Hallo,
Voor de geinteresseerden een update...mijn behandeling is gestart! :D
Hoewel, de intake is geweest.
Gelukkig heb ik een aardige en niet zo'n superzakelijke ortho, das al mooi! :smt003
Oja, voor de duidelijkheid...ik heb eerder een topic gemaakt met de titel 'tijd voor een beugel?' daar staat mét foto's beschreven wat mijn gebitsprobleem zou zijn. Terug naar het eerste consult..
De ortho vroeg zich meteen al af waarom ik niet eerder een beugel heb gehad? Dat vraag ik me namelijk ook af :-? Zelf nooit aangekaard destijds bij de tandarts maar hij begon er jammer genoeg ook nooit over...Ik heb namelijk een overbeet van zo'n 6 mm, en aardig grote voortanden, maar dat vind ik opzich niet erg. De stand van mijn tanden, met name het front, vind ik erg rommelig en zou ik dus graag veranderd zien.
Maarr..die overbeet is maar op een manier te verhelpen. Namelijk door twee kiezen die naast de snijtanden komen te trekken. Dat lijkt me zonde, want ik heb een sterk en goed gebit, geen gaatjes en bovendien ook angst voor operationele/chirurgische ingrepen! Maar alleen dan komen mijn kaken recht op elkaar en staan de tanden in een goede boog.
Of, dat was ook een optie...Hij plaatst gewoon een beugel en als mijn tanden netjes in de boog staan is het in orde. Alleen heb ik dan nog wel een overbeet, misschien iets groter. Maar eerlijk gezegd stoort me dat niet zo want het is nog geen ''konijnengebit-effect'' :lol: denk ik...Liever dat dan kiezen trekken!
Wat ik me ook afvraag is wat er gebeurt als mijn verstandskiezen doorkomen...Helaas is er al eentje onderweg! Maar dat is misschien van latere zorg.
Gek genoeg kan alleen boven keramische brackets (die witte slotjes) en onder niet?! Ik weet eigenlijk niet waarom, maar lijkt me wel apart...Iemand ervaring mee?
Nou, een heel verhaal, maar misschien krijg ik nog respons. Als iemand ervaring heeft met een soortgelijke scheefstand, een overbeet, buitenboordbeugels etc, ik hoor het graag! Uiteraard sluit ik me straks ook aan bij het ''kijk-en-vergelijk-topic'' :)
Groetjes!
p.s. Morgen kan ik al komen om foto's te maken! gaat lekker snel zo ;)
Voor de geinteresseerden een update...mijn behandeling is gestart! :D
Hoewel, de intake is geweest.
Gelukkig heb ik een aardige en niet zo'n superzakelijke ortho, das al mooi! :smt003
Oja, voor de duidelijkheid...ik heb eerder een topic gemaakt met de titel 'tijd voor een beugel?' daar staat mét foto's beschreven wat mijn gebitsprobleem zou zijn. Terug naar het eerste consult..
De ortho vroeg zich meteen al af waarom ik niet eerder een beugel heb gehad? Dat vraag ik me namelijk ook af :-? Zelf nooit aangekaard destijds bij de tandarts maar hij begon er jammer genoeg ook nooit over...Ik heb namelijk een overbeet van zo'n 6 mm, en aardig grote voortanden, maar dat vind ik opzich niet erg. De stand van mijn tanden, met name het front, vind ik erg rommelig en zou ik dus graag veranderd zien.
Maarr..die overbeet is maar op een manier te verhelpen. Namelijk door twee kiezen die naast de snijtanden komen te trekken. Dat lijkt me zonde, want ik heb een sterk en goed gebit, geen gaatjes en bovendien ook angst voor operationele/chirurgische ingrepen! Maar alleen dan komen mijn kaken recht op elkaar en staan de tanden in een goede boog.
Of, dat was ook een optie...Hij plaatst gewoon een beugel en als mijn tanden netjes in de boog staan is het in orde. Alleen heb ik dan nog wel een overbeet, misschien iets groter. Maar eerlijk gezegd stoort me dat niet zo want het is nog geen ''konijnengebit-effect'' :lol: denk ik...Liever dat dan kiezen trekken!
Wat ik me ook afvraag is wat er gebeurt als mijn verstandskiezen doorkomen...Helaas is er al eentje onderweg! Maar dat is misschien van latere zorg.
