Kiezen

Author:
alex.snoeren
Posted:
ma, 09/02/2019 - 12:57
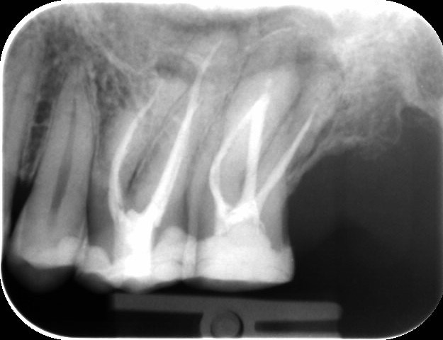
wie kan een Xray lezen? Hierbij een foto van 2 van mijn bovenste kiezen links boven. Is op beide ooit een WKB uitgevoerd. Wie ziet er iets aan?
Attach
vV

bij beide kiezen zitten (opnieuw) zwartingen. Hoe lang geleden zijn ze behandeld? wellicht is eea met herbehandelingen oplosbaar. Hier en daar is wellicht ook wat meer te bereiken met de modernere technieken heden ten dage.
ma, 09/02/2019 - 13:05 Permalink