Zit kroon verkeerd om?

Author:
Beaubo
Posted:
di, 04/28/2009 - 12:37
2 weken terug heeft mijn tandarts een kroon geplaatst op een implantaat. Volgens mij (en andere leken)zit de kroon verkeerd om. Telefonisch de tandarts gesproken die zegt dat dit echt niet kan. Dat een kroon maar op 1 manier geplaatst kan worden. Wellicht een fout van de tandtechnieker?
Hoe kom ik erachter of hij echt niet verkeerd zit?
De tandarts moest overigens de kroon bijslijpen, omdat hij te strak tussen de andere kiezen zat. Dit versterkt mijn gevoel dat hij verkeerd zit. De kies is er al jaren uit, dus ik verwacht weinig werking van de naastgelegen kiezen.
Beaubo

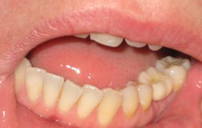
Op het zicht is het raar. Het kauwvlak loopt schuin af naar buiten, terwijl mijn eigen kiezen naar binnen toe aflopen. Ook is de buitenkant smal en de binnenkant breed, terwijl dit bij mijn eigen kiezen ook tegengesteld is. Ook staat hij verhoudingsgewijs verder naar binnen, maar dat wil ik wel wijten aan het implantaat. De tandarts heeft aan de zijkanten en op het kauwvlak moeten slijpen om hem passend te krijgen. Heb er geen last van, maar vindt het een behoorlijke investering en dan moet het wel goed zijn.
di, 04/28/2009 - 13:03 Permalink
robinson

Vormgeving wordt bepaald door occlusie en articulatie, dus deze vormgeving is helemaal niet zo vreemd.
En dat er geslepen moet worden is ook niet zo vreemd, de buurelementen kunnen richting het diasteem migreren waardoor de kroon niet goed op zijn plaats komt.
vr, 05/01/2009 - 10:15 Permalink
lisa37

als ik kijk naar plaatje 3 dan vind ik het er wel raar uitzien , omdat hij aan de binnenkant hoger is als aan de wangkant .
volgens mij is het hetzelfde als je een scherp randje aan een tand hebt zitten , dan ga je er steeds met je tong langs met alle gevolgen vandien.
hoe reageerd je eigen tandarts hierop???? kan hij er aan de binnenkant iets afslijpen??? misschien kun je een second opinion vragen bij een andere tandarts als je twijfels blijven .

als ik toch even mijn mening mag geven vind ik eigenlijk dat er eerst iets aan de voortanden gedaan had moeten worden . want als je deze recht zou zetten dmv beugel dan wordt de ruimte voor de kroon ook kleiner en was er misschien een andere oplossing mogelijk geweest .ik ben geen tandarts maar het is zo zonde van je geld om nu veel te betalen voor die kroon enwie weet wat de toekomst brengt.....
ik wens je in ieder geval veel sterkte ermee
groetjes lisa
vr, 05/01/2009 - 15:39 Permalink
hermina

ien
Vormgeving wordt bepaald door occlusie en articulatie, dus deze vormgeving is helemaal niet zo vreemd.
En dat er geslepen moet worden is ook niet zo vreemd, de buurelementen kunnen richting het diasteem migreren waardoor de kroon niet goed op zijn plaats komt.
Ik ben ook geen tandarts, zoals Robinson wel is, en volgens mij met veel verstand van deze materie. Maar als het mijn gebit was zou ik er ook aan twijfelen of de kroon (zoals op de foto te zien) niet andersom had gemoeten. De beetverandering zal een feit zijn, maar de knobbels aan de tongzijde zou ikzelf heel ongemakkelijk vinden, en de korte voorkant van de kroon...... De migratie zal na een aantal jaar toch ook heel beperkt zijn, beetje bijslijpen zal wel normaal zijn, maar toch.... Ik zou gewoon eerst mijn eigen tandarts laten kijken, evt daarna second opinion.
wo, 05/06/2009 - 01:56 Permalink
vV

er spelen veel factoren een rol. Als ik zo naar de kroon kijk heb ik het sterke vermoeden dat de tegenoverliggende kies wat uitgegroeid en wellicht gekanteld is. Een kroon staat nooit op zichzel, er staat ook nog iets tegenover wat goed kontakt en goede geleiding moet hebben, dat bepaald de vorm. niet de plek in de kaak op zich.

Uitgroei kan gebeurt zijn, bv doordat langere tijd er geen kies /opvulling gezeten heeft.
wo, 05/06/2009 - 07:53 Permalink
Beaubo

Bedankt voor jullie reacties. Vooral de laatste uitleg van een tandarts in lekentaal is duidelijk en helder.
Ik heb in de tussentijd mijn tandarts nogmaals benaderd en gevraagd om samen met mij naar de kroon te kijken.
Blijkbaar hoort hij echt zo, al blijf ik het niet mooi vinden dat de voorkant zo smal is. Het schijnt er ook mee te maken te hebben dat ik het eronder goed schoon moet kunnen houden.

Inmiddels zat de kroon ook los. (dacht ik)
Blijkt dat niet de kroon maar het abutment (schroef in het implantaat) los zat. Tandarts heeft de kroon er wel afgekregen, maar hem er vervolgens niet meer op. Opnieuw happen en alles is opgestuurd naar de tandtechnieker. Ik ben dus weer kroonloos en wacht af.
do, 05/07/2009 - 14:31 Permalink
robinson

Bedankt voor jullie reacties. Vooral de laatste uitleg van een tandarts in lekentaal is duidelijk en helder.
Ik heb in de tussentijd mijn tandarts nogmaals benaderd en gevraagd om samen met mij naar de kroon te kijken.
Blijkbaar hoort hij echt zo, al blijf ik het niet mooi vinden dat de voorkant zo smal is. Het schijnt er ook mee te maken te hebben dat ik het eronder goed schoon moet kunnen houden.

Inmiddels zat de kroon ook los. (dacht ik)
Blijkt dat niet de kroon maar het abutment (schroef in het implantaat) los zat. Tandarts heeft de kroon er wel afgekregen, maar hem er vervolgens niet meer op. Opnieuw happen en alles is opgestuurd naar de tandtechnieker. Ik ben dus weer kroonloos en wacht af.


Niet getorqued en sleutel niet bewaard blijkbaar.
do, 05/07/2009 - 15:32 Permalink