Hallo iedereen,
Ik heb al twee keer eerder een bericht geplaatst op dit forum, maar nu is het eindelijk zover dat ik met mijn behandeling ben begonnen.
Ik ben in eerste instantie op bezoek gegaan bij een orthodontist omdat er vorig jaar in een hele korte tijd een spleet tussen mijn twee voorste boventanden ontstond. Deze werd groter en groter, wat mij een beetje zorgen baarde. De orthodontist had er niet echt een verklaring voor, behalve dan dat het misschien een teruggroei kon zijn van toen ik tot mijn 11e een spleet tussen die tanden had. Deze is destijds gewoon uit het niets dichtgegroeid. Hij merkte echter op dat mijn tanden al erg veel slijtage toonden voor iemand van 20. Hij stelde voor daar wat aan de gaan doen, mocht ik willen dat mijn gebit nog een levenlang mee kunnen gaan. Ook heb ik een iets te grote overbeet op en stonden tanden en kiezen hier en daar niet helemaal recht.
Nu heb ik sinds een week een slotjesbeugel onder en boven, en het plan is dat deze er waarschijnlijk allebei anderhalf jaar inblijven. In april krijg ik er een palatal bar bij om twee kiezen uit elkaar te drukken. Er is een powerchain geplaatst tussen mijn bovenste voortanden, en na drie dagen was de spleet van 3 tot 4 mm al bijna helemaal dicht!
Ik zal iedereen een beetje op de hoogte houden van mijn proces als jullie dat interessant lijkt. Hier alvast wat foto's.
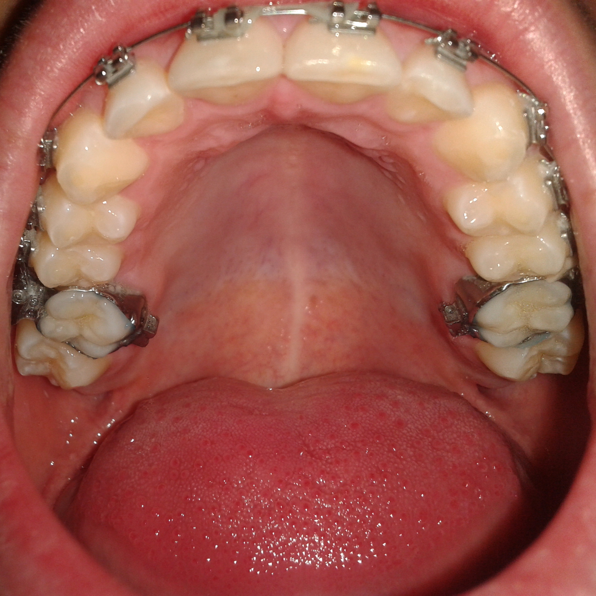
Ik heb al twee keer eerder een bericht geplaatst op dit forum, maar nu is het eindelijk zover dat ik met mijn behandeling ben begonnen.
Ik ben in eerste instantie op bezoek gegaan bij een orthodontist omdat er vorig jaar in een hele korte tijd een spleet tussen mijn twee voorste boventanden ontstond. Deze werd groter en groter, wat mij een beetje zorgen baarde. De orthodontist had er niet echt een verklaring voor, behalve dan dat het misschien een teruggroei kon zijn van toen ik tot mijn 11e een spleet tussen die tanden had. Deze is destijds gewoon uit het niets dichtgegroeid. Hij merkte echter op dat mijn tanden al erg veel slijtage toonden voor iemand van 20. Hij stelde voor daar wat aan de gaan doen, mocht ik willen dat mijn gebit nog een levenlang mee kunnen gaan. Ook heb ik een iets te grote overbeet op en stonden tanden en kiezen hier en daar niet helemaal recht.
Nu heb ik sinds een week een slotjesbeugel onder en boven, en het plan is dat deze er waarschijnlijk allebei anderhalf jaar inblijven. In april krijg ik er een palatal bar bij om twee kiezen uit elkaar te drukken. Er is een powerchain geplaatst tussen mijn bovenste voortanden, en na drie dagen was de spleet van 3 tot 4 mm al bijna helemaal dicht!
Ik zal iedereen een beetje op de hoogte houden van mijn proces als jullie dat interessant lijkt. Hier alvast wat foto's.
Re: Beugelbehandeling: we zijn begonnen!
Wat goed dat je als 20 jarige bent begonnen met een beugelbehandeling dat moet toch niet niks zijn geweest.
Het lijkt mij best interessant om de hele behandeling mee te maken,
Hopelijk is alles al goed verlopen de afgelopen maand met de beugel,
Hopelijk post je snel meer over je behandeling (Met foto's is nog leuker)
Succes met de behandeling!