Gek genoeg kan alleen boven keramische brackets (die witte slotjes) en onder niet?! Ik weet eigenlijk niet waarom, maar lijkt me wel apart...Iemand ervaring mee?
Nou, een heel verhaal, maar misschien krijg ik nog respons. Als iemand ervaring heeft met een soortgelijke scheefstand, een overbeet, buitenboordbeugels etc, ik hoor het graag! Uiteraard sluit ik me straks ook aan bij het ''kijk-en-vergelijk-topic'' :)
Groetjes!
p.s. Morgen kan ik al komen om foto's te maken! gaat lekker snel zo ;)
Re: Behandeling gestart! Benieuwd naar reacties/meningen!
Ik ben benieuwd naar hoe het allemaal zal gaan. Alvast veel succes! Weet je al of de orthodontist ook iets doet om alles in de goede stand te houden als je klaar bent?
Groetjes Joy-joy
Re: Behandeling gestart! Benieuwd naar reacties/meningen!
Ben ook erg benieuwd! Moest vandaag voor de foto's en gips happen...Dat was echt een gedoe :-? Voelde me net een klein kind :oops: Die assistente maar zeggen; door je neus ademen! Maar het lukte gewoon niet en dan krijg je dus een beetje vieze neigingen...
Volgende week terug voor een nieuwe poging!
Verder heeft de ortho het er niet over gehad hoe hij na de behandeling alles recht wil houden...denk gewoon met een spalkje?! Ik hoop echt dat het resultaat heel snel zal gaan :lol:
Groetjes eline
Re: Behandeling gestart! Benieuwd naar reacties/meningen!
Alvast heel veel sterkte en succes gewenst.
Re: Behandeling gestart! Benieuwd naar reacties/meningen!
Van mijn gebit is ook wel eens een afdruk gemaakt. De assistente zei toen ook tegen mij dat ik door mijn neus moest ademen. Ik kreeg toen ook, zoals jij dat noemt, een beetje vieze neigingen. Ik ben toen door mijn mond gaan ademen en dat voelde veel prettiger! Toen ik door mijn neus ademde, was het achterste, zachte deel van mijn verhemelte lager en dat voelde heel vervelend tegen dat gipsspul. Toen ik door mijn mond ging ademen ging vanzelf het achterste deel van mijn verhemelte omhoog. Later heb ik die assistente verteld dat het veel beter ging toen ik door mijn mond ademde en waarom. Het enige wat ze bleef herhalen was:""Zo heb ik geleerd dat het het beste is".
Ik zou het even uitproberen als ik jou was.
Verder staat hier ergens op dit forum de tip om, als je last van kokhalzen hebt, wat zout op de tongpunt te doen. (Doordat je tongpunt "geprikkeld" wordt, gaat je aandacht daarheen en niet naar het achterste deel van je mond).
Re: Behandeling gestart! Benieuwd naar reacties/meningen!
Ik heb inmiddels een paar keer geoefend met het door mijn neus ademen met de mond open (het ziet er wat raar uit maar dat ziet toch niemand..) en het gaat al beter. Het achterste gedeelte van mijn tong of verhemelte sluit dan als het ware af waardoor je alleen nog maar door je neus kunt ademen. Maar zodra je slikt is dat weg.
In elk geval, ik weet nu voor de tweede keer wat er komen gaat, dat scheelt misschien ook wel. Gewoon heel gefixeerd door mijn neus ademen want het zou balen zijn als het maar niet blijft lukken.
Oja, die tip van dat zout is ook goed! Ik ga het gewoon proberen morgen :-) Thanks!
Re: Behandeling gestart! Benieuwd naar reacties/meningen!
Re: Behandeling gestart! Benieuwd naar reacties/meningen!
Ah, dat heb ik ook, maar bij mij was dat vooral om de kostprijs te drukken. Mijn orthodontist is niet zo'n fan van witte blokjes, dus die was meteen blij dat het beneden sneller zou gaan. Het ziet er niet vreemd uit hoor, bij mij zie je mijn ondertanden toch amper als ik spreek.
Re: Behandeling gestart! Ortho te duur?
Gisteren geweest om het behandelplan te bespreken...
