Heb ik een diepe beet?

Author:
MrNaamloos
Posted:
do, 05/04/2017 - 20:59
Hallo allemaal,

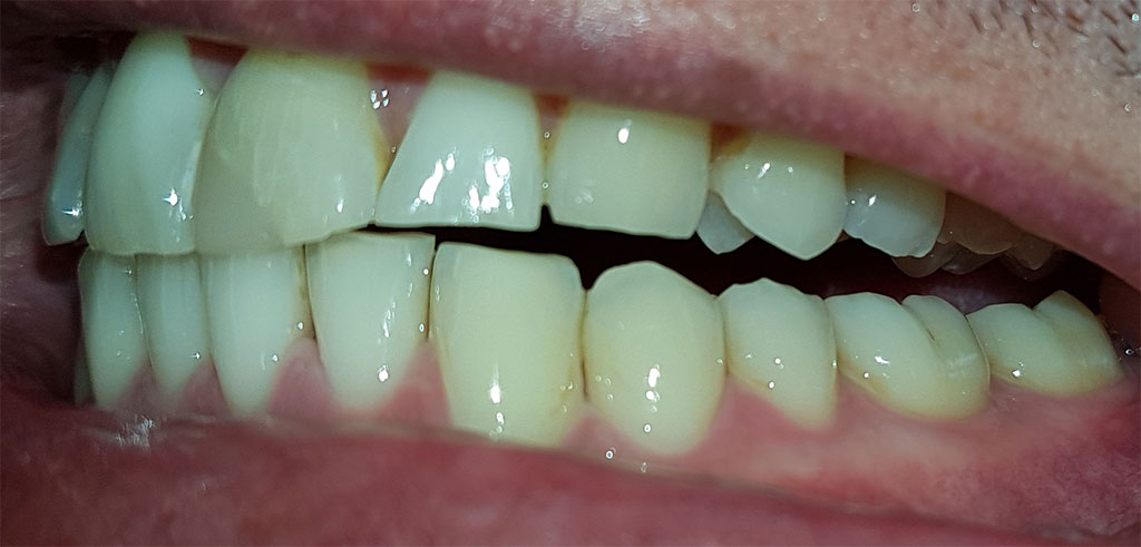
Mijn voorste ondertanden raken heel lichtjes mijn gehemelte aan, is dit een diepe beet? Toegevoegd enkele foto's

Indien dit zo is, is dit te behandelen met een beugel? Ik ben 39 jaar oud, is dit probleem lastig te verhelpen?

Alvast bedankt voor eventuele reacties!
Attach
Lieneke

Als antwoord op door MrNaamloos

Ja, dit is een diepe beet. U knarts/klemt zo te zien ook en is wellicht mede-oorzaak van de diepe beet of vice versa. Over hoe en wat met de behandeling zou ik geen uitspraken over durven te doen. U heeft ook aardig wat tandsteen wat wellicht een orthodontische behandeling in de weg kan staan.
za, 05/06/2017 - 16:11 Permalink