volledige parodontitus behandeling

Author:
t22vraagje
Posted:
za, 04/23/2011 - 18:23
beste formumleden,

Graag had ik jullie mening over het volgende:

Onlangs wedt ik door mijn tandarts doorverwezen naar zijn eigen mondhygiëniste. Reden hiervoor was parodontitis en de vorming van pockets. Ik heb toen met haar gesproken en besloten deze te laten behandelen. Bij de 2de afspraak hebben wij het ook gehad over de kosten aangezien ik aanvullend verzekerd ben voor max 400 hebben wij afgesproken dat de totale behandeling niet veel meer zal gaan kosten.

Echter nu heb ik alle nota's ontvangen en ben erg geschrokken van de hoge kosten.

In totaal 949,52 euro onderverdeeld in 4 afspraken waarvan ik totaal c.a 3 uur behandeld ben.

Zij brengt mij bij de eerste behandeling een preventief onderzoek in rekening, het maken van een orthopantomogram en het maken van een parodontiumstatus met een m59 verwijderen tandsteen uitgebreid a 277,94

bij de drie behandelingen hierna 26 X de code t22 + 26 maal de code V40 voor het aanbrengen van medicatie. Voor het schoonmaken 537,16 en 134,42 voor de medicatie.

dankzij de site weet ik dat zij netjes een status heeft aangemaakt en daardoor deze code mag rekenen echter ik vind dat de kosten voor hetgeen wat zij gedaan heeft wel erg hoog zijn. Daarnaast hebben wij met elkaar afgesproken niet ver boven de 400 te behandelen.

Mijn vraag aan jullie of dit wel volledig terecht is wat er in rekening wordt gebracht. De laatste behandeling duurde incl het polijsten en de medicatie c.a 45 minuten en zij brengt mij wel 12 elementen in rekening.

Als ik bezwaar wil maken hoe kan ik dat dan het beste aanpakken?

dank voor jullie hulp en kennis!!!