Oei, wat zag dat gebitsmodel er uit zeg :o Ik had zelf op de foto's ook wel gezien dat het aardig scheef stond maar zo'n complete afdruk van je gebit is nog een graadje erger. Des te meer baal ik er van dat ik vroeger geen beugel heb gehad! Dan had het nu allemaal heel mooi recht gestaan...Toch maar even doorzetten!
Ik heb nog eens gevraagd waarom ik onder geen witte slotjes mag. Vanwege de overbeet zou ik die dan kapot bijten. Of nee, dan bijt je je tandglazuur kapot. Oke, dan maar geen witte slotjes. Onder zie je inderdaad niet zo heel erg...Hij stelde voor om boven 6 witte slotjes te doen, dus alleen dat gedeelte wat zichtbaar is als je lacht/praat. Opzich prima, dat scheelt toch weer geld. (11,50 per bracket extra! :o)
Mijn 'gebitsprobleem' is dus echt een te kleine kaak, heb het nu eens goed gezien, beetje mini! Gelukkig was hij het met me eens om geen kiezen te trekken :wink: Dat leek me zonde.
Wat me wel tegenviel was dat hij zei dat ik van zo'n 2 jaar beugelen uit moet gaan. Zo naief, optimistisch en onkundig als ik ben dacht ik met 1 a 1,5 jaar wel klaar te zijn. Dat is de termijn die je vaak hoort bij volwassenen...Maarja, we zien wel, ik hoop gewoon dat het heel snel gaat! Als het met gewone slotjes sneller gaat dan kan onder er misschien wel eerder uit :P Ach, we zien wel...
Over een week elastiekjes en slotjes op de kiezen, en dan over twee weken gaat 'ie er eindelijk helemaal in! Ben benieuwd ook of het zeer gaat doen en hoe het met eten gaat. Als ik maar geen spijt krijg :oops:
By the way, ik heb het kostenoverzicht eens goed bekeken en de tarieven van de NZA gecheckt, maar ze komen niet helemaal overeen! Prijzen voor 1e consult, onderzoeken en aanvangstoeslag liggen onder de maximumprijs, maar de prijs voor witte brackets is te hoog en het maandtarief ook. Heeft het zin om een bemiddelaar in te schakelen?
Re: Behandeling gestart! Benieuwd naar reacties/meningen!
Grappig om jou verhaal te lezen, vooral omdat ik veel overeenkomsten met mezelf zie.
Ik heb in februari mijn beugel gekregen. Na goed overwegen wilde ik witte brackets. Van mijn ortho mocht ik echter ook alleen maar witte op 6 boventanden. De rest en onder heb ik dus de metalen slotjes. Mijn ortho was niet zo'n fan van de witte slotjes, volgens hem zouden deze sneller afbreken en zou de behandeling langer kunnen duren. Mijn behandelingsduur wordt geschat op minimaal 2 jaar (toen ik dat hoorde viel dat idd ook even vies tegen!)
Maar goed ben nu inmiddels bijna 7 maanden verder en het gaat echt allemaal super goed. Boven zie ik al heel veel verschil. Bovendien is er nog geen 1 x een wit slotje afgebroken, van de metale echter al wel 3x 1. Ben dus heel erg blij dat ik mijn eigen zin heb doorgezet om voor de keramische slotjes te kiezen, vind het nl veel minder opvallen en ze zijn veel minder scherp.
Ik heb verder ook bijna geen last van mijn beugel, stoor me er nooit aan en ben al super blij met het resultaat tot nu toe. Alleen zit nu weer met een ander dilemma: heb namelijk ook een overbeet van ong. 7mm. Vind dit eigenlijk niet zo mooi en wil dit het liefst ook weg hebben, maar dat kan alleen door kiezen te trekken (of operatie dan, maar dat wil ik zeker niet!) Mijn ortho zou gaande weg het traject kijken of kiezen trekken een optie is (vanwege mogelijk ander gezichtsprofiel) Maar vind dit nu eigenlijk toch wel het overwegen waard. Eigenlijk jammer dat ik nergens foto's kan vinden van mensen die dit hebben gedaan.. :-?
Wat betreft die hogere tarieven, zou ik het niet weten. Kan het niet zijn dat de tarieven per 1 juli zijn verhoogd?
Ben benieuwd hoe het straks met het beugelen gaat! ?
Groetjes Chantal
Re: Behandeling gestart! Benieuwd naar reacties/meningen!
