Beste tandartsen,
Elders op dit forum heb ik al een vraag gesteld over facings (die ik overweeg, i.v.m. kleur en verminderd glazuur) maar ik zou ook graag een algemeen advies willen...
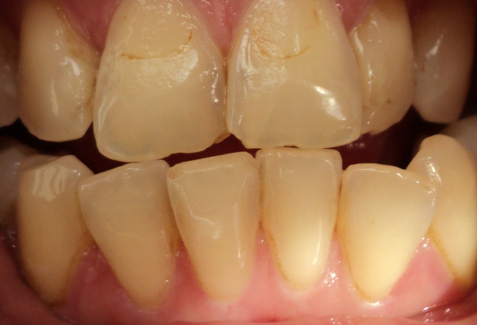
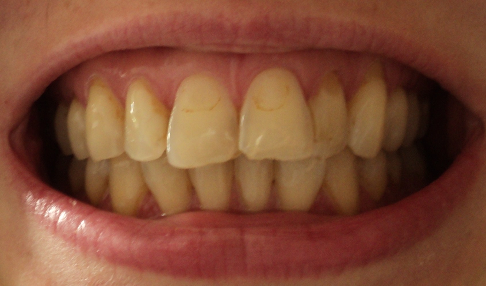
Ik stuur hierbij ook wat foto's ben benieuwd wat jullie advies is als ik mijn gebit mooier zou willen laten maken. Ik ben bij een orthodontist geweest en de eerste keer zei hij dat het tussen 10 maanden en 1,5 jaar zou duren, maximaal, maar bij de tweede keer (toen we echt behandelplan besproken) had hij het over twee jaar... Dat vind ik erg lang en dan heb ik nog niets aan de kleur gedaan, dus de facings zouden dan daarna komen. Wat denken jullie hiervan? Kan ik beter direct facings nemen (ik zag op andere sites dat dan ook de stand enigzins verbeterd kan worden).
Ben benieuwd naar het advies.
Groeten,
Marie
Elders op dit forum heb ik al een vraag gesteld over facings (die ik overweeg, i.v.m. kleur en verminderd glazuur) maar ik zou ook graag een algemeen advies willen...
Ik stuur hierbij ook wat foto's ben benieuwd wat jullie advies is als ik mijn gebit mooier zou willen laten maken. Ik ben bij een orthodontist geweest en de eerste keer zei hij dat het tussen 10 maanden en 1,5 jaar zou duren, maximaal, maar bij de tweede keer (toen we echt behandelplan besproken) had hij het over twee jaar... Dat vind ik erg lang en dan heb ik nog niets aan de kleur gedaan, dus de facings zouden dan daarna komen. Wat denken jullie hiervan? Kan ik beter direct facings nemen (ik zag op andere sites dat dan ook de stand enigzins verbeterd kan worden).
Ben benieuwd naar het advies.
Groeten,
Marie
Re: Advies... beugel of facings?
Re: Advies... beugel of facings?
Re: Advies... beugel of facings?