brug voortanden

Author:
Boef
Posted:
ma, 09/04/2023 - 17:06
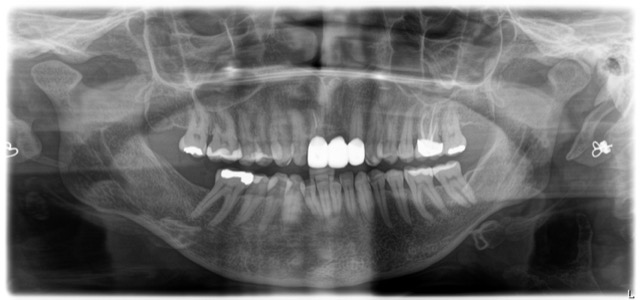
in oktober 2022 heb ik een nieuwe brug laten plaatsen vanwege doorschijnen van het metalen fundament van de 15 jaar oude brug.
Nadat de nieuwe brug is geplaatst ( keramisch fundament), verscheen er een zwart randje tussen de brug/tandvlees en de onderliggende pijler.
De tandarts heeft de onderliggende pijler gebleekt, dat was verholpen.
Alleen na verloop van tijd is het zwarte randje weer.. Ben door mijn tandarts verwezen naar een Paradontoloog voor tandvleestransplantatie. De paradontoloog vond dit geen mogelijke oplossing.
Advies; Botox in bovenlip
beugel ondergebit ( crowded)
onzichtbare beugel bovengebit.
Naar mijn mening meer een camouflage.
Mijn vraag, u advies?
Attach
Tandarts_Richa…

Als ik het goed zie is de, voor u storende, rand onder de dummy waar geen tand onder zit dus dan zal bleken niet echt helpen. Een beugel zal de brug niet veranderen..??.Crowding ondergebit kan opgelost worden met een beugel maar was/is dat een probleem?. Meestal vallen de onder tanden achter uw onder lip zeker wanneer u normaal lacht want dan trekt uw lip omhoog en niet zoals u nu onnatuurlijk doet. Botox zal uw lip voor even wat voller maken maar dat is m i idd camouflage. Pas op voor Katrien lippen. Misschien beter brug verwijderen en opnieuw opbakken bij dummy maar dan krijg je een ongelijkheid met de tand ernaast (21).Raadpleeg een tweede parodontoloog die misschien meer ervaring heeft in tandvlees correcties. Waar woont u?. De Quincey in Den Bosch o a.
ma, 09/04/2023 - 21:10 Permalink
Boef

Als antwoord op door Tandarts_Richa…

Dank voor u reactie!
Het zwarte randje is van de bestaande tand, deze heeft in het geleden al een wortelkanaal behandeling gehad. Tandvlees transplantatie is niet mogelijk om dat het tandvlees weer zal optrekken ( gevoelig). Paradontoloog wil mijn gebit herstellen, zodat mijn kiezen weer normaal op elkaar staan. Ik klem en knars ook…, waardoor brug er niet beter op zal worden en in de loop van de tijd meer naar voren komt te staan..
Met de behandeling hoop ik nog jaren voort te kunnen met een mooi en goed gebit.
ma, 09/18/2023 - 08:10 Permalink