Help! 2 weken na trekken verstandskies, wat is hier aan de hand?

Author:
joshk
Posted:
vr, 02/11/2022 - 21:50
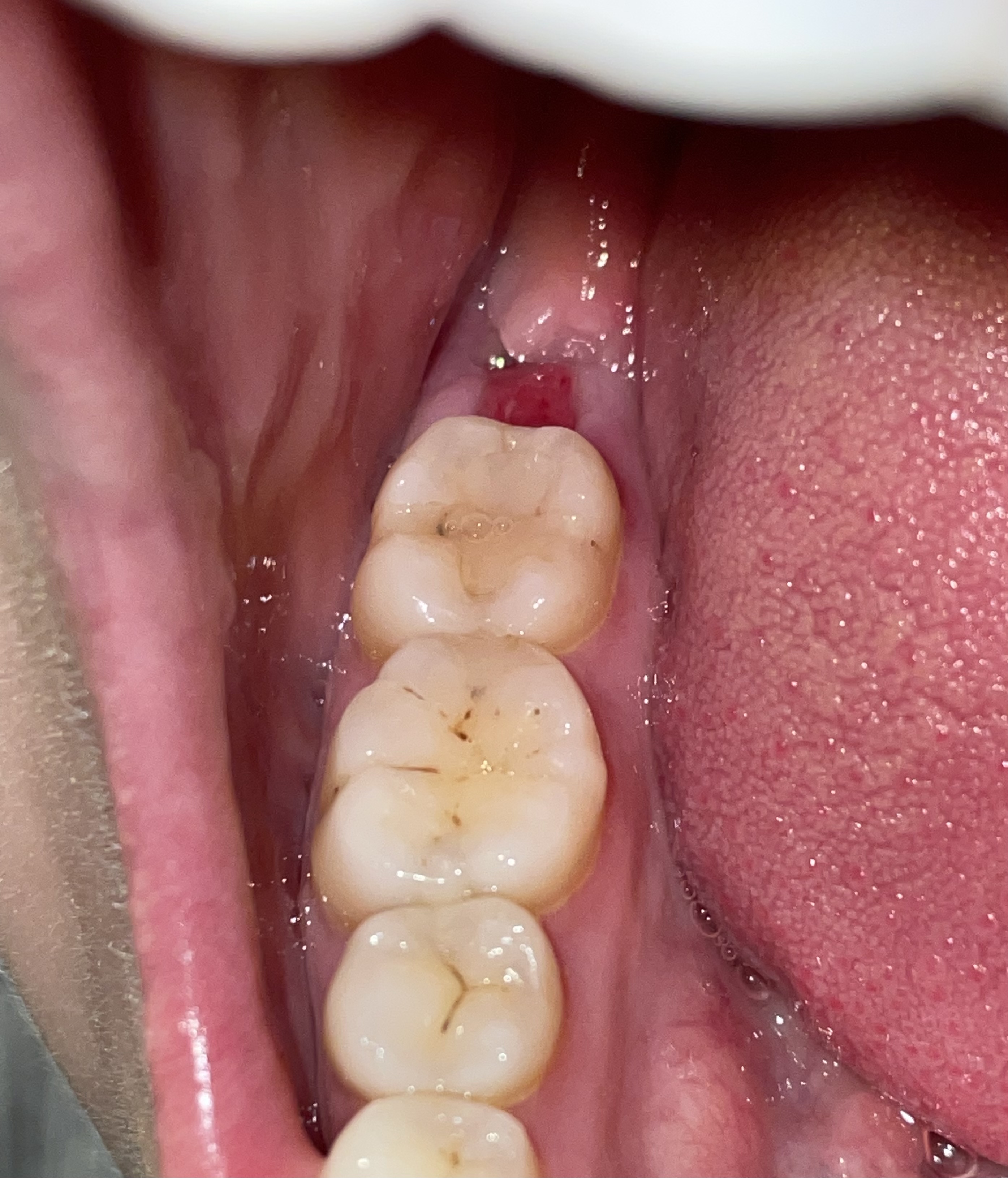
2 weken geleden zijn mijn verstandskiezen rechts getrokken, boven en onder. De napijn en ongemak vond ik tegenvallen, maar sinds een week heb ik geen last meer en sinds een paar dagen heb ik ook niet meer de neiging om steeds in m’n mond te kijken. Het voelt eindelijk weer goed!