Ik heb op mijn 4 boven voortanden ook witte slotjes dit omdat deze tanden meer in het zicht is. De rest is van metaal, onder zie je de slotjes amper.
Re: Behandeling gestart! Benieuwd naar reacties/meningen!
Leuk zo'n heel bericht terug :wink:
Gelukkig, er zijn meer mensen met een deels 'witte' beugel.. (ik moet 'm weliswaar nog krijgen, maar toch) Ik denk ook dat mijn ortho niet zo'n fan is van witte slotjes, heb er nog niemand mee gezien bij zijn praktijk. Maar dat zegt niet alles. Gelukkig mag ik er ook een paar, daar was hij niet moeilijk over. Zeker wel goed dat je doorgezet hebt voor witte slotjes! Vooral als blijkt dat die eigenlijk sterker zijn dan gewone..
Minimaal twee jaar? Da's wel lang. Hoewel, het klinkt langer dan 'ongeveer twee jaar'. Dus je ziet al veel vooruitgang? Dat hoop ik ook zo veel mogelijk te ontdekken straks :lol: Hoe ''scheef'' stond het dan dat er twee jaar word geschat?
Aai die overbeet...dat heb ik dus ook. Heeft je ortho het daar niet over gehad voordat je begon dan? Hij stelde mij ook voor om kiezen te trekken maar liet de keus geheel aan mezelf, gelukkig! Dat wil ik dus echt absoluut niet. Ik hoop alleen niet dat ik me uiteindelijk nog ga storen aan die overbeet...Kan me voorstellen dat je geen operatie wilt! Daar gaat je gezichtsprofiel ook niet altijd op vooruit hoor. Maar kiezen trekken vind je nog wel te overwegen? Eigenlijk zie ik best vaak gebitten van andere mensen die ook een overbeet hebben maar waarbij toch alles mooi recht staat, en zo storend vind ik het dan niet.
Lastig dat je inderdaad geen foto's kan vinden, dan krijg je een beetje een idee.
Gisteren heb ik van die elastiekjes tussen mn kiezen gekregen om ruimte te maken, dat vind ik al vrij irritant...Dus of die beugel me straks gaat bevallen, ik weet het niet :P Op den duur zal het wel wennen denk ik. Moet gewoon even doorzetten voor twee jaartjes! Vrijdag gaat 'ie erin dus dat word pap eten denk ik!
Ja die tarieven kon ik niet zoveel wijs uit worden op internet. Er was wel iets gewijzigd per 1 juli...Nouja, misschien nog eens in verdiepen en anders laat ik het gewoon zo!
Ik hou je op de hoogte hierzo :)
Groetjes Eline
Re: Behandeling gestart! Benieuwd naar reacties/meningen!
Alvast veel succes vrijdag!
Groetjes
Re: Behandeling gestart! Benieuwd naar reacties/meningen!
Groetjes
Re: Behandeling gestart! Benieuwd naar reacties/meningen!
Ik heb een héle witte, verschil moet er zijn, nietwaar? En ik ben er wèl fan van hoor, het gaat als een speer en er is nog nooit iets losgegaan (even afkloppen).
Komt goed hoor, valt erg mee. Je hoeft zelf niks te doen, dat scheelt :wink:
Succes ermee!
Re: Behandeling gestart! Benieuwd naar reacties/meningen!
Wees niet te bang is niet nodig je zal merken dat het reuze mee gaat vallen!
Suc6 vrijdag
Re: Behandeling gestart! Benieuwd naar reacties/meningen!
Tja, een hele witte beugel, dat leek me ook wel mooi ;) Verschil moet er inderdaad zijn. Top dat je er nooit last van hebt gehad!
Weet niet of het kan, maar ik heb het gevoel dat mijn kiezen (en/of tanden) al aan het verschuiven zijn door de elastiekjes. Voorheen kon ik mijn kaken gewoon op elkaar zetten. Nu niet, rechts sluit meer dan links en is ook wat gevoeliger. Met eten merk ik het ook, en af en toe komt mijn wang er ook tussen. Apart gevoel. Nu is de boel nog schever, naar mijn idee :smt003 Dat is hopelijk tijdelijk, in elk geval nog een paar dagen. Zal er tzt ook foto's van maken.
Groetjes
Re: Behandeling gestart! Benieuwd naar reacties/meningen!
