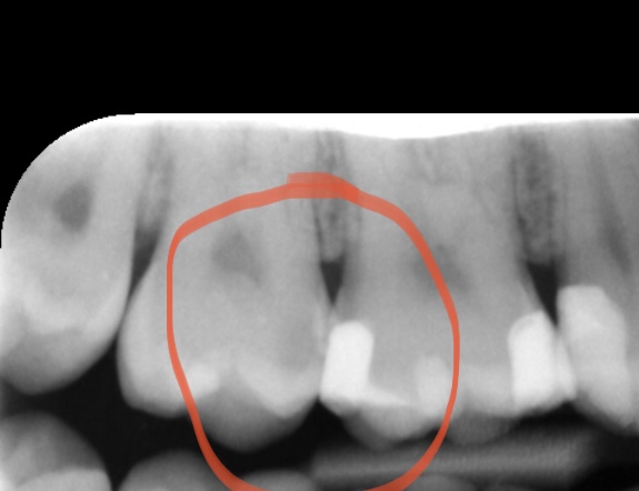
Author: Christel123 Posted: za, 03/14/2020 - 18:19 Ik kan misschien beter een abonnement op dit forum nemen, haha, maar ik wilde weten of op deze foto van mijn tand een gaatje te zien is? Alvast bedankt! Attach Lieneke In de linker kies van de In de linker kies van de omcirkeling; ja. Stuur privébericht Login of registreer om te reageren zo, 03/15/2020 - 16:09 Permalink Christel123 Als antwoord op In de linker kies van de door Lieneke In de linker kies van de Dankjewel! Dan weet ik iig dat de tandartsrekening gewoon klopte! Stuur privébericht Login of registreer om te reageren zo, 03/15/2020 - 18:32 Permalink 170 weergaves
Lieneke In de linker kies van de In de linker kies van de omcirkeling; ja. Stuur privébericht Login of registreer om te reageren zo, 03/15/2020 - 16:09 Permalink
Christel123 Als antwoord op In de linker kies van de door Lieneke In de linker kies van de Dankjewel! Dan weet ik iig dat de tandartsrekening gewoon klopte! Stuur privébericht Login of registreer om te reageren zo, 03/15/2020 - 18:32 Permalink
In de linker kies van de
Als antwoord op In de linker kies van de door Lieneke
In de linker kies van de