Nu leek ik zojuist wel even, en tot mijn grote schrik zie ik roodheid op de plek waar de kies zat. Wat is dit nou? Ik heb geen last meer, het gat is zo goed als dicht, waarom zit hier nu een rode plek! Ik maak me ongerust, kan iemand me hier iets over vertellen?
Attach
Tandarts_Richa…

Wat is een Granulatieweefsel?
Granulatie of de granulatiefase is de tweede fase (zie wondfases) in de wondgenezing. Als de exsudatiefase is beeindigd vult de wond zich met nieuw, tijdelijk weefsel. Dit weefsel noemt men granulatieweefsel. Granulatieweefsel is goed doorbloed en ziet er daardoor vrij rood uit.
Dit kan het zijn, maar weet het niet zeker. Ik kijk normaliter in de mond en voel. Kijk het even aan, wil je het zeker weten laat je tandarts het in de mond beoordelen.
za, 02/12/2022 - 02:31 Permalink
Tandarts_Richa…

Hoe herken je Hypergranulatie?
Echter het komt voor dat er teveel wordt gevormd, zoveel dat het granulatieweefsel boven het niveau van de omliggende huid uitsteekt. Dit wordt hypergranulatie genoemd. Dit is te herkennen aan rode bobbeltjes op het littekenweefsel. Dit kan ook. Laat het dan even beoordelen
za, 02/12/2022 - 02:34 Permalink
Amboseli

Ik heb veel last van hypergranulatie en heb op anderhalf jaar tijd al een keer of twaalf het granulatieweefsel moeten laten wegsnijden, wegbranden of aanstippen met zilvernitraat. Na een week of twee zie ik het al terug verschijnen en altijd op dezelfde plaatsen.
In een wetenschappelijk artikel las ik dat een van de oorzaken "irritatie van een vreemd lichaam" kan zijn. Anderhalf jaar geleden zijn er door de MKA-chirurg twee implantaten geplaatst in de onderkaak na een operatie mondkanker waarbij 6 snijtanden + bot in het onderfront werden weggenomen. Het is sinds toen dat de hypergranulatie begonnen is.
Zou mijn probleem verholpen zijn als ik de implantaten laat weghalen? Ik zou er een klikgebit op krijgen maar dat lukt tot op heden niet.
Ik ben er mij van bewust dat ik nooit een ondergebit zal hebben als ik de implantaten laat weghalen, maar alles liever dan om de zes weken te laten snijden of branden.
Wat is uw mening hierover?
za, 04/30/2022 - 19:38 Permalink
Tandarts_Richa…

Bezoek een mondhygiënist. In samenspraak een plan maken ter verbetering v mondhygiëne/tandvlees. Meestal zijn de implantaten gemaakt v materiaal die niet tot irritatie leiden. Anders laten testen door een allergoloog. Zou nog niet denken aan verwijdering v implantaten. Eerst oorzaak en gevolg bepalen en daarna handelen.
za, 04/30/2022 - 23:12 Permalink
Tandarts_Richa…

Laten bepalen of u allergisch bent voor het materiaal v h implantaat. Hoe snel na het verwijderen v uw tanden zijn de implantaten geplaatst. Ik zeg, maar ik ben geen implanteur, altijd een jaar te wachten tot het bot op natuurlijke wijze voldoende geslonken is alvorens de implantaten te plaatsen.. Waar in Belgie woont u. Ik ken een perfect Belgisch Parodontoloog /implanteur in Breda, Pieter Avonrood. Praktijk voor Parodontologie Breda. Hij weet heeeel veel. Ga anders voor een second opinion. Toevallig zijn protheses een v d dingen waar velen vinden dat ik er goed in ben, althans dat zeggen ze maar misschien zijn ze alleen maar beleefd. Als de implantaten behouden blijven zou dat veel gebruiksgemak geven. Maar anders, bij verlies, iemand zoeken die veel ervaring heeft met de moeilijke gebitsprothese.
zo, 05/01/2022 - 09:38 Permalink
Amboseli

Als antwoord op door Tandarts_Richa…

Sorry voor mijn late reactie.
De implantaten zijn geplaatst 9 maanden na de operatie door de MKA-chirurg die de operatie heeft uitgevoerd.
Volgens haar genees ik slecht. Ik heb ook heel veel littekenweefsel.
Als het probleem nog lang aanhoudt neem ik misschien wel contact op met de paro praktijk in Breda.
Dank voor de suggestie.
di, 05/10/2022 - 23:55 Permalink