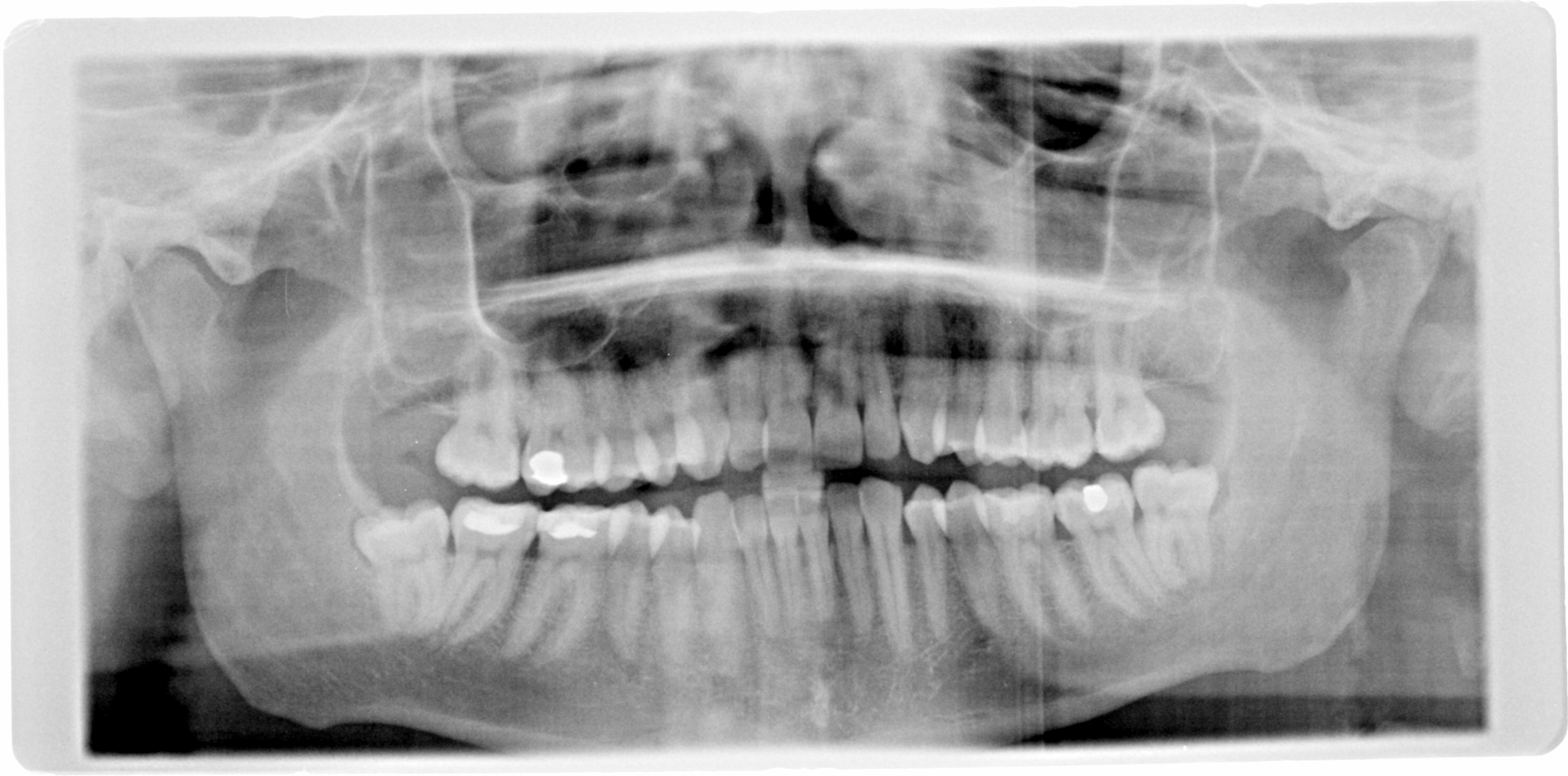
en nog even een fototje van mijn gebit als toegift. vlde week donderdag 2 kiezen trekken bij de kaakchirurg. wish me luck
Attach
Lieneke

Ik zou zeggen: dat preventieve onderzoek en die m59 vat ik niet helemaal...maar daar zit helaas niet het grote geld in. 26 keer T22 is veel, maar is niet onmogelijk. V40...welk medicament dan? En niet netjes dat dit zoveel keer is berekend!
Als er met u duidelijk is afgesproken om niet meer dan 400 euro te declararen, is het al helemaal niet netjes.
za, 04/23/2011 - 18:44 Permalink
t22vraagje

beste Lieneke bedankt voor je reactie,

het periodieke preventieve onderzoek heeft waarschijnlijk betrekking op de doorverwijzing van de tandarts, ik zal dat van de m59 eens navragen want kan me ook niet heugen dat ze toen tandsteen verwijderd heeft, waarom apart in rekening brengen en dan nogmaals alle tanden schoonmaken...? maar inderdaad dat waren de kosten niet.

Het medicament wat zij gebruikte, weet niet precies wat het was iets dat hard werd en erg bitter was, zou een antibacteriële werking hebben...?.

Waar ik het meeste mee zit is de afspraak die ik heb gemaakt dat de kosten niet veel meer dan 400 zouden zijn. Maar toch een volle rekening krijgen.Ook de tijd die zij erin heeft gestoken voor het schoonmaken vindt ik buitenproportioneel, in totaal is zij met het schoonmaken geen 2 uur bezig geweest. de pocket status heb ik niet gekregen maar met een uitschieter hier en daar hoorde ik vaak een drie langskomen.

Is het redelijk om ieder element apart in rekening te brengen? terwijl de 1 schoner was dan de ander. Ik wil graag de goede verstandhouding bewaren. Moet ook nog terug voor de controle..... :)
za, 04/23/2011 - 21:05 Permalink
t22vraagje

Beste Lieneke,

bedankt voor je reacties, ik heb gesproken met de , zij wou niet terugkomen op de door haar gemaakte kosten.

