Gisteren even bij de spoedpost geweest ivm afgebroken zijkant van de 37 (wangzijde). Ik durfde geen risico te nemen dat er nog meer zou afbreken vanwege eerdere ervaringen dus naar de tandartspost gegaan.
Opgelost (denk ik), ze had het over caries onder de vulling waardoor zijkant kies afgebroken was.
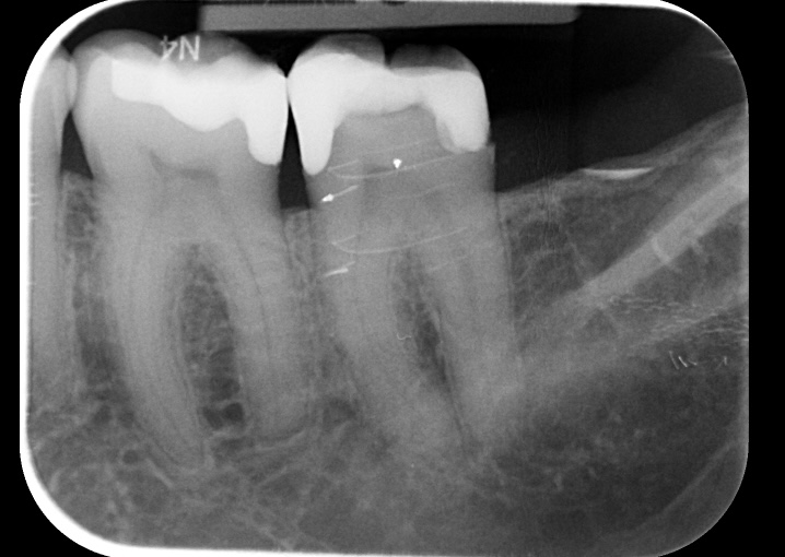
Maar ze zei ook dat er nog een breuk zat binnen in (volgens mij op de foto rechts.
Ik zou wel willen weten of ik er wijs aan doe na de kerststop bij mijn tandarts nog even langs te gaan en te laten checken of dat het voor nu wel goed zit.
Vulling zat er 2,5 jaar in. Ik heb meer van die vullingen en weinig vertrouwen dat het wel 'losloopt'. Zelf (voor mijn geruststelling) zou ik nu wel weer foto's willen van de overige kiezen om grotere issues te voorkomen als er onzichtbare dingen spelen. Is dat terecht of is dat m.n. mijn bezorgdheid die spreekt en is dat niet nodig.
Bij voorbaat dank.
De betreffende RX foto