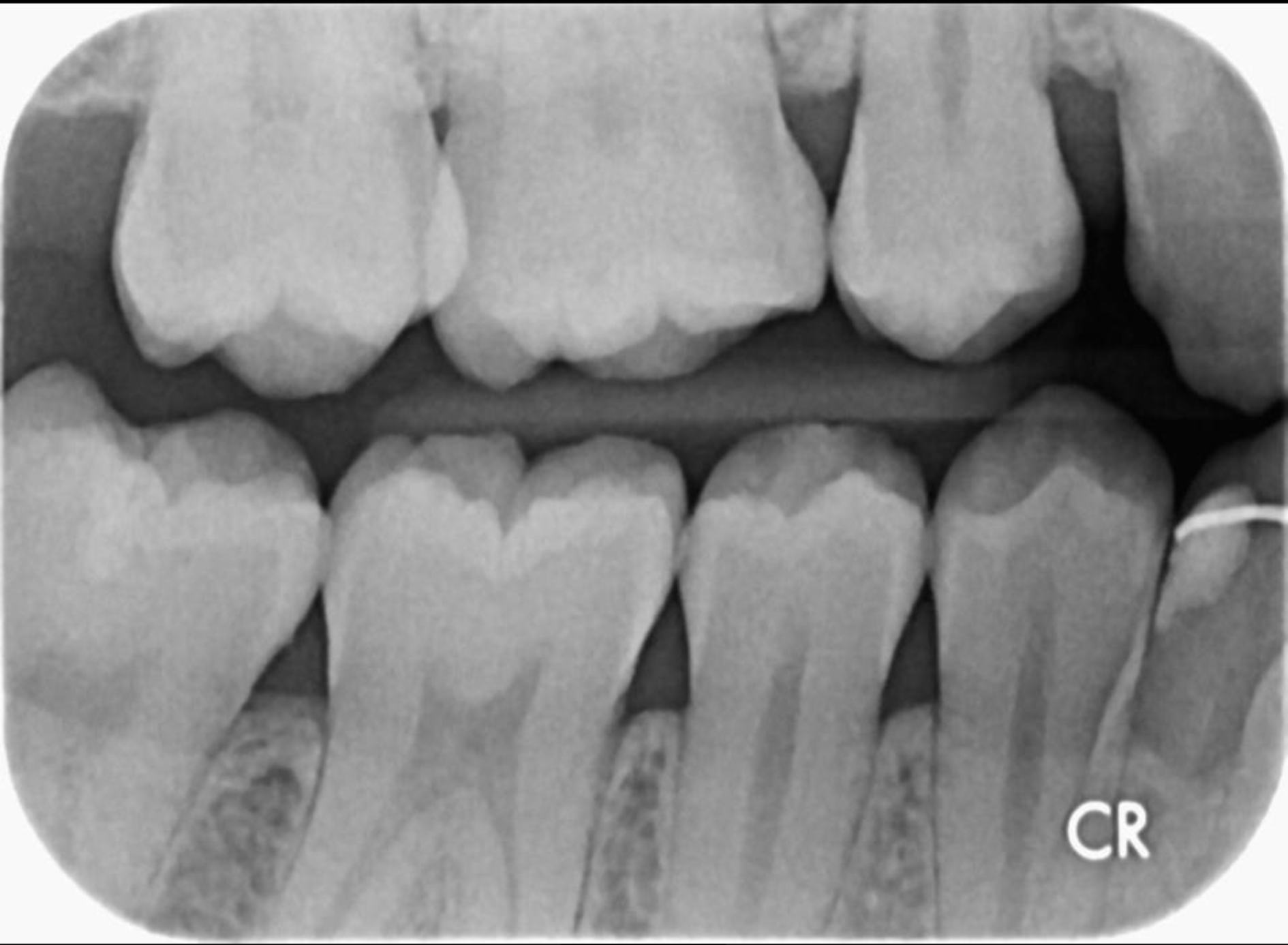
Ik ben 3 jaar niet naar de tandarts geweest ivm verhuizing naar een andere stad. Nu ben ik gisteren bij mijn nieuwe tandarts geweest en die heeft een controle gedaan en geconstanteerd dat ik een (beginnend) gaatje heb. Ik heb de rontgenfoto's opgevraagd achteraf, maar zie niet precies waar dat gaatje zou moeten zitten. Kan iemand mij hierbij helpen? Ik heb nog nooit een gaatje gehad, dus wil zeker weten of deze tandarts wel gelijk heeft voordat hij mijn mond gaat bewerken.
Alvast bedankt.
Alvast bedankt.
jammer dat je gelijk al geen
ik zie in ieder geval in de 36 distaal iets, maar ik zie op meer plekken iets (36 wel de duidelijkste en zo te zien wel een die echt behandeld moet) .