Beste raadgevers,
Deze 2 kiezen geven met al ruim 2 jaar pijn. Het is begonnen toen hun vullingen vernieuwd werden.
Het is een stekende pijn, die een aantal uur tot ongeveer 3 dagen kan komen opzetten. Daarna zijn die kiezen weer een aantal dagen of zelfs weken volledig klachtenvrij. Het is een pijn met steken, die gelukkig mindert als ik "rustig ben", dus slapen lukt nog goed. De kiezen zijn niet gevoelig voor tikken/druk alsook geen speciale reactie op koude/warmte. Alleen maar steken die spontaan op en af gaan... Vaker lijkt het de achterste kies te zijn.
Verschillende tandartsen bezocht, en ze denken dat als het pulpitis is door een "diepe" vulling er al lang necrose zou opgekomen zijn, en dus deze pijn niet zolang (2 jaar) aanhoud zonder ontsteking aan het wortelpunt (en dus abces zouden ontdekken). Alsook missen ze naar eigen zeggen wat symptomen om te spreken over onomkeerbare pulpitis.
Ik krijg binnenkort een bit tegen het klemmen voor 's nachts. Daar is lang over getwijfeld. Omdat ik het zelf niet merk, en niet speciaal last heb van kauwspieren, nek of dergelijke. Dus het is een vraagteken of dit gaat helpen.
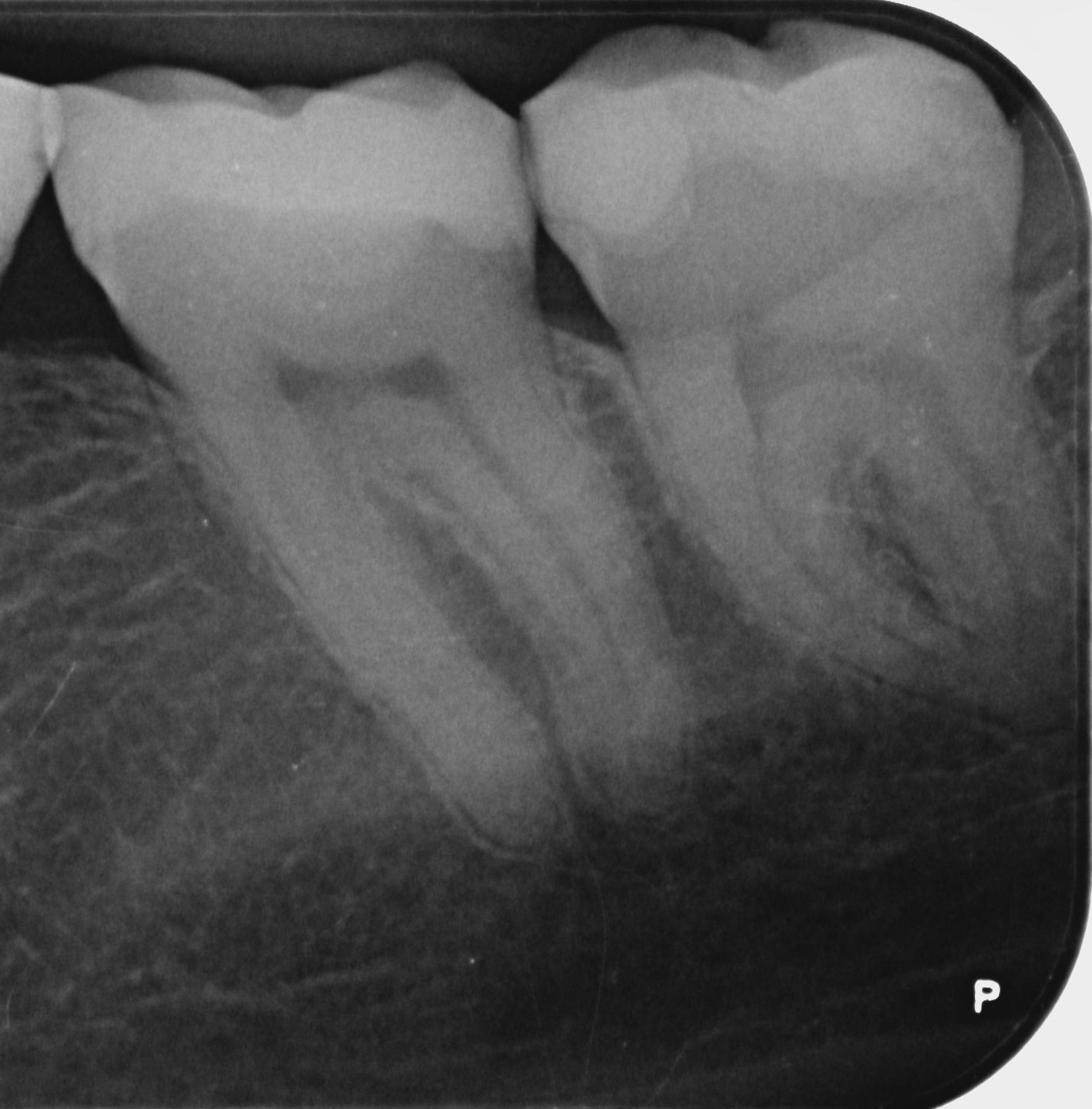
Mijn vraag aan jullie is dan, zien jullie iets op dit foto ?
