Hard pijnloze bultje bij tanvlees ?

Author:
malukrew
Posted:
di, 11/04/2025 - 14:31
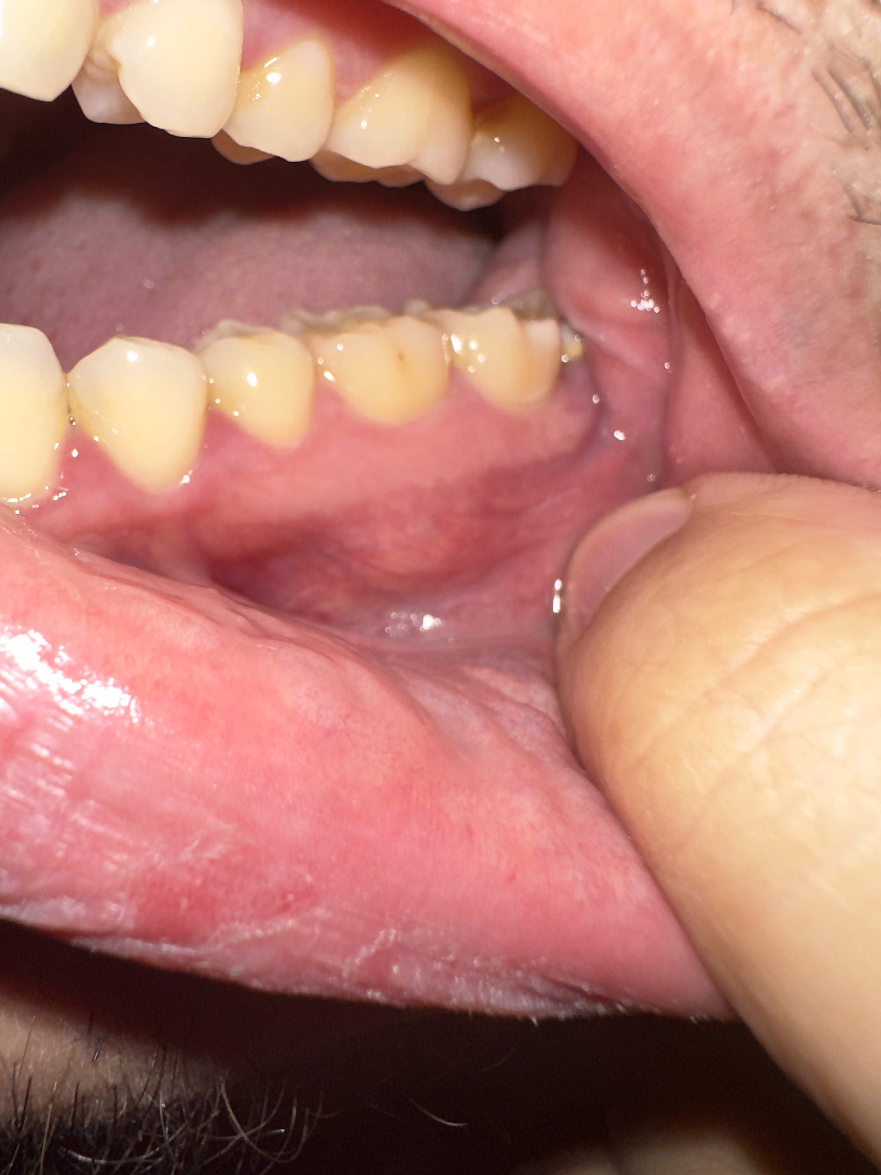
Hallo Tandarts Forum. Ik heb hard pijnloze bultje bij mijn tandvlees bij de kaak.. Ik vroeg mij af wat het kan zijn.. abces of cyste of onsteking..? zie ik meerendeels op internet voorbij komen. Ben al een hele lange tijd niet naar de tandarts geweest omdat ik nogal bang ben voor de tandarts, wat vroeger eigenlijk niet zo was.. Met vriendelijke groet!
Tandarts_Richa…

Zou misschien een ontsteking kunnen zijn. Morgen gelijk bellen vooreen afspraak en een x-foto late make. Juist als je bang bent moet je naar de tandarts gaan om erge zaken, waaru juist bang voor bent, te voorkomen. Tegenwoordig hoef je helemaal niet bang te zijn. Verdoven en je voelt dat wj bezig zijn maar verder niets,
di, 11/04/2025 - 23:22 Permalink