dus een vulling die de knobbels overkapt of een kroon .Kan de wortel punt v d wkb behandelde kies op deze foto niet beoordelen.
Dank voor de reactie. Klopt…
Klopt, nummer 1 is de kies met scheur. Het is een barst zonder vulling. Het zit tussen de twee behandelde kiezen.
Bij de derde kies met WKB, was er eigenlijk niets aan de hand. Dit was nog een goede kies alleen vanwege zoveel pijnklachten is het behandeld. (Het puntje van de WKB-vulling steekt een puntje uit boven de wortel is mij verteld.
Al om al is de pijn in het gebied van de drie kiezen niet weg en het was zo moeilijk te pijlen waar het nou afkomstig is. Maar ik voel de meeste pijn bij de kies met een scheur (nr1) en ook bij kies met vulling (n2), daar wat minder. De kies met WKB is gevoelig, maar ik vermoed dat het gevoelig is door de kies met een vulling, omdat het daar het meest pijn doet.
Als antwoord op De achterste kies met kleine… door Tandarts_Richa…
Dank voor de reactie. Klopt…
Klopt, nummer 1 is de kies met scheur. Het is een barst zonder vulling. Het zit tussen de twee behandelde kiezen.
Bij de derde kies met WKB, was er eigenlijk niets aan de hand. Dit was nog een goede kies alleen vanwege zoveel pijnklachten is het behandeld. (Het puntje van de WKB-vulling steekt een puntje uit boven de wortel is mij verteld.
Al om al is de pijn in het gebied van de drie kiezen niet weg en het was zo moeilijk te pijlen waar het nou afkomstig is. Maar ik voel de meeste pijn bij de kies met een scheur (nr1) en ook bij kies met vulling (n2), daar wat minder. De kies met WKB is gevoelig, maar ik vermoed dat het gevoelig is door de kies met een vulling, omdat het daar het meest pijn doet.
Kan het zijn dat hier sprake…
https://www.tandartspraktijk.nl/magazine-artikelen/onduidelijke-pijnkla…
Ja dat is geconstateerd. Ik…
Ik voel de irritatie/pijn eigenlijk de hele dag door sinds de afgelopen jaren en dit wordt verergerd tijdens het eten. Hoe kan er bekeken worden hoe de barst verder loopt in de kies? Is dat tijdens het vervangen door een vulling óf via bepaald beeldmateriaal zoals bijv scans/foto's?
Kan beoordeeld worden…
Als antwoord op Kan beoordeeld worden… door Tandarts_Richa…
Ik heb het advies gevolgd en…
In de tussentijd ben ik ook langs de endodontoloog geweest om CBCT-beelden te laten nakijken. De endodontoloog gaf aan dat hij niks vreemds heeft gezien op de scan. Wel schreef hij als conclusie: Pulpitis (reversibel?)
Hij vertelde mij dat er een mogelijkheid is dat er bacteriën naar binnen treden via de groef/breuk en er een mogelijkheid is dat het is gaat ontsteken, maar helaas niet een heel duidelijke verklaring heeft na het bekijken van de scan en met de microscoop.
Als advies zei hij: stabilisatie van de beet op geleide van een T-scan te overwegen n.a.v. pulpitisklachten mogelijk agv overbelasting.
Dit heb ik teruggekoppeld aan de tandarts. Hij adviseert mij af te wachten tot de pijn erger wordt. Ook de T-scan vind hij niet echt nodig.
Ik heb aangegeven dat afwachten tot het erger wordt voor mij niet meer mogelijk is, omdat ik mijn limiet al heb bereikt. Het is ondraaglijk
Ik ben benieuwd naar wat u adviseert en iets weet over T-scans
Een T-Scan is een heel mooi…
Als antwoord op Een T-Scan is een heel mooi… door Tandarts_Richa…
Ja.. een dilemma, omdat de…
Voor mij voelt het dat door het afwachten (wat nu al 2+ jaar lang is), mijn kies verslechterd. En ik straks de kies kwijt raak. Inmiddels slik ik al een langere tijd pijnstillers, omdat het niet meer te doen is.
Wat wordt er gedaan met een kies met breuk/groef als dit wel wordt behandeld?
Hangt af v d breuk, waar/hoe…