Ik heb een mail geschreven waarin ik ook de status heb opgevraagd, wellicht dat ik er wel helemaal naast zit met de diepte van de pockets. Hoop in ieder geval dat we er samen uit kunnen komen
di, 04/26/2011 - 19:43 Permalink
vV

even naar de OP kijkend zie ik geen groot paroprobleem.

Daarnaast: als er is afgesproken rekening te houden met een financiele grens, moet men zich daaraan houden, of aan de hand van de status tot de conclusie komen dat die grens niet haalbaar is, en dat zo bespreken, voordat behandeld wordt.

Is er een schriftelijke begroting gegeven? denk het niet, hebben ze al een probleem.
Net zoveel keer V40 als er elementen zijn? denk het niet , een fluoride applicatie (lijkt het te zijn, met lak) is een aparte code voor.
Vraag naast de status ook even op wat er precies op aangebracht is.
en plaats die status ook even hier .
wo, 04/27/2011 - 11:13 Permalink
t22vraagje

Update:

Ik heb reactie gekregen van mijn tandarts, hij wil de gemaakte kosten niet herzien.

Geeft aan dat mij verteld is dat de totale behandeling 600 tot 800 kan kosten en dat onder de totale kosten dan alleen de t22 codes wordt verstaan en niet de status en de nazorg. Zal wel neerkomen op welles....nietes. Dom dat ik inderdaad niet even op papier een kostenoverzicht van de totale behandeling heb gevraagd. Het klopt wel dat zij de bedragen genoemd heeft juist naar aanleiding daarvan heb ik geïnformeerd bij mijn verzekering en afgesproken dat zij niet heel veel meer dan 400 in rekening zou brengen

Op mijn vraag of de behandelingsduur van 2 uur voor 26 elementen waarbij ieder element afzonderlijk wordt behandeld redelijk is heb ik nog geen reactie gekregen. Ik heb hem wederom gevraagd de status te mailen.

Zodra ik de status heb zal ik hem erbij zetten.

Nu nog even dagje vrij over twee uurtjes naar de kaakchirurg......:)



O ja Het medicament die zij heeft gebruikt is chloorhexidine vernis.....
do, 04/28/2011 - 13:52 Permalink
vV

ook zonder status heb je voldoende houvast om een officiele klacht in te dienen. zou daar toch weggaan, want het is nu dit, reken maar dat er meer van dit soort discussiepunten volgt.

Voor een dergelijk bedrag en behandeling hoort een totale kostenopgave gdedaan te worden, niet alleen voor een deel. een leek moet ervan uit kunnen gaan dat het bedrag wat genoemd wordt voor alles is.
Dus alleen al daarop loopt ie vast, en dan nog de status....tot nu toe niet overlegd, waarom dan? een status hoort m.i.ook besproken te worden, zeker op een computerscherm kan je dan prima de patient duidelijk maken waar de probleempunten zitten.

Dit riekt naar overbehandeling en schrijven met een vork...
Zijn weer de goed werkende tandartsen die de dupe zijn van dit soort ""werk"".

Informeer vast maar even bij hem bij welke klachtencommissie hij is aangesloten, in dezelfde mail waarin nogmaals om de status gevraagd wordt. en duidelijk nogmaals bezwaar maken tegen de nota, zou ook mededelen dat e rniets betaald wordt zolang de status niet ontvangen is, idem kopie dossier. zet er maar even druk op.
do, 04/28/2011 - 14:59 Permalink
Zwaantje

Tandarts is gewoon verplicht om jou de status te overhandigen, heb je wel een kopie van je identiteitskaart meegestuurd want dat is een reden om te wachten met versturen. Herhaal anders het verzoek, doe er een attachment bij met je ID en zet ook in de mail dat de kosten voor deze behandeling niet zijn afgesproken en vraag gelijk bij welke klachtencie hij is aangesloten. Het is misschien niet zo handig om te zeggen dat je niet betaald zolang de status er niet is want jij bent betaling verplicht en hij is verplicht om de status te overhandigen. Jij staat wat de status betreft dus 1000% in je recht en hoeft dan geen middel te gebruiken om dat recht te krijgen. Als je nl. de status wel krijgt kan hij zeggen dat niets jou meer in de weg staat om de rekening te betalen.