Maar mócht het eten nu toch moeilijk zijn, heb ik hier nog wel een partijtje soep voor je staan :lol:
Re: Behandeling gestart! Benieuwd naar reacties/meningen!
Suc6 met de pijn het gaat echt over geloof me maar!
Re: Behandeling gestart! Benieuwd naar reacties/meningen!
Hahaha :lol: Dat moet wel goedkomen dan! Ben erg benieuwd, ook hoe het staat. Zal wel ff wennen zijn.
Re: Behandeling gestart! Benieuwd naar reacties/meningen!
Re: Behandeling gestart! Benieuwd naar reacties/meningen!
Re: Behandeling gestart! Benieuwd naar reacties/meningen!
Het plaatsen ging wel aardig. Er stond 90 minuten voor maar het viel me nog mee want met 75 minuten stond ik buiten. Dat plafond kan ik nu wel dromen zeg..Ik vond al die wattenschijven in je wang en waar het ook maar kon zitten erg irritant, het ging zeer doen dat oprekken! Maarja, noodzakelijk natuurlijk. Dat speeksel vind ik toch elke keer zo vies :-? Gelukkig kon ik rustig blijven liggen, want van die chemische luchtjes word je ook niet lekker. Maar goed, het "leed" is geleden.
Ik dacht eigenlijk dat ik nu allemaal blaren zou hebben, maar dat valt dus wel mee. Zo scherp zijn die brackets natuurlijk niet. Die ringetjes om je kiezen vind ik wel heel storend, ik geloof dat ik daar inmiddels al twee blaartjes van op mijn tong heb. Mijn tong, die voor mijn gevoel veel te groot is voor mijn mond. Ik pers 'm steeds tussen of tegen mijn tanden. Alles ontspannen gaat nog niet vanzelf!
En ja, dat eten...helaas viel dat vies tegen :( (terwijl ik zo iets lekkers had gemaakt..) Het doet echt zeer, kauwen gaat niet of nauwelijks, als het heel zacht is. Vanavond voorzichtig een frikandel weggekauwt. Het voelt ook een beetje vies, alsof je overal eten hebt zitten. (en dat bleek bij het tandenpoetsen ook :smt001 ) In elk geval, mn tanden en kiezen zijn nog heel gevoelig, het doet al zeer als ik ze met zo'n ragertje schoonmaak of per ongeluk mijn kiezen op elkaar zet. Dus ben ik maar aan de soep en pap gegaan, wat me al gaat vervelen.
Hoelang gaat deze fase duren? En went het ooit om normaal te eten? Lekker een zak chips wegwerken ofzo...
Wat ik me trouwens afvroeg....Om mijn kiezen heb ik ringetjes (duh..) maar op mijn kiezen, het kauwvlak zegmaar, zit voor mijn gevoel een laagje 'spul'. Wat is dat? Het is volgens mij niet mijn eigen kies, want de kleur is donkerder, dat zie je ook op de foto. Vies gevoel, ook met eten. Ik kan me niet herinneren dat de assistente het me verteld heeft wat het is. Misschien jullie als ervaren beugeldraagsters? :lol:
Re: Behandeling gestart! Benieuwd naar reacties/meningen!
Jammer dat het eten moeizaam gaat. Zo zie je maar dat dat toch per persoon verschilt. Ik kreeg trouwens niet boven en onder tegelijk, en dat scheelt natuurlijk ook wel. Misschien dat ik daarom nooit last heb gehad. Gelukkig zijn er tegenwoordig, pak 'm beet, 146 soorten vla, pudding en kwark, dus het hóeft niet eentonig te zijn. En tuurlijk went het, om gewoon te eten. En zak chips is dan wel meteen erg hoog gegrepen, maar je zult merken dat het al snel beter gaat.
De laagjes spul die je op je kiezen hebt, zijn volgens mij opbeten. Niet dat ik er nou zoveel verstand van heb, maar ik heb dat op een ander forum gelezen. Dat is lijm die op je kiezen wordt geplakt, om te voorkomen dat je met je boventanden of kiezen op je slotjes bijt.
Ik weet het niet zeker hoor, maar als ik het zo lees, kan het bijna niet missen dat dat het is.
Nou, succes met je vla enzo!
Re: Behandeling gestart! Benieuwd naar reacties/meningen!