Zijn de vullingen zo diep om pulpitis te kunnen veroorzaken ? Kan een kies 2 jaar lang pulpitis hebben zonder af te sterven ? Of lijkt dit eerder uitgesloten gezien het verloop en de beelden ?
Ben radeloos, de pijn is een zware mentale belasting. En het spijtige is dat mijn geloof in een oplossing een beetje opgeraakt.
Alvast bedankt
Deze 2 kiezen geven met al ruim 2 jaar pijn. Het is begonnen toen hun vullingen vernieuwd werden.
Het is een stekende pijn, die een aantal uur tot ongeveer 3 dagen kan komen opzetten. Daarna zijn die kiezen weer een aantal dagen of zelfs weken volledig klachtenvrij. Het is een pijn met steken, die gelukkig mindert als ik "rustig ben", dus slapen lukt nog goed. De kiezen zijn niet gevoelig voor tikken/druk alsook geen speciale reactie op koude/warmte. Alleen maar steken die spontaan op en af gaan... Vaker lijkt het de achterste kies te zijn.
Verschillende tandartsen bezocht, en ze denken dat als het pulpitis is door een "diepe" vulling er al lang necrose zou opgekomen zijn, en dus deze pijn niet zolang (2 jaar) aanhoud zonder ontsteking aan het wortelpunt (en dus abces zouden ontdekken). Alsook missen ze naar eigen zeggen wat symptomen om te spreken over onomkeerbare pulpitis.
Ik krijg binnenkort een bit tegen het klemmen voor 's nachts. Daar is lang over getwijfeld. Omdat ik het zelf niet merk, en niet speciaal last heb van kauwspieren, nek of dergelijke. Dus het is een vraagteken of dit gaat helpen.
Mijn vraag aan jullie is dan, zien jullie iets op dit foto ?
Zijn de vullingen zo diep om pulpitis te kunnen veroorzaken ? Kan een kies 2 jaar lang pulpitis hebben zonder af te sterven ? Of lijkt dit eerder uitgesloten gezien het verloop en de beelden ?
Ben radeloos, de pijn is een zware mentale belasting. En het spijtige is dat mijn geloof in een oplossing een beetje opgeraakt.
Alvast bedankt
Ook ik twijfel bij het zien…
geslibt.
Als antwoord op Ook ik twijfel bij het zien… door Tandarts_Richa…
Die foto is van afgelopen…
De meeste last heb ik van de achterste kies, lijkt me.
Die vullingen, zijn die "diep genoeg" om te kunnen spreken over oorzaak van necrose ?
Als ik heel koud drink, voel…
Niet perse diep genoeg op…
Als antwoord op Niet perse diep genoeg op… door Tandarts_Richa…
Ja, als de vullingen niet…
Had een stukje van de opg erin geplakt. Maar daar zie ik de zenuwkanalen beter.
Ik ga de raad van m'n tandarts volgen en de bit proberen. Als dat niet helpt, dan is enige optie nog een WKB, wat de reden dan ook mag zijn ;-) .
Denk dat ik meer heb aan de…
Als antwoord op Denk dat ik meer heb aan de… door Tandarts_Richa…
OPG is van 2 weken geleden…
Maar heb gedurende 2 jaar al veel "evolutie" foto's van die kiezen omdat ze het niet meteen vinden (verschillende tandartsen), en nooit zien ze iets. Vandaar ik zou denken een ontsteking te zien, ookal is het maar gedeeltelijke necrose van pulpa.
Heb ooit wel op iets hard moeten bijten bij tandarts, vermoed daarvoor (cracked tooth). Maar ook thuis kan ik vrolijk op harde dingen bijten met die 2 kiezen.
Dus, we zullen de bit maar afwachten. Ook omdat het over verschillende kiezen zit en ik sedert half jaar een tinnitus heb aan die kant. Die 2 argumenten, met daarbij dat het al zo lang "vaag is zonder ontsteking te zien" heeft nieuwe tandarts besloten het te zetten op "klemmen".
Maar bedankt voor de tips, ik neem ze mee moest de bit niets verhelpen.
Een voor een afstrepen..nu…