Fistel?

Author:
Merel1979
Posted:
ma, 07/22/2019 - 13:32
Hallo allemaal,
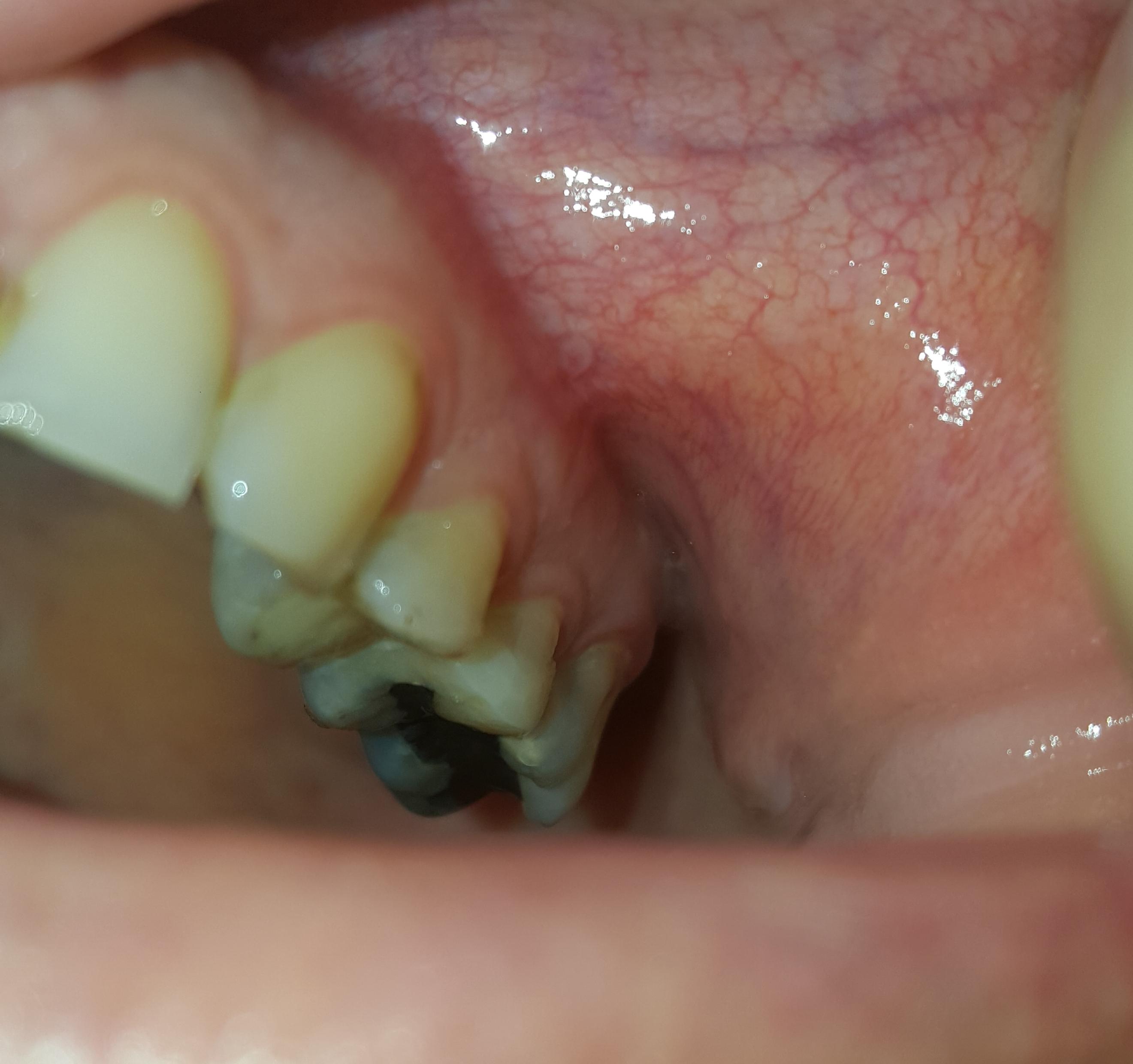
Zie bultje in de mond. Is dit een fistel?
Ik heb verder geen klachten en pijn. Er komt ook niks uit.
Het zit vrij hoog.
Foto 1 is van vandaag, Foto 2 van gisteren.
Attach