Ik denk idd dat het spul op je kiezen een opbeet is dit is om je slotjes en je kiezen te beschrermen dat je ze er niet af bijt of je kiezen kapot bijt. Maar ook ik heb hier geen ervaring mee.
Wat eten betrefd wend het meestal vrij snel en zal je zien dat het steeds beter gaat. Chips is wel een van de minder fijne dingen om te eten hoor! Niet eens wat hard hied betrefd maar wel qua tussen je beugel blijven zitten!
Suc6 de komende dagen en het gaat echt beter worden hoor!
Re: Behandeling gestart! Benieuwd naar reacties/meningen!
Want dan heb je snel gaatjes waar je niet bij kan.
Re: Behandeling gestart! Benieuwd naar reacties/meningen!
Ja ik heb mn best gedaan voor een duidelijke foto, blijkbaar is dat wel gelukt ;-) Dank voor het compliment hoor..De doorzichtige slotjes zijn mooi, maar ik mocht ze niet onder. Nouja, hij wilde het niet omdat ik ze door de overbeet kapot kon bijten. Hij vind dat ze minder sterk zijn dan de gewone slotjes. Plus het risico dat je je tandglazuur aantast. Ik had alles wit wel mooi gevonden, maar ja, zo kan het ook wel. Je ziet er niet echt veel van als ik praat gelukkig.
Gelukkig gaat het nu, een week verder, al veel beter met eten. Zeer doet het al een aantal dagen niet meer, maar wennen is het nog wel. Het gaat overal tussen zitten maar daar probeer ik me niet teveel aan te storen. Zoals jullie al zeiden went het inderdaad wel :smt003 Toch denk ik stiekem al aan het moment dat 'ie er uit mag (voorbarig he..) en ik dan lekker mijn tanden in een flinke pistolet ga zetten :lol: Gisteren uit eten geweest, dat viel ook nog wel mee. Vlees is nog wel zacht, maar de klassieker stokbrood kruidenboter moet nog maar even wachten!
Thanks voor de antwoorden ;-) Het is steviger dan was, want het blijft gewoon zitten. Aan de binnenkant van mijn kies met het ringetje voelt het wel een beetje vies. Ik ben echt een beetje bang dat ik gaatjes krijg (die heb ik nooit gehad en dat wou ik ook zo houden :wink: ) dus vandaar dat ik nogal ''op mn hoede'' ben met wat er in mijn mond zit. Net alsof ze bij de ortho geen verstand van zaken hebben hè :oops:
Oja, hoe werken die roze tabletjes nou ook alweer? Ik had het vanavond eens geprobeerd maar behalve een knalroze mond niks ontdekt?!
Re: Behandeling gestart! Benieuwd naar reacties/meningen!
Zie je wel dat het snel beter gaat? Eerdaags kun je ook weer aan het stokbrood hoor, gewoon in kleine stukjes snijden. En dat er van alles tussen blijft zitten, ja, dat hou je. Het voelt altijd erger dan het is, dat wel.
Bedoel je van die tabletjes om te kijken of je goed gepoetst hebt? In dat geval is een knalroze mond niet echt een goed teken, toch?? Volgens mij blijft het namelijk alleen roze op de plekken waar het niet goed schoon is. Maar ik graaf nu wel heel diep in het verleden hoor (schooltandarts enzo), misschien is het tegenwoordig anders?
Re: Behandeling gestart! Benieuwd naar reacties/meningen!
Als je eregens roze ziet betekend het dat daar plak zit en dus niet goe genoeg is gepoetst.
Ik heb ooit in het begin van mijn beugel (bijna 2 jaar geleden) zo een tabletje gebruikt vond er niet veel aan maar bleek wel dat ik goed had gepoetst alleen op 1 plek niet! Ach heb ze nooit gekocht en gebruikt.
Re: Behandeling gestart! Benieuwd naar reacties/meningen!
Zal het nog eens navragen bij de ortho..Met zo'n fluoridespoeling spoel ik wel 2 x per week, wil de kans op gaatjes naar het minimale brengen!
Re: Behandeling gestart! Benieuwd naar reacties/meningen!
