Beste,
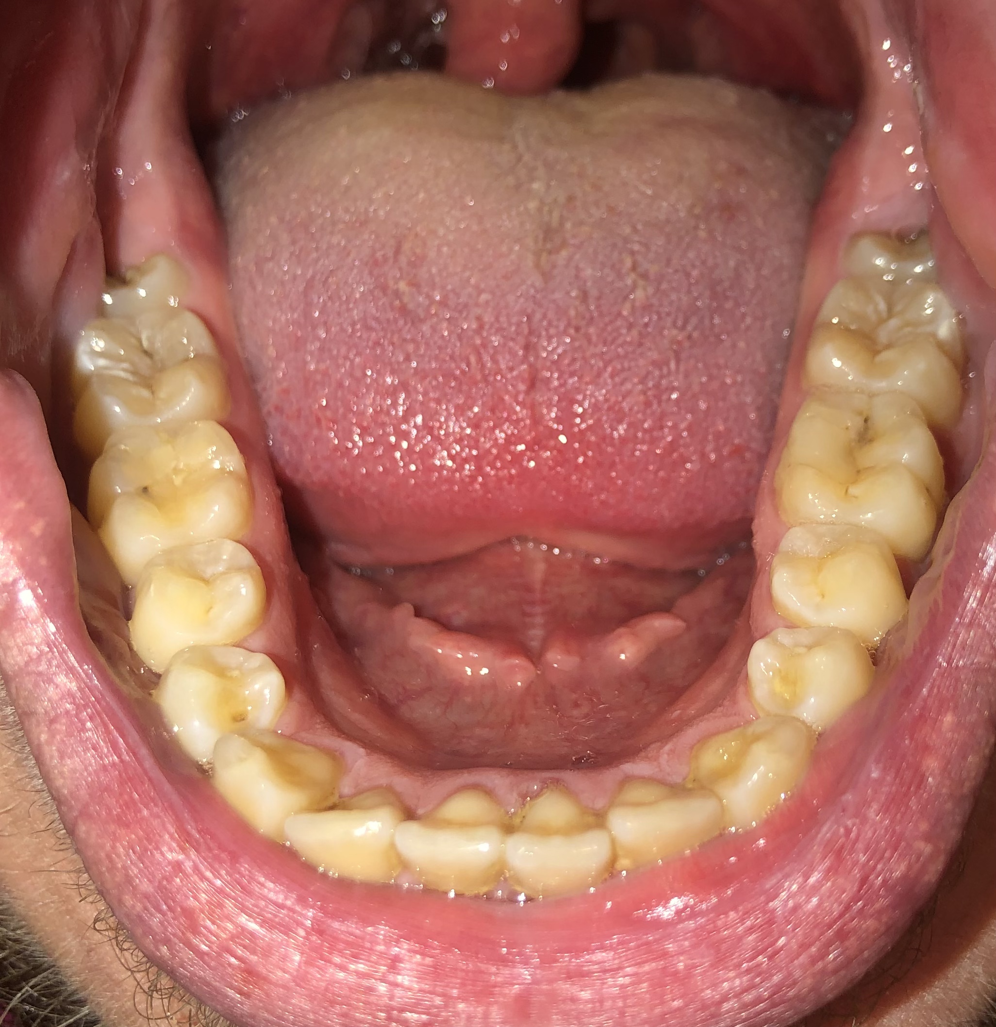
ik schaam me diep dat ik het zover heb laten komen en ik besef dat dit niet verstandig is, maar het is zoals het is en nu moet ik de gevolgen onder ogen zien. De afgelopen 9 jaar zijn de zwaarste in mijn leven geweest vanwege verschillende gebeurtenissen in mijn thuis- en persoonlijk situatie. Dit heeft me in een diepe depressie doen belanden waaruit ik nog steeds niet volledig ben hersteld. Tijdens deze jaren heb ik mijn gezondheid sterk verwaarloosd, niet in de laatste plaats de gezondheid van mijn tanden. Bovendien heb ik al ongeveer 7 jaar geen tandarts meer gezien.
Drie maanden geleden, toen ik 25 werd, besloot ik weer voor mezelf te gaan zorgen, en ondanks de verbeteringen gaat dit lastig en heb ik veel angsten. Voornamelijk mijn diepste angst dat het voor veel al te laat is, inclusief mijn tanden. Ik heb geen pijn in mijn mond, maar als ik in de spiegel kijk, kan ik niet anders denken dan dat mijn tanden in slechte staat zijn. Toch vind ik het moeilijk in te schatten hoe slecht mijn situatie echt is, en daarom kom ik vandaag naar jullie om te vragen hoe erg mijn huidige situatie eruitziet. Ik ben van plan om binnenkort een tandarts te bezoeken (ik heb mezelf als doel gesteld om voor het einde van het jaar een tandarts te bezoeken), maar op dit moment lijkt de drempel gewoon te hoog. Desalniettemin zou ik uw eerlijkheid zeer op prijs stellen.
Ik drink af en toe en rook sigaretten. Mogelijk relevante medische aandoeningen zijn obesitas en een eetstoornis met eetbuien.
Bij voorbaat dank en excuses voor de afschuwelijke foto's.
ik schaam me diep dat ik het zover heb laten komen en ik besef dat dit niet verstandig is, maar het is zoals het is en nu moet ik de gevolgen onder ogen zien. De afgelopen 9 jaar zijn de zwaarste in mijn leven geweest vanwege verschillende gebeurtenissen in mijn thuis- en persoonlijk situatie. Dit heeft me in een diepe depressie doen belanden waaruit ik nog steeds niet volledig ben hersteld. Tijdens deze jaren heb ik mijn gezondheid sterk verwaarloosd, niet in de laatste plaats de gezondheid van mijn tanden. Bovendien heb ik al ongeveer 7 jaar geen tandarts meer gezien.
Drie maanden geleden, toen ik 25 werd, besloot ik weer voor mezelf te gaan zorgen, en ondanks de verbeteringen gaat dit lastig en heb ik veel angsten. Voornamelijk mijn diepste angst dat het voor veel al te laat is, inclusief mijn tanden. Ik heb geen pijn in mijn mond, maar als ik in de spiegel kijk, kan ik niet anders denken dan dat mijn tanden in slechte staat zijn. Toch vind ik het moeilijk in te schatten hoe slecht mijn situatie echt is, en daarom kom ik vandaag naar jullie om te vragen hoe erg mijn huidige situatie eruitziet. Ik ben van plan om binnenkort een tandarts te bezoeken (ik heb mezelf als doel gesteld om voor het einde van het jaar een tandarts te bezoeken), maar op dit moment lijkt de drempel gewoon te hoog. Desalniettemin zou ik uw eerlijkheid zeer op prijs stellen.
Ik drink af en toe en rook sigaretten. Mogelijk relevante medische aandoeningen zijn obesitas en een eetstoornis met eetbuien.
Bij voorbaat dank en excuses voor de afschuwelijke foto's.
Er is een duidelijk verband…