ontsteking onder brug

Author:
TEUNK
Posted:
ma, 04/07/2025 - 21:34
Circa 25 jaar geleden heb ik een brug laten plaatsen omdat een kies getrokken was. Nu recent bij de tandarts geweest en die gaf aan dat er op een foto een kleine ontsteking waarneembaar is onder de 1ste pijler van de brug. Het betreft element 35. 25 jaar geleden is er in dat element een wortelkanaalbehandeling uitgevoerd maar die is schijnbaar niet diep genoeg geweest?? Ook "lekt" de brug op dat element. Er is een breuk langs de wortel ontstaan. Ik heb nu compleet GEEN last maar e.e.a. is wellicht een tikkende tijdbom. Al bij een specialist geweest maar die gaf al heel snel aan trekken van element, twee implantaten met kronen, etc... Dat wordt een duur grapje en vraag nu me oprecht af of het nodig is. Nieuwe brug snap ik want die is end of life maar kan de wortelkanaalbehandeling niet opnieuw en/of kan men die breuk niet dichten? Dan gaat die ontsteking toch ook weg? Het lijkt allemaal wat rigoreus nu. Wil eigenlijk e.e.a. gewoon behouden maar lijkt of men daar geen inspanning voor wil doen. Graag advies.
Attach
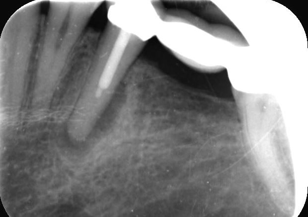
Tandarts_Richa…

Mogelijk een breuk maar dat kan ik op deze foto niet zien. Zo ook niet een lekkage in de 35 op deze foto te zien , wellicht bij onderzoek in de mond wel te voelen. Ik zie eerder een lekkage bij de achterste pijler 37 die ik zou onderzoeken. Is de specialist waar u geweest bent een endodontoloog?. Ik bedoel niet een tandarts met affiniteit endodontie. Op de foto lijkt een herbehandeling v d 35 mogelijk. Moet wel onderzoeken wat men bedoelt met een breuk langs de wortel. Maar een breuk dichten, denk het niet.
ma, 04/07/2025 - 23:48 Permalink
TEUNK

Dank voor de snelle reactie. Ik ben inderdaad bij een endodontoloog geweest maar zat daar welgeteld nog geen 10 minuten. Ik gaf aan dat de brug ruim 20 jaar oud was en na het maken van de foto was eigenlijk direct al de conclusie dat ie eruit moest. Ik heb ze overigens nogmaals benaderd omdat ik ook zelf vind dat ik geen duidelijke uitleg heb gehad. Kwam allemaal wat gehaast over en voornaamste reden zou zijn dat het element waar die wortelkanaalbehandeling op is uitgevoerd langs de wortel zou lekken waardoor de ontsteking is ontstaan. Nogmaals die ontsteking voel ik niet maar moet op uitspraak van de tandarts en de endodontoloog vertrouwen dat ie er zit. Moet daar ook niet mee blijven rondlopen maar vind de huidige conclusies wel erg snel getrokken. Bijgaand nog een foto want ik heb vorige week alles doorgestuurd gekregen van mijn eigen tandarts. Desnoods wil ik graag elders een second opinion. Tandarts kijkt ook alleen naar verslag/behandeladvies van de endodontoloog. Wat moet gebeuren dat moet gebeuren maar wil voorkomen dat onnodig of uit gemakzucht een element wordt getrokken terwijl ie wellicht nog prima te redden is. Heb ook totaal geen klachten nu
di, 04/08/2025 - 11:13 Permalink
Tandarts_Richa…

Dat de ontsteking er is..is duidelijk. Ik ga op het advies v d endodontoloog af. Maar dat komt omdat, dorr ervaring met hem, geleerd heb dat hijeigenlijk altijd gelijk heeft. U kunt altijd een second opinion inwinnen bij een ander endodontoloog. Maar als de conclusie is, dat de 35 niet te redden is, moet het duidelijk zijn. Voor een vaste oplossing zou ik ook voor twee implantaten opteren. Dit omdat de 44 gaaf lijkt en het zonde zou zijn het te beslijpen als pijler element voor een brug 44-47.(gemiddeld 4x 800 eur.). Wel goedkoper dan twee implantaten (gemiddeld 4000 eur.). Maar voordeel v e brug zou, los v nadeel 44, dat de 47 gelijk een nieuw kroon heeft. Dus misschien toch de beste optie. Anders als uitneembare voorziening een frame prothese. Alles afhankelijk v d rest v h gebit. Geen klachten is geen reden het uit te stellen. Zou dat nooit doen in uw geval.
di, 04/08/2025 - 21:09 Permalink