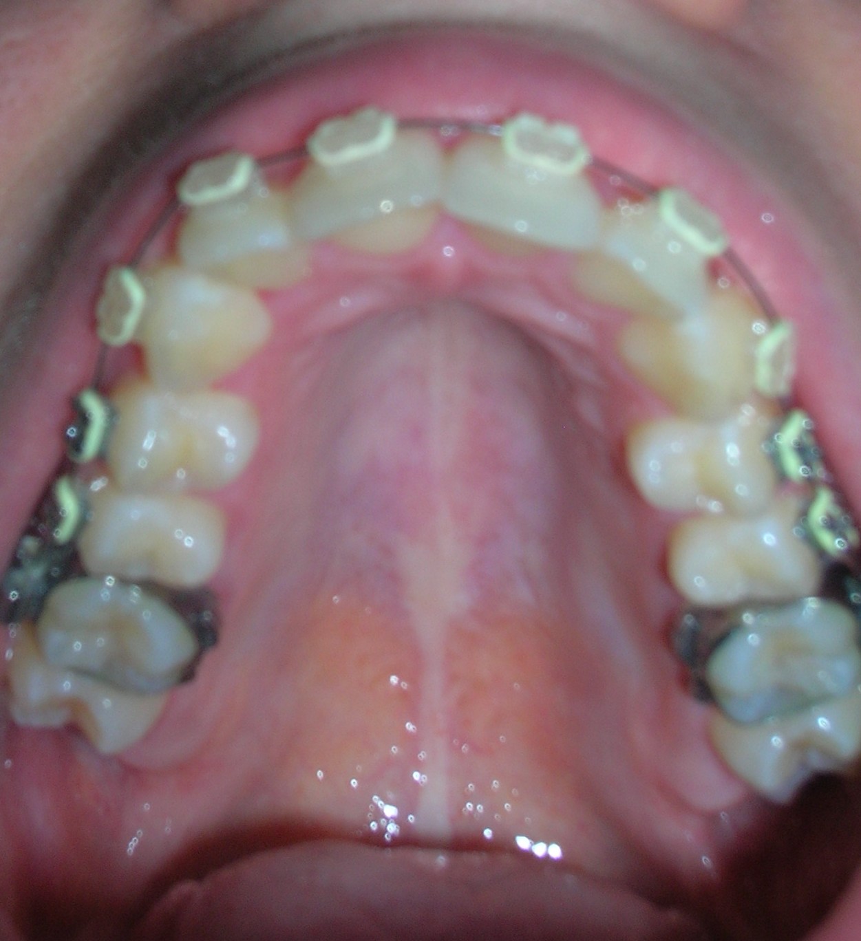
En de reacties zijn wel leuk. Zodra ik lach zien mensen het en dan is het "he je hebt een beugel!" Wel grappig..Boven valt een stuk minder op, onder natuurlijk wel omdat die gewoon zijn. Toch vind ik die keramische brackets veel prettiger!
Een week geleden had ik weer een afspraak bij de ortho, de eerste na het plaatsen. Was erg benieuwd!
Helaas, voor een nieuwe draad was het nog geen tijd. Bij mn hoektand was 'ie nog niet ver genoeg gebogen.
Wel nieuwe elastiekjes uiteraard. De doorzichtige die ik had waren een beetje vies verkleurd. Op aanraden van de assistente nu maar witte elastiekjes genomen. Ik heb geen foto gemaakt toen ze er net inzaten, maar ik vond het nogal een apart gezicht. Echt van die flitsend witte elastiekjes :P Maar na een paar dagen zijn ze al een soort van verkleurd en een beetje lichtgeel geworden, heel apart. Maarja, ik stoor me er niet aan. Volgende keer toch maar weer doorzichtige!
Ik ben al wel erg tevreden over het resultaat! Zo hee, niet te geloven dacht ik toen ik die foto's vergeleek! Gaat echt snel...Kan me haast niet voorstellen dat ik die beugel 2 jaar heb zoals de ortho beweert! :smt003 Uiteraard ben ik een leek maar ik hoop natuurlijk aan 1 a 1,5 jaar wel genoeg te hebben!
Even wat foto's als bewijs...
[attachment=2]b--DSCN5463.JPG[/attachment]
[attachment=1]a--boven na 6 wk.JPG[/attachment]
[attachment=0]DSCN5418.JPG[/attachment]
3 foto's is het maximale dus de rest komt in het volgende bericht..
Re: Behandeling gestart! Benieuwd naar reacties/meningen!
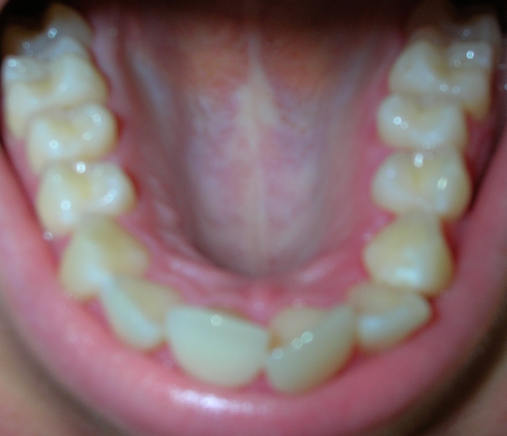
Oei, ik zie wel dat mijn tanden er niet bepaald witter op zijn geworden...Dat word ff bleken als de beugel er eenmaal uit is.
De eerste paar weken dacht ik soms wat spijt bij mezelf te bespeuren maar na het zien van de foto's totaal niet meer, hier doe ik het voor hoor. Nouja, nog niet helemaal natuurlijk.
Vraag me af wat ze nu verder met de onderkant gaan doen?! Moet wel zeggen dat mijn kiezen erg schuin naar binnen staan, geen idee hoe dat aangepakt gaat worden, als dat uberhaupt kan..
Mijn foto's zijn niet al te scherp, blijft lastig..
[attachment=1]a--onder na 6 wk.JPG[/attachment]
[attachment=0]a--front na 6 wk.JPG[/attachment]
Re: Behandeling gestart! Benieuwd naar reacties/meningen!
Heerlijk toch, foto's kijken :wink:
Re: Behandeling gestart! Benieuwd naar reacties/meningen!
Leuk om zo die foto's te zien. Zo zie je echt goed wat het resultaat is.
Ben benieuwd hoe lang je er totaal over gaat doen.
Re: Behandeling gestart! Benieuwd naar reacties/meningen!
Re: Behandeling gestart! Benieuwd naar reacties/meningen!
Inmiddels zijn we al weer 3 maanden verder! Ik ben erg ongeduldig, het kan me niet snel genoeg gaan. Maar toch, er zit vooruitgang in!
Gisteren heb ik boven (eindelijk..) een nieuwe, dikkere draad gekregen. Onder zit dezelfde draad er nog in als met de plaatsing.
Ik denk dat 'ie zijn werk wel doet want ik voel enigzins druk. En dat voelde ik met nieuwe elastiekjes nauwelijks...
Maar ik vraag me af en ben benieuwd hoe dat bij anderen gegaan is; is het laat als je na 3 maanden pas een nieuwe draad krijgt? Ik zag wel dat er bij het vorige ortho bezoek nog teveel buiging in de draad zat en daardoor kon er volgens de ortho geen nieuwe in. Eigenlijk zou ik hem veel meer moeten vragen :lol: ik laat alles maar over me heen komen..
Stiekem ben ik erg ijdel, want ik ben al aan het bedenken hoe ik (met name mijn voortanden) van onder recht krijg. Zeg maar dat ze mooi recht zijn en dus ook iets minder groot. Vind ze best lelijk namelijk. Kun je dat een soort van laten vijlen ofzo? Jaja, ik ga echt voor de Hollywoodsmile :smt003
Voor de vergelijking wat foto's!
[attachment=1]a--front na 6 wk.JPG[/attachment]
[attachment=0]na 3 mnd.JPG[/attachment]
Oja, is het zo dat je altijd elastiekjes krijgt bij een vaste beugel? En dan bedoel ik die elastiekjes die je boven en onderkaak met elkaar verbinden...Ben benieuwd of en wanneer ik die krijg!
Re: Behandeling gestart! Benieuwd naar reacties/meningen!
Het is niet altijd zo dat je elastiekjes krijgt hoor.
Even afwachten dus.
Re: Behandeling gestart! Benieuwd naar reacties/meningen!
Re: Behandeling gestart! Benieuwd naar reacties/meningen!
@panda: ja ik ben ook best wel tevreden tot nu toe! ik dacht eigenlijk dat je altijd wel elastiekjes krijgt, nouja niet erg ook ;-) idd, even afwachten maar..
Re: Behandeling gestart! Benieuwd naar reacties/meningen!
maar ik snap je punt, ik heb hetzelfde.
Maar ff afwachten denk ik dan maar.