Even een nieuwe mail sturen incl. ontvangstbevestiging en voor extra zekerheid een en ander ook nog in een aangetekende brief versturen. Hoe dan ook, bij een dergelijk bedrag is de tandarts ook verplicht jou op de hoogte te brengen van de hoogte van het bedrag en welles-nietes kan voor hem heel fout gaan aflopen als blijkt op de OPT dat de specialisten hier al zeggen dat dat niet aantoonbaar is.

Kort door de bocht: ik denk dat jij sterker staat in deze. Succes.
do, 04/28/2011 - 16:49 Permalink
t22vraagje

Allemaal wederom bedankt voor jullie reactie en leeswerk @zwaantje bedankt voor de inzichten in mijn juridische recht.

Ik heb bericht gekregen van mijn tandarts.

Hij geeft aan mij van te voren schriftelijke info te hebben gegeven over de behandeling. waarin zou staan dat de kosten van de foto en status in staan. ik kan mij dit echter niet herinneren en vraag nogmaals om die info

hij herhaald nogmaals dat de door hen gemaakte kostenberaming uit gaat van een behandeling na foto en status. Dit omdat de status en foto noodzakelijk zijn om een goede indicatie kwa vervolg kosten te maken. Hoe doen jullie dit? is dit gebruikelijk?

Hij geeft aan een bedrag van 150 euro te willen crediteren.

mbt tot de duur van de behandeling citeer ik hem: soms zit het mee soms zit het tegen.

de status heeft hij klaar liggen en die ga ik donderdag ophalen, waarna ik hem natuurlijk even hier post.

ps: 1 verstand kies armer, was een joekel volgens de kaakchirurg, zeker twee dagen nog gebloed dag erna flinke koorts gehad en nu nog het gevoel dat er iemand constant aan een zenuw trekt. Weinig slaap gehad.Godzijdank zijn er de ibu-600's,,,,,:) Nog 1 kies te gaan
ma, 05/02/2011 - 22:48 Permalink
Lieneke

Ik doe dat zo: Ik informeer over hetgeen wat iemand heeft en geef een begroting. Soms kiezen ze er dan voor direct een parostatus te laten maken, soms willen ze eerst contact opnemen met de verzekering. In het eerste geval vertel ik na het afnemen van de parostatus om hoeveel elementen het gaat. In het eerste geval kan ik het aantal elementen nog niet opgeven.

Sterkte
di, 05/03/2011 - 07:36 Permalink
vV

ook kosten van statusopnemen etc horen bij de begroting. En als het niet op de begroting staat moet het op zijn minst vermeld worden.

In uw geval word dit een welles-nietes, zou mij niets verbazen als de tandarts een schriftelijke begroting met goede datum weet te presenteren.
di, 05/03/2011 - 10:14 Permalink
t22vraagje

Helaas......

geen status voor jullie..... :-?

Ik heb na mijn laatste mail waarin ook tevens naar het forum verwees reactie ontvangen van mijn tandarts/mondhygieniste.

Hierin heeft hij mij een voorstel gedaan de laatste nota te laten vervallen, waarmee de de totale behandeling rond de €630,- komt. Wat ik een acceptabel en redelijk bedrag vindt.

IK WIL jullie allemaal hartelijk bedankt voor de reacties, maar boven al ook de feedback om kritisch te blijven en te blijven volhouden aan mijn eigen gevoel. Mede dankzij jullie ben ik er met hem uitgekomen.

TOPFORUM!!!!!!!!!!

ps, ff terug naar de kaakchirurg geweest en hij heeft een watje in de wond gestopt. Wond zag er goed uit geen zichtbare ontsteking maar hij dacht misschien aan een ''droge'' ontsteking dieper in de wond..... Ik weet niet of het watje is dat helpt maar klachten zijn aanzienlijk minder en het gevoel of er aan een zenuw wordt getrokken is weg.
Nu nog ff de nota afwachten......... :smt002 :D
wo, 05/04/2011 - 22:18 Permalink
Lieneke

Er is dus geen status gemaakt? Nou dit vind ik dus echt iets om wel iemand te gaan aanklagen. Het lijkt erop dat u gewoon een aantal keer een uitgebreide gebitsreiniging hebt gekregen. Die kost normaliter per keer tegen de 50 euro...Wat is dat toch met mondhygienisten die geen statussen maken...ik hoor het steeds meer. Ze gooien onze goede naam te grabbel!
do, 05/05/2011 - 08:45 Permalink
vV

tandarts is hoofdverantwoordelijke in deze. aangezien er blijkbaar geheel geen status is (iemand moet toch merken als patient dat deze al dan niet word gemaakt, want moet ook besproken worden!)kan de nota omlaag naar een M code per zitting.
Iets anders lijkt mij onacceptabel. collega kan hier blijkbaar meelezen, dus doe er uw voordeel mee... leermoment zullen we maar zeggen.
Met vrije tarieven moet je dit soort dingen ook netjes gaan bespreken en uitleggen vooraf, goed idee daar vast mee te beginnen.
do, 05/05/2011 - 09:39 Permalink
t22vraagje

Nee ik weet wel dat er een status is opgemaakt., Immers had hij die ook klaargelegd om op te halen en dat vertrouwen heb ik zeker.

Ik denk dat hij door het lezen van jullie opmerkingen en het zien van een betere werkwijze en communicatie hij nog eens goed heeft nagedacht wat reëel is. Ik hoop in ieder geval dat de mondhygieniste ervan geleerd heeft alles schriftelijk vast te leggen. Vooral bij een behandeling van meerdere honderden euro's

Ik blijf in ieder geval nog wel bij hen in behandeling, ik zit er al men hele leven en ondanks dat het wat moeite heeft gekost zijn we er toch uit gekomen. Dit vindt ik niet meer dan redelijk.

Nogmaals mijn dank voor jullie reacties!!!!
do, 05/05/2011 - 21:54 Permalink
advies

Jammer dat u de status niet heeft opgehaald. Niet alleen omdat dan de declaratie beter is te beoordelen, maar ook omdat u nu niet weet hoe ernstig de parodontitis bij u is. Een status geeft een goede indicatie over de mate van parodontitis aan de hand van pocketdiepten. Parodontitis kan op termijn het verlies van elementen betekenen. Uit de status was te lezen geweest hoe ver dit proces bij u is gevorderd. Ik zou u adviseren bij uw volgende bezoek aan de tandarts of mondhygiëniste toch nog even te vragen de status met u door te nemen. Het is voor u belangrijk om te weten wat de mate van parodontitis bij u is en welke prognose daaruit volgt.

Verder valt in de tariefsbeschikking van de NZa te lezen:
T22 Initiële parodontale behandeling € 20,66 Uitsluitend te berekenen, indien volgend zorgaanbieder zijnde mondhygiënist, op T11 of T12. Van toepassing voor per element behandeling van elementen met geregistreerde pocketdiepte > 4 mm.

Ik had wel willen zien of uit de status zou blijken dat er inderdaad sprake is van 26 x pocketdiepte > 4 mm?

Maar goed. U heeft het onderwerp met uw tandarts afgerond. Dat begrijp ik ook wel, want u wilt verder met uw tandarts. U hecht aan de relatie met hem. Dat is mooi.

U heeft in ieder geval een uitvoerige behandeling ondergaan en er is alles aan gedaan om de parodontitis bij u te stabiliseren/te reduceren. Ik zou de nota bewaren.
vr, 05/06/2011 - 07:42 Permalink