Lelijke composiet facings... Help !!!!

Author:
Eline89
Posted:
di, 03/22/2016 - 14:56
Goedemiddag allemaal, ik ben nieuw op dit forum (helaas). Ik moet even mijn verhaal kwijt en zou graag een mening/beoordeling en advies van jullie willen....
Gisteren 21 maart was daar de dag, na dagen lang zenuwachtig te zijn geweest (buikpijn van de spanning) heeft de tandartse mijn 6 composiet facings geplaatst. Voorafgaand was er een modelletje gemaakt, waarop ik de nodige aanmerkingen had. Het zou allemaal gerealiseerd kunnen worden zoals ik het graag wilde (zie foto voorbeelden, ook laten zien)
Op internet zie je van de lelijkste gebitten, de mooiste aanpassingen voorbij komen... dus ik had er vertrouwen in!
Na 2 uur in de stoel te hebben gelegen, tussendoor meegekeken af en toe met een spiegel, was het klaar. Voor de afwerking, vond ik het nog niet mooi en gaf dat ook aan, m'n tandarts snapte volgens mij niet wat ik bedoelde (ik wil geen vierkante tanden zei ik telkens) Maargoed ze had geen tijd meer en ging het dus polijsten/afwerken (als je het zo kunt noemen? wat ze heeft gedaan!) Ik werd na huis gestuurd met: Je moet er aan wennen.....
Eenmaal thuis heel vaak in de spiegel gekeken en ook van dichtbij (foto's gemaakt) anderen laten zien, komt bij mij ontzettend het gevoel naar boven dat ik het zo lelijk vind.. Hetgeen waar ik voor de tijd bang voor was, is dit nu dus gebeurd ! De hele nacht wakker gelegen, verschrikkelijk voel ik me.
Een aantal dingen wat ik dus zo ontzettend lelijk vind:
- de vierkante tanden, normaal loopt een tand een beetje rond;
- de tand is zo plat, geen natuurlijke bolling erin;
- op de 1 en 6 tand heel lelijk erop geplakt;
- op de voortand helemaal bobbelig, het voelt ook ruw en niet glad;
- aan de achterkant voelt het raar en steek een stuk uit;

Ben heeeeeeel benieuwd naar jullie mening, en wellicht iemand die het ook heeft gedaan, hoe dat is geworden.
Voor hoe ik er nu over denk heb ik ontzettend spijt hiervan!
Vanochtend uiteraard naar de tandarts gebeld en ge-eist om deze een afspraak te plannen, donderdag kan ik erheen. Alhoewel ik er nu totaal geen vertrouwen meer in heb dat het wel echt mooi gaat worden.

Groetjes,
Eline

P.s. de foto's zijn niet de allermooiste, maar het gaat om de facings.
Attach
Grappa

Als antwoord op door Eline89

Ik begrijp je zorgen, het ziet er echt heel erg lelijk uit. Wees voorzichtig met allerlei lapwerk als men wil gaan slijpen en plakken. Moet je dit betalen? Zo ja, weiger dat en stel ze schriftelijk! in gebreke, leg uit waarom. Ik adviseer je een second opninion te vragen bij een goede tandarts of een TIP. Tandheelkundig informatiepunt.
di, 03/22/2016 - 18:05 Permalink
Eline89

Als antwoord op door Grappa

grappa, bedankt voor je bericht. JA, dit moet ik gaan betalen en wel voor 6 composiet facings!
Aanstaande donderdag kan ik er weer heen, weet alleen niet wat ik moet doen/zeggen ? Veel mensen om me heen, zien en snappen wat ik zo lelijk vind. Maar velen blijven maar zeggen: mooi !
Moet ik er donderdag nog wat aan laten doen door dezelfde tandartse ? Wat raad je aan ?

Zijn er nog meer mensen die mij advies kunnen geven ? En de foto's willen beoordelen.
Grappa, heb jij het zelf ook ?
di, 03/22/2016 - 18:45 Permalink
Grappa

Als antwoord op door Eline89

Nee Eline, ik heb ze niet. Ik ben zelf tandarts, vandaar mijn reactie. De foto's waarom details van de afwerking te zien zijn doen mij schrikken. Maar ook de vorm, kleur en afwerking. Ik ben bang dat het met deze tandarts niet veel beter wordt. Je moet best wel enige vaardigheid en passie hebben om met dit materiaal iets moois te maken. Ga in gesprek, laat je mening horen en denk na over de reactie zonder meteen toe te stemmen in wat ook. Misschien moet je opschrijven wat je klacht is, zodat je niet vergeet. Schrijf ook op wat de tandarts zegt. Bij twijfel adviseer ik een tweede mening te vragen.
di, 03/22/2016 - 23:14 Permalink
Eline89

Als antwoord op door Grappa

Dankje voor je bericht. De vorm, en afwerking vind ik ook het vreselijkst! Kan ik nog hoop hebben en vertrouwen dat het uiteindelijk allemaal wel mooi en goed komt ? Maak me ontzettend zorgen. Ik denk dat ik morgen contact op ga nemen met XXX in mijn buurt voor een second opinion. Of raad je me aan dat na het gesprek met de tandarts donderdag te doen ? Mijn eigen echte tandtarts is er volgende week weer, denk om ook met hem in gesprek te gaan. De tandarts in kwestie die mijn behandeling gedaan heeft is een dame (wel tandarts) die daar sinds juni 2014 werkzaam is en dit volgens beiden heel goed kon uitvoeren ! Hoor graag je mening en advies...
di, 03/22/2016 - 23:47 Permalink
Ortholimburg

Als antwoord op door Eline89

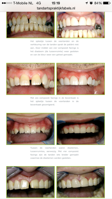
Dit kan echt veel beter, en daarvoor zijn zelfs geen facings nodig; Zijn het eigenlijk wel facings of werden de restauraties rechtstreeks met composiet op je tanden gemaakt? Iemand die een natural layering techniek goed in de vingers heeft ,maakt hier echt wel wat mooiers van .Ik denk dat het ook beter ware geweest dat eerst de spleetjes met orthodontie waren gesloten ,dan waren de tanden minder breed en plomp en was de verhouding lengte/breedte beter.
wo, 03/23/2016 - 22:33 Permalink
Eline89

Als antwoord op door Ortholimburg

Zoals ook in het onderwerp staat... Dit zijn zoals mijn tandarts het noemt composiet facings. Rechtstreeks in m'n mond gemaakt. Aangezien mijn gebit 2 snijtanden mist ( de 12 en 22), heb ik vroeger toen ik jonger was een beugel gedragen, echter werd mij altijd vertel dat m'n kaak geen ruimte biedt om ruimte te maken en er 2 implantaten tussen te doen. Dus door middel van een beugel m'n tanden maar zo dicht mogelijk aan elkaar gezet. De ideale en mooiste oplossing was dus dit !
do, 03/24/2016 - 01